-
보톡스 맞고 "눈 안 보여요" 이런 일 사라질까…의대생의 놀라운 성과
얼굴 주름을 없애기 위해 보톡스·필러 수술을 받을 때 자칫 눈에 연결된 혈관(눈동맥)을 침범할 경우 안구 마비나 실명으로 이어질 수 있는데 이런 문제에 대한 해결책을 최근 우리나라 의대생이 제시해 화제다. 보톡스나 필러 수술을 할 때 발생하는 부작용 우려에 안과나 신경외과도 수술 시 환자 안전을 위해 눈 혈관의 위치·분포를 정확히 아는 것은 매우 중요하다. 문제는 눈동맥에 연결된 가느다란 '혈관 가지'를 맨눈으로 보기도, 심지어 MRI로도 쉽사리 파악하기 어렵다는 점이다. 해부(카데바) 실습을 한다 해도 본래의 혈관 위치에서 바뀔 수밖에 없다는 한계가 존재한다. 연세대 원주의과대학 본과 3학년 이소현 학생이 화소 크기가 0.04㎜에 불과한 초고해상도 시신 절단면 영상 800여장을 분석해 '3차원 지도'를 만들어 냈다. 눈동맥의 다양한 혈관 가지는 물론 주변을 지나는 뇌 신경의 위치를 정밀하게 그려내 향후 안과·성형외과·신경외과 등 얼굴 부위 수술을 집도하는 의료진에게 큰 도움이 될
-
'근육맨' 김종국이 비만?…"BMI로는 찐 비만병 놓친다" 이 증상 주목
지난해 가수 김종국씨는 한 예능 프로그램에서 '인바디'로 불리는 체성분 검사 결과를 공개했다. 키 177㎝, 체중 87.7㎏으로 골격근량은 42.3㎏, 체지방량 14.7㎏, 모든 부위 근육 표준 이상으로 '탄탄한 몸'을 자랑했다. 하지만, 현재 널리 통용되는 체질량지수(BMI)로 보면 김씨는 '비만'이다. BMI는 자신의 몸무게(㎏)를 키의 제곱(m)으로 나눈 값인데, 이를 이용하면 김씨의 BMI는 27.99로 비만 기준(BMI 25)을 훌쩍 넘는다. 대한비만학회가 '2025년 세계 비만의 날'을 기념해 4일 개최한 정책간담회에서 이준혁 대외협력정책 간사(을지대병원 가정의학과 교수)는 김종국씨의 사례를 소개하며 "BMI로는 건강 문제를 제대로 평가할 수 없다"고 지적했다. 똑같은 키와 몸무게라도 몸 안에 지방이 많이 차 있는 사람이 건강이 나쁜 게 당연한데, BMI만으로는 이를 알 수 없어 질병 위험이 과소 또는 과대 평가될 수 있다는 것이다. 이에 최근 학계에서 대두되는 개념이
-
간암 부르는 이 병, 간수치 낮아도 빨리 치료했더니…사망 위험 '뚝'
간암은 폐암 다음으로 사망률이 높은 암이다. 국가암정보센터에 따르면 2023년 기준 1만명이 넘는 환자 간암으로 사망했다. 대부분 사회 활동이 활발한 연령대라 가정은 물론 사회적으로 심각한 손실을 초래하는 병이다. 만성 B형간염은 간암의 '씨앗'으로 간암 원인의 약 70%를 차지한다. 현재는 간 수치가 크게 상승했거나, 간경화(간경변)로 진행된 환자만 항바이러스 치료를 개시하도록 되어있다. 그런데 최근 국내 연구진이 간수치·간경화 여부와는 상관없이 혈액 내 '간염 바이러스' 수치에 따라 항바이러스 치료를 시작해야 한다는 연구 결과를 발표해 화제다. 만성 B형간염 환자가 간암이나 간부전, 간이식, 사망 등 치명적인 합병증을 예방하기 위해 간염 초기 단계에서부터 항바이러스 치료를 시작해야 한다는 것이다. 서울아산병원 소화기내과 임영석 교수팀은 한국과 대만의 병원에서 간 수치(ALT · 알라닌 아미노전이효소 수치)가 정상이고 간경화가 없지만, 혈중 간염 바이러스 수치가 중등도 이상인 만
-
