[박정렬의 신의료인]
국내 첫 사례 "설치류 유래 가능성"
기존과 유형 달라…폐렴, 간 기능 이상 동반

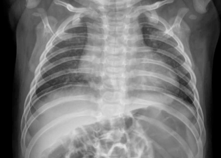
국내 연구진이 폐렴 증상을 보인 생후 103일 된 영아에게서 기존 코로나19와 다른 신종 인간 코로나바이러스(HCoV)를 발견했다. 이 바이러스는 알파 코로나바이러스 계열로, 국내 야생 설치류인 등줄쥐에서 유래했을 가능성이 큰 것으로 보인다. 사람 간 전파 가능성은 아직 불명확하다.
고려대 의과대학 미생물학교실 송진원 교수 연구팀(고려대 의대 박경민 박사, 소아청소년과 신민수·심정옥 교수, 한림대 의대 김원근 교수)은 2022년 고려대 안산병원에 폐렴 증상으로 입원한 영아의 검체를 분석한 결과, 기존 인간 코로나바이러스(229E, NL63, OC43, HKU1)와 유전적으로 다른 신종 인간 코로나바이러스라는 사실을 확인했다고 26일 밝혔다.
감염된 영아는 발열, 기침, 가래, 콧물 등의 호흡기 증상과 함께 급성 중이염과 간 기능 이상을 보였고 폐렴이 동반됐다. 특히 간 기능 수치(AST/ALT)가 462/350 IU/L로 비정상적으로 높았다. 코로나19는 주로 폐렴을 유발하지만, 이 바이러스는 폐렴뿐만 아니라 간 기능 이상도 동반했다는 점이 특징으로 지목된다. 다행히 영아는 치료를 통해 간 기능과 호흡기 증상이 호전돼 8일 만에 퇴원했다. 연구팀은 "사람 간 전파 가능성은 추가 연구가 필요하다"고 밝혔다.

이번 신종 바이러스는 기존 인간 코로나바이러스보다 중국과 한국에서 발견된 설치류 유래 알파 코로나바이러스(AcCoV-JC34)와 더 밀접한 관련이 있는 것으로 분석됐다. 연구팀이 바이러스의 발생 원인을 밝히기 위해 2018년부터 2022년 채집된 국내 야생 등줄쥐 880마리를 대상으로 바이러스 감염 여부를 조사했더니 강원도와 제주도에서 채집된 16마리(1.8%)에서 신종 알파 코로나바이러스(α-CoV))가 검출됐다. 영아에게서 발견된 바이러스와 유전적 유사성이 93.0~96.8%로 높았다. 설치류가 이 바이러스의 자연 숙주일 가능성이 크지만, 감염 경로는 불명확하다.
송진원 교수는 "이 바이러스가 동물에서 인간으로 넘어온 새로운 형태의 바이러스일 가능성이 높다"며 "새로운 바이러스의 출현은 공중보건에 심각한 위협이 될 수 있는 만큼 감염 경로와 병원성을 면밀히 분석해 대응책을 마련해야 한다"라고 강조했다.
이번 연구 결과는 이번 달 국제 학술지 '신종 미생물 및 감염'(Emerging Microbes & Infections)에 '한국의 폐렴을 앓고 있는 유아 환자에서 발견된 새로운 인간 코로나바이러스(Novel human coronavirus in an infant patient with pneumonia, Republic of Korea)'라는 제목으로 게재됐다.