-
정상 시야 vs 녹내장 환자의 시야…혹시 나도 이렇게?
눈 속 시신경은 한번 손상당하면 더는 회복하기 어렵다. 전체 시신경의 30% 이상이 파괴된 후에야 '시야 결손' 같은 이상소견이 나타난다. 건강검진에서 안저검사 후 '시신경유두함몰비'가 증가했다는 소견을 들었다면 녹내장이 진행했을 가능성을 시사한다. 녹내장은 당뇨망막병증, 삼출성 황반변성과 함께 3대 실명질환 중 하나다. 국내 100만명 이상의 높은 유병률을 나타내는 '녹내장'은 시신경이 손상되면서 시야가 점차 좁아지고 결국 실명에까지 이를 수 있는 질환이다. '당뇨망막병증'은 고혈당에 노출된 망막 모세혈관이 막히거나 터지는 병이다. '황반변성'은 시세포가 집중된 망막 황반부가 손상되는 질환으로 인구 고령화가 진행되면서 환자 수가 지속해서 증가하고 있다. 이 질환들은 초기 증상을 자각하기 어렵고 치료 시기를 놓치면 실명의 위험이 있다. 특히 녹내장의 주요 원인은 안압 상승으로 인한 시신경 손상이다. 안압은 '방수' 생성·배출의 균형으로 결정된다. 김안과병원 녹내장센터 정종진 전문의는
-
"커피만 마셔도 살 빠져" 이 말 진짜?…9가지 근거 보니
커피가 체중 감량에 도움을 주는 9가지 과학적 이유를 미국의 유명 건강 전문지가 소개해 눈길을 끈다. 22일 한국식품커뮤니케이션포럼(KOFRUM)에 따르면 '헬스'(Health)는 '커피, 체중 감량에 효과 있을까? 놀라운 9가지 메커니즘'(Is coffee good for weight loss? 9 surprising ways it may help)이란 제목의 최근 기사에서 커피, 특히 블랙커피가 체중 감량과 대사 건강에 기여할 수 있다는 과학적 근거 9가지를 정리해 보도했다. 해당 보도에 따르면 커피가 다이어트 효과를 나타내는 이유는 첫째, 커피는 기초대사량을 증가시킨다(Boosts Metabolism). 커피의 주된 항산화 성분이지 생리활성물질인 카페인은 신진대사를 활성화해 휴식 시 에너지 소모 증가를 유도한다. 열 발생(thermogenesis)을 촉진해 열량 소모를 돕는 원리다. 커피의 카페인이 체내 아데노신 생성을 억제하면 에너지 수치가 상승해 신진대사를 촉진한다. 아데
-
시원한 실내에서도 땀이 줄줄…'나쁜 땀'이 보내는 건강 이상신호
숨이 턱턱 막히고 잠시만 움직여도 땀이 주룩주룩 흐르는 날씨가 이어진다. 이런 무더위에 땀흘리는 건 당연하지만, 땀이 어떤 상황에서 얼마나 많이 나오느냐는 우리에게 알리는 건강 이상 신호일 수 있다. 좋은 땀과 나쁜 땀, 어떻게 구분해야 할까. 땀이 나는 이유, 땀이 보내는 건강 이상 신호를 알아본다. ━땀 많이 흘릴수록 염분 부족…전해질 채워야 ━ 땀은 왜 나오고, 어떤 경로로 나올까. 박경희 한림대성심병원 가정의학과 교수는 "땀은 우리 몸에서 체온을 유지하는 정상적인 기전"이라고 설명했다. 땀은 몸속에서 전해질 농도가 낮은 물이 몸 밖으로 나온 것으로, 몸 겉면에서 증발할 때 체온을 낮춘다. 운동할 때, 다른 신체 활동으로 인해 체내에서 열이 발생해도 땀이 날아가면서 체온이 조절된다. 땀을 적당히 흘리면 더운 환경에서도 체온을 유지할 수 있다. 달리기나 운동 중에 땀을 흘리면 체온이 올라가는 것을 막을 수 있다. 박훈기 한양대병원 가정의학과 교수는 "땀이 땀샘 통로를 나올 때 일
-
'만병의 주범' 활성산소 막아준다…제철에 챙겨야 할 과일·채소