"척추 문제가 아니었어"…누워도 허리→다리까지 '찌릿', 원인 뭐길래
좌골신경통은 허리에서 시작해 다리로 뻗치듯 아픈 증상이 특징이다. 주로 허리디스크를 먼저 의심하지만 또 다른 원인으로 '이상근 증후군'(Piriformis Syndrome)이 지목돼 감별이 요구된다. 서울성모병원 신경외과 손병철 교수 연구팀은 지난달 19일 열린 2025 대한말초신경학회 16회 정기학술대회에서 좌골신경통에 대한 연구 결과로 최우수상을 수상했다고 27일 밝혔다. 해당 논문은 한국말초신경학회 공식 학술지(The Nerve)에 최근 게재됐다. 좌골신경통은 좌골신경과 관련된 부위인 엉덩이, 종아리, 발 등에 나타나는 통증이다. 이상근 증후군은 좌골신경이 이상근에 의해 눌리면서 발생하는 질환으로 반적인 허리디스크와 달리 허리보다는 엉덩이와 둔부(엉덩이 아래쪽)에서 통증이 시작되는 것으로 알려져 있다. 손 교수팀은 이상근 증후군 환자의 좌골신경통 증상을 분석해 환자의 정확한 진단에 도움이 되고자 연구를 계획했다. 2021년부터 최근까지 이상근 증후군으로 진단돼 '좌골신경 감압술
-
돈·가족 문제보다 더 힘들어…직장인 우울증 원인 1위는?
직장인 우울증에 가장 큰 영향을 미치는 스트레스 요인 1위는 '직장 스트레스'라는 연구 결과가 발표됐다. 특히 성별, 연령을 불문하고 가장 큰 요인으로 꼽혔다. 성균관의대 강북삼성병원 정신건강의학과 전상원·조성준 교수, 문지완 성균관대학교 의학 박사과정 연구팀은 2020년 4월부터 2022년 11월까지 강북삼성병원 기업정신건강연구소에서 정신건강 검진을 받은 19~65세 직장인 12541명을 대상으로 7가지 주요 일상 스트레스 요인(직장 문제, 가족관계, 대인관계, 건강 문제, 금전 문제, 충격적 사건, 매너리즘)이 우울 증상 발생에 미치는 영향을 비교해 26일 결과를 공개했다. 이에 따르면, 전체 대상자에서 우울증에 가장 큰 영향을 미친 것은 직장 문제로 나타났다. 이어 매너리즘, 가족 관계, 대인관계, 건강 문제, 금전 문제, 충격적 사건이 뒤를 이었다. 연구팀이 성별, 연령 등 사회·인구학적 요인에 따라 우울 증상에 미치는 영향을 세부적으로 분석했더니 남녀를 불문하고 직장 문제
-
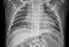
100일 갓 지난 영아, 국내 첫 '신종 코로나'…폐렴·간 기능 이상 동반
국내 연구진이 폐렴 증상을 보인 생후 103일 된 영아에게서 기존 코로나19와 다른 신종 인간 코로나바이러스(HCoV)를 발견했다. 이 바이러스는 알파 코로나바이러스 계열로, 국내 야생 설치류인 등줄쥐에서 유래했을 가능성이 큰 것으로 보인다. 사람 간 전파 가능성은 아직 불명확하다. 고려대 의과대학 미생물학교실 송진원 교수 연구팀(고려대 의대 박경민 박사, 소아청소년과 신민수·심정옥 교수, 한림대 의대 김원근 교수)은 2022년 고려대 안산병원에 폐렴 증상으로 입원한 영아의 검체를 분석한 결과, 기존 인간 코로나바이러스(229E, NL63, OC43, HKU1)와 유전적으로 다른 신종 인간 코로나바이러스라는 사실을 확인했다고 26일 밝혔다. 감염된 영아는 발열, 기침, 가래, 콧물 등의 호흡기 증상과 함께 급성 중이염과 간 기능 이상을 보였고 폐렴이 동반됐다. 특히 간 기능 수치(AST/ALT)가 462/350 IU/L로 비정상적으로 높았다. 코로나19는 주로 폐렴을 유발하지만,
-
젊은데 운동만 하면 '헉헉'…"급사 부르는 숨은 유전병 의심"
"살쪄서 그래" 걷기·달리기, 계단 오르기가 힘들어지고 말할 때 숨이 가쁘면 주변에서 '살' 때문이라는 말을 흔히 듣는다. 체중 감량을 위해 다이어트에 돌입하지만, 열심히 살을 빼고 체력을 길렀는데도 여전히 숨이 차고 운동하기 힘들다면 한 번쯤 '병원'을 찾을 필요가 있다. 체중 문제가 아닌 심장이 고장 나는 유전성 심장병, '비대성 심근병증'이 원인일 수 있기 때문이다. 오는 26일은 '비대성 심근병증 인식의 날'(HCM Awareness Day)이다. 비대성 심근병증은 심장 근육이 특별한 원인 없이 과도하게 커지는 병이다. 근육이 크고 단단해지는 것은 '건강의 상징'처럼 여겨지지만, 심장만큼은 예외다. 심장 근육이 두꺼워지면 혈액이 순환되는 내부 공간이 좁아지면서 대동맥 통로 등을 막아 심장의 기능과 구조에 심각한 문제를 초래하고, 끝내는 사망에 이를 수 있다. ━호흡곤란 90%에서 나타나━비대성 심근병증의 증상은 환자마다 다르고 발현 시기도 천차만별이다. 가장 흔한 증상은 호
-
간 초음파 꼬박꼬박해도 30% "암 치료 불가"…조기 진단, '이 검사'로 해결
간암 감시 검사로서 비조영 MRI의 우수성을 밝힌 연구 결과가 나왔다. 세브란스병원 영상의학과 김명진·이형진 교수, 연세암병원 간암센터 김도영 교수 연구팀은 비조영 MRI의 간암 조기 진단율은 96%로 초음파 검사 대비 22%p 높다고 25일 밝혔다. 만성 간염 및 간경변 환자는 간암 발생 위험이 높아 일반적으로 6개월 간격으로 간암 발생 여부를 확인하는 초음파 감시 검사를 한다. 그러나 초음파는 간의 작은 병변을 발견하는 데 한계가 있어 정기적으로 초음파 검사를 받더라도 25~30%의 환자가 근치적 치료가 어려운 병기에서 간암을 발견한다. 초음파가 가진 민감도를 개선할 수 있는 방법의 하나가 조영제를 사용한 CT와 MRI이다. 하지만 높은 비용, 긴 검사 시간, 조영제 합병증 등으로 사용하기 쉽지 않다. 연구팀은 이런 문제를 해결하기 위해 조영제를 사용하지 않는 MRI를 감시 검사 방법으로 도입하고 기존 초음파 검사와 효과를 비교했다. 이번 연구에서 사용한 비조영 MRI는 간암의
-
'세계인 절반 걸린다'는 이 병…스마트폰 1시간 더 볼때마다 급증
세계보건기구(WHO)는 2050년까지 전 세계 인구의 절반이 근시를 겪을 것으로 전망한다. 발병 시기가 점차 빨라지고, 진행 속도와 정도가 심각해지면서 황반변성, 망막박리, 녹내장 등 근시로 인한 실명·시력 장애 위험도 덩달아 커지고 있다. 스마트폰, 컴퓨터 등 디지털 스크린 노출 시간이 길어지면서 근시 발생 위험이 증가한다는 가설이 제기되지만 구체적인 상관관계와 안전 노출 기준은 아직 명확히 밝혀지지 않은 상황이다. 이런 가운데 디지털 스크린 노출 시간과 근시 사이의 관계를 규명한 첫 번째 메타분석 연구가 국내 연구진에 의해 제시돼 눈길을 끈다. 서울대병원 안과 김영국 교수팀은 2024년 11월까지 발표된 45건의 연구를 종합 분석해 총 33만5524명의 데이터를 기반으로 디지털 노출 시간과 근시 발생 위험 간의 관계를 메타분석해 24일 결과를 발표했다. 연구팀은 펍메드(PubMed) 등 주요 의학 데이터베이스에서 디지털 화면 노출 시간과 근시와의 관계를 다룬 연구를 선정하고,