채소·과일 속 항산화 효소인 '아스코르베이트 페록시다아제'(Ascorbate Peroxidase, APX)가 '만병의 주범'으로 통하는 활성산소(유해산소)로부터 사람의 세포를 보호하는 데 효과적이라는 사실이 밝혀졌다. 이 효소는 세포 내 산화 스트레스를 줄이고, 항산화 시스템을 조절하는 핵심 임무를 수행하는 것으로 나타났다. 옥스퍼드대 출판부가 발간하는 저명 학술지 '실험식물학회지' 최근호에 따르면 영국 옥스퍼드대학 식물생리학자 마리아 산달리오(Maria A. Sandalio) 박사팀은 사과·감귤·포도·딸기·아보카도 등 다양한 과일을 대상으로 숙성 도중 APX의 양과 활성 변화를 분석했다. 그랬더니 APX 효소는 활성산소(ROS)를 제거하고, 비타민C·글루타싸이온 등 항산화 성분과 상호작용해 세포 손상 억제에 핵심 역할을 한다는 사실이 밝혀졌다. 연구팀은 과일이 익으면서 APX 효소의 활성이 어떻게 변화하는지를 추적했다. 과일의 숙성기엔 APX 활성이 더 높아졌고, 이로 인해 활성
-
폭음에 부은 간, 면역세포와 핫라인 연결…알코올성 간질환 새 치료법 열쇠?
사람이 폭음하면 간세포가 면역세포와 직접 소통하며 염증을 유발한다는 사실을 국내 연구진이 세계 최초로 밝혀냈다. 알코올성 간질환의 새로운 치료 전략 수립에 중요한 단서를 제공할 것으로 기대된다. 가톨릭대 여의도성모병원 소화기내과 양경모 교수, 카이스트 정원일 교수, 서울대보라매병원 김원 교수 연구팀은 만성 음주에 노출된 간세포가 평소 VGLUT3(소포성 글루타메이트 수송체 3)를 통해 글루타메이트를 세포 내 소포에 저장하고 있다가, 폭음 상황에서 세포 내 칼슘 농도 변화로 인해 이를 급격히 방출한다는 사실을 밝혀냈다. 주목할 건 '분비된 글루타메이트'가 간 대식세포(병원체를 먹어치우는 면역세포)인 쿠퍼세포의 수용체(mGluR5)를 활성화해, 활성산소종을 생성하고 염증 반응을 유발한다는 것이다. 알코올로 인해 부풀어 오른 간세포가 쿠퍼세포와 물리적 접촉을 강화하며, 이를 통해 신경세포 간 시냅스와 유사한 '의사시냅스(pseudosynapse)'가 형성됨을 확인했다. 양경모 교수는 "이
-
"BMI 25 넘을 땐 간암·담도암, 23 못 미칠 땐 폐암 조심" 새 연구 결과
남성은 체질량지수(BMI)가 25㎏/㎡ 이상일 때 간암·담도암이, 23㎏/㎡ 이하일 때 폐암이 발생할 위험이 커지는 것으로 나타났다. 비만 관련 지표인 체질량지수(BMI)와 허리둘레에 따른 암 발생 위험이 암종에 따라 다를 뿐만 아니라 같은 암종이라도 성별로 나뉘고, 여성은 폐경 여부에 따라서도 달라진다는 보고가 나왔다. 삼성서울병원 가정의학과 신동욱·김성혜 교수, 숭실대 정보통계보험수리학과 한경도 교수 공동 연구팀은 국제학술지 '캔서 커뮤니케이션즈(Cancer Communications)' 최근호에 체질량지수·허리둘레와 암 발병 위험 사이의 비선형적인 관계를 발표했다. 연구에는 국민건강보험공단 자료를 기반으로 2009년부터 2020년까지 건강검진 이력이 있는 사람 약 398만명(남성 약 220만명, 여성 약 178만명)을 평균 9년간 추적 관찰한 결과가 담겼다. 이번 연구에서는 △남성 △폐경 전 여성 △폐경 후 여성으로 각각 구분해, 성별과 폐경 상태에 따라 체질량지수 및 허리둘레
-
메스껍고 토악질, 가벼이 넘겼는데…뇌종양이라고요?
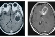
7월22일은 '세계 뇌의 날'이다. 뇌종양은 흔히 불치병으로 여겨지며, 교모세포종과 같은 악성 뇌종양은 5년 생존율이 10% 미만으로 매우 낮다. 그러나 매년 발생하는 뇌종양 환자 10명 중 7~8명은 성장이 느린 '양성'으로, 비교적 예후가 좋은 종양이 대부분이다. 서울대병원 신경외과 박철기 교수의 도움말로 뇌종양의 유형별 특징과 치료법, 조기 발견을 위한 주의 신호를 알아본다. ━양성일 땐 5년 생존율 90% 이상━뇌종양은 뇌뿐만 아니라 뇌막·뇌신경·두개골·두피 등에 발생한 종양이다. 발생 경로에 따라 △원발성(뇌와 주변부에서 발생) △전이성(다른 장기로부터 전이됨)으로 나뉜다. 그중 '원발성 뇌종양'은 다른 장기로 전이되지 않고 뇌·척수 등 중추신경계 안에서만 재발한다. 뇌종양의 가장 흔한 증상은 '두통'이다. 종양이 커지면서 두개골 내 뇌압을 올려 반복적·점진적·지속적인 통증을 유발한다. 일상적인 두통과 구별하려면 통증 추이에 주목해야 한다. 진통제를 먹어도 효과가 없고, 통
-
한여름 기안84 러닝 따라했다가…"젊다고 안심 금물" 이 증상 주의
최근 웹툰작가 겸 방송인 기안84(본명 김희민)는 자신의 SNS에 "산 뛰어다니는 주말"이라는 글과 함께 달리는 모습의 사진을 게시했다. 마라톤 대회에 여러 번 참가했을 정도로 달리기에 주력하는 기안84처럼 최근 젊은 층을 중심으로 러닝 열풍이 이어진다. 하지만 무더운 여름철, 건강을 위해 시작한 러닝이 자칫 건강을 해칠 수 있어 주의해야 한다. 특히 무더운 여름철에는 고온다습한 환경으로 인한 열사병과 심장질환이 겹쳐 위험을 더 높일 수 있다. 2024년 온열질환 감시체계 통계에 따르면 전체 온열 질환자 중 20~40대 젊은 환자가 36% 이상을 차지했다. 즉 3명 중 1명 이상은 젊은 세대인 셈으로, 젊은 세대도 온열 질환에 결코 안심해서는 안 된다는 방증이다. ━달릴 때 숨차면서 메스껍다면 '심장' 문제 ━러닝 중 숨 차는 증상이 단순히 과운동 때문만이 아니라 심혈관 질환의 신호일 수 있다. 강북삼성병원 순환기내과 최효인 교수는 "무더위 속에서는 체온 조절과 혈류 변화로 인해 심
-
"400도 가열했더니 발암물질 2배 차이" 담배 종류별 결과 '충격'
일반담배의 발암물질을 비롯한 유해물질의 생성량이 궐련형 전자담배보다 2배 이상 많이 검출됐다는 연구결과가 나왔다. 일반담배와 궐련형 전자담배의 유해물질 생성 메커니즘을 비교 분석한 결과다. 특히 발암물질 생성이 급증하는 '임계 온도'(400℃ 이상)가 과학적으로 규명돼 눈길을 끈다. 한양대 자원환경공학과 권일한 교수 연구팀은 일반담배와 궐련형 전자담배를 대상으로, 열중량 분석(TGA)과 가스크로마토그래피/질량분석(GC/MS)을 수행해 화합물 37종을 검출하고, 이를 △카보닐류 △알코올류 △퓨란계 △페놀계 △탄화수소류 △알칼로이드류 △질소화학물 등 7개 그룹으로 분류해 유해 화합물의 생성 특성과 독성 분포를 비교 분석했다. 분석 결과, 일반담배는 최대 800℃의 고온에서 연소·열분해됐으며, 담배 한 개비당 6.47~6.93㎎의 니코틴과 함께 고온 유래 유해물질이 다량 생성됐다. 반면, 궐련형 전자담배는 약 350℃로 정밀하게 제어된 온도에서 재구성 담배 잎(RTL)을 가열하며 유해물질