-
"지옥의 고통"…요로결석 수술 후기에 초긴장했는데 '희소식'
요로결석은 신장과 방광, 요로 계통에 결석(돌)이 생기는 질환으로 극심한 옆구리 통증이 가장 큰 증상이다. 방치할 경우 요로감염, 신부전 등 심각한 합병증이 발생할 수 있어 조기 치료가 필수적이다. 요로결석의 수술적 치료는 체외충격파쇄석술과 요관내시경 수술이 있다. 이 중 요관내시경은 요도를 통해 내시경을 삽입, 결석을 제거하는 수술로 피부 절개 없이도 큰 치료 효과를 기대할 수 있다. 다만, 결석 조각을 '바스켓'이라는 도구로 일일이 꺼내는 과정을 반복해야 해 수술 시간이 길어지는 것이 환자에게 부담이 됐다. 채한규 강동성심병원 비뇨의학과 교수는 "반복된 결석 배출 작업은 주변 조직을 손상해 통증과 출혈 등을 유발할 수 있기 때문에 숙련된 의료진이 매우 섬세하게 수술해야 한다"며 "결석을 배출하는 데 평균 1~2시간이 소요되고 결석의 크기가 크면 2회 이상 수술이 필요한 경우가 많아 환자와 의료진 모두 피로도가 높은 편"이라고 설명했다. 이에 등장한 것이 '흡입형 요관내시경 수술
-
"지켜봅시다" 미세 갑상선암 불안했는데…"바늘 하나로 96% 없앴다"
저위험 미세갑상선유두암에 대한 고주파 절제술의 효과와 안전성이 확인됐다. 고주파 절제술을 받은 미세갑상선유두암 환자의 95.9%는 종양이 완전히 사라졌고, 시술 후 정신적·사회적 삶의 질이 지속해서 향상됐으며, 부작용도 적은 것으로 나타났다. 또한, 추적 관찰 결과 시술을 받은 여성들이 건강하게 임신·출산한 것으로 확인돼 고주파 절제술이 신체적 부담이 적은 새로운 치료 옵션이 될 것으로 기대된다. 서울대병원 영상의학과 김지훈·이지예 교수와 내분비대사내과 박영주 교수 연구팀은 고주파 절제술을 받은 12~60세 미세갑상선유두암 환자 98명을 최대 4.8년간 추적 관찰한 결과를 19일 발표했다. 종양 크기 1㎝ 이하인 미세갑상선유두암은 진행이 느리고 예후가 좋은 암이다. 치료 옵션으로 갑상샘 절제수술 또는 적극적 관찰이 권고된다. 점점 많은 환자가 수술을 피해 검사를 받으며 종양 상태를 지켜보는 '적극적 관찰'을 택하고 있으나, 이는 암이 진행될 가능성이 존재해 환자에게 불안감을 유발할
-
"사망 위험률 13.2%" 심장 고장 난 93세, 포기 않고 살려낸 의사들
중앙대광명병원이 93세 초고령환지를 대상으로 한 '승모판막 치환술(MVR)'과 '좌심방이 폐색술(LAAIO)'을 성공적으로 시행했다고 19일 밝혔다. 지난해 12월, A씨는 숨이 찬 증상과 가슴 정중앙부터 복부까지 체한 듯한 불편감을 느꼈다. 며칠 뒤에는 발등을 포함한 신체가 붓는 등 증상이 악화돼 가까운 병원을 방문했고, 폐부종을 동반한 심부전 소견을 받았다. 더 큰 병원으로 가는 것을 권유받아 중앙대광명병원에서 진료받았다. 검사 결과 A씨는 좌·우 양측의 심방 비대 및 심각한 수준의 승모판 역류가 있었고, 약물적 치료와 함께 신속한 수술적 치료가 요구되는 상태였다. 집도의인 김강민 심장혈관흉부외과 교수는 "응급실을 통해 병원에 오셨는데, 검사 결과를 보니 당장 수술을 시행해야 할 정도로 심각한 상태였다"며 "초고령이었기에 치료에 대한 염려도 있던 것도 사실"이라고 떠올렸다. A씨와 같은 초고령자는 수술을 결정하는 것이 쉽지 않다. 면역력 저하와 만성질환을 동반하는 경우가 많아