-
치아가 건강해야 몸도 건강하다…'이 빠진' 중년, 암 발병률 '쑥'
치아·잇몸·혀 등 구강의 건강 상태가 '전신'의 건강을 좌우할 수 있다는 연구 결과가 속속 나온다. 그간 구강 중에서도 치주염, 치아 상실에 한해 전신 건강과의 연관성이 연구됐지만, 최근엔 생존율과 암 발생률에 구강 건강이 관여한다는 새로운 연결고리가 발표돼 주목된다. 먼저, 구강질환이 암 발생률을 높인다는 사실이 국내 연구 결과로 입증됐다. 서울대병원 공공진료센터 김계형 교수와 서울시보라매병원 공공부문 이승연 박사는 2009년 구강검진을 받은 성인 384만5280명을 대상으로, 2006~2019년 국민건강보험공단 진료 기록과 통계청 사망 자료를 연계해 10년 이상 추적 관찰했다. 연구팀은 구강질환을 △충치 △치은염 △치아 상실의 세 가지로 구분해, 유무에 따라 전체 암과 부위별 암의 발생률·사망률을 분석했다. 그랬더니 전체 암 발생은 총 18만1754건으로, 구강질환이 있는 사람에서 그렇지 않은 사람보다 암이 더 많이 발생했다. 특히 치아 상실이 있는 경우 대장암은 13%, 간암은
-
"정확도 80% 가까워" 희귀한 대장 용종까지 샅샅이 찾는 AI 나왔다
대장 용종의 조기 진단은 대장암 사망률을 낮추는 주요 요인이다. 하지만 지금까지 개발된 대장내시경 진단 보조 시스템은 발생이 드문 소수 유형의 용종까지 감지하는 데는 한계가 있었다. 최근 국내 연구팀이 이러한 용종까지 감지할 수 있는 새로운 진단 보조 시스템을 개발했다. 특히 이 시스템은 분류 결과의 신뢰 수준도 정밀하게 제시할 수 있어, 전문의의 신속하고 정확한 임상 의사결정을 지원할 것으로 기대된다. 서울대병원 영상의학과 이동헌·서울대 데이터사이언스대학원 김형신 교수 공동연구팀은 국내 4개 의료기관 및 공개 데이터셋에 등록된 대장내시경 데이터 약 3400건을 바탕으로, 학습·검증을 실시해 대장내시경 컴퓨터 진단 보조 시스템 'ColonOOD'을 개발했다고 17일 밝혔다. 최근 국가암등록통계에 따르면 대장암은 국내 암 발생률 2위, 사망률 3위를 차지하는 주요 암종이다. 다만, 대장내시경으로 용종을 신속하고 정확히 진단할 경우 대장암 사망률을 최대 53% 낮출 수 있다고 알려졌다.
-
강아지만 보면 "에취~" 간질…털 빡빡 밀면 걱정없다?
국내 반려동물을 키우는 사람이 1500만명으로 추산된다. 이처럼 반려동물과 함께 사는 사람이 늘면서 반려동물 알레르기도 늘고 있다. 반려동물을 키우는 사람의 15~30%에서 알레르기가 나타난다고 알려진다. 특히 고양이 알레르겐(알레르기 원인 물질)은 개 알레르겐보다 알레르기 증상을 2배 이상 더 많이 일으킨다. 이런 동물 알레르기의 주요 항원은 털에 묻어 있는 각질·침·비듬·소변 등에 포함된 단백질 성분이다. 이 때문에 반려동물 근처에 가거나 동물을 만지고 나서 가려움증, 콧물, 재채기, 기침, 호흡곤란, 가슴 답답함, 두드러기 같은 증상이 나타날 수 있다. 일각에선 '지나치게 깨끗한 환경보다는 다양한 미생물에 노출되는 게 아이 면역 체계 발달에 긍정적'이라는 의견도 제기된다. 이는 '위생 가설(Hygiene Hypothesis)'에 따른 것으로, 실제 반려견과 함께 자란 아이들에게서 알레르기 발생 가능성이 절반가량 줄었다는 연구 결과도 있다. 고려대 안산병원 소아청소년과 강희 교수