[정심교의 내몸읽기]
7월22일은 '세계 뇌의 날'이다. 뇌종양은 흔히 불치병으로 여겨지며, 교모세포종과 같은 악성 뇌종양은 5년 생존율이 10% 미만으로 매우 낮다. 그러나 매년 발생하는 뇌종양 환자 10명 중 7~8명은 성장이 느린 '양성'으로, 비교적 예후가 좋은 종양이 대부분이다. 서울대병원 신경외과 박철기 교수의 도움말로 뇌종양의 유형별 특징과 치료법, 조기 발견을 위한 주의 신호를 알아본다.

뇌종양은 뇌뿐만 아니라 뇌막·뇌신경·두개골·두피 등에 발생한 종양이다. 발생 경로에 따라 △원발성(뇌와 주변부에서 발생) △전이성(다른 장기로부터 전이됨)으로 나뉜다. 그중 '원발성 뇌종양'은 다른 장기로 전이되지 않고 뇌·척수 등 중추신경계 안에서만 재발한다.
뇌종양의 가장 흔한 증상은 '두통'이다. 종양이 커지면서 두개골 내 뇌압을 올려 반복적·점진적·지속적인 통증을 유발한다. 일상적인 두통과 구별하려면 통증 추이에 주목해야 한다. 진통제를 먹어도 효과가 없고, 통증이 점점 악화하거나, 새벽이나 아침 시간대에 심한 통증이 나타나면 뇌종양을 의심할 수 있다.
뇌압이 상승하면 구토·메스꺼움이 생길 수 있는데, 이를 소화기 문제로 오인해 뇌종양 진단이 늦어지는 경우가 많다. 종양이 관련된 뇌신경을 압박할 경우 마비, 저림, 언어장애, 의식 저하, 경련, 시력 감퇴, 시야 축소 등 신경학적 증상이 발생할 수 있다. 뇌피질을 자극해 뇌전증이 동반되기도 한다.
뇌종양은 조직학적 특성에 따라 '양성'과 '악성'으로 나눈다. '양성 뇌종양'은 성장 속도가 1년에 2㎜ 미만으로 느리다. 주변 부위와 비교적 명확히 구분되기 때문에 수술을 통한 완치 가능성도 높다. 종양의 크기·위치에 따라 일상생활이 불편할 수 있어도, 5년 생존율이 90% 이상일 만큼 생명에 거의 지장이 없다. 따라서 별다른 증상이 없는 경우 경과 관찰만 하며, 증상이 있거나 주기적으로 MRI(자기공명영상)를 촬영하며 관찰하다가 성장 속도가 일반적인 경우보다 빠르다고 판단될 때 치료를 고려해도 늦지 않다.
대표적인 양성 뇌종양에는 뇌를 둘러싼 수막(뇌막)에서 발생한 뇌수막종, 뇌의 정중앙부 하단에 위치한 '뇌하수체'에서 발생한 뇌하수체 선종, 뇌신경에서 발생하는 신경초종이 있다.
독자들의 PICK!
'악성 뇌종양'은 진행이 빠르고, 성장하면서 뇌 조직을 침범하는 경향을 보인다. 뇌교종이 대표적이다. 뇌교종은 뇌신경세포를 지지하는 교세포에서 발생하며, 절반 이상이 악성이다. 양성 뇌교종도 시간이 지나면서 악성화되는 경우가 많다. 뇌교종이 발견되면 일부 예외적인 경우를 제외하고, 대부분 증상이 없더라도 치료가 필수적이다.
교모세포종은 뇌교종 중에서도 발생 빈도와 악성도가 가장 높은 치명적인 유형이다. 국내에서 연간 800여명의 환자가 발생하며, 치료받지 않을 경우 평균 생존 기간은 3~6개월이고, 치료 시 약 1년이 연장된다. 교모세포종이 아닌 악성 뇌교종도 핍지교종을 제외하고는 불량한 예후를 보이는 경우가 많다.

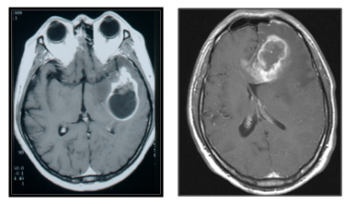
뇌종양 진단의 기본은 MRI 검사다. 이는 뇌종양이 의심될 때뿐만 아니라, 수술 전후 종양의 상태 관찰을 위해 자주 사용된다. 검사에서는 종양 부위를 선명하게 확인할 수 있도록 정맥 조영제를 투여한다.
뇌종양 진단 후에는 연령, 기저질환, 증상, 종양의 크기·위치, 성장 속도를 검토해 치료 계획을 수립한다. 최종 진단은 수술로 종양을 제거한 후, 현미경으로 직접 세포를 관찰하고 종양세포에 대한 유전자 검사까지 실시해 내린다. 이를 통해 뇌종양으로 확진돼야 방사선 치료나 항암화학요법 등 후속 치료를 진행할 수 있다.
뇌종양의 가장 기본적인 치료 방법은 수술이다. 그중 두피·두개골·뇌막까지 절개하고, 종양을 절제하는 개두술이 가장 효과적이고 신속하다. 양성 뇌종양은 개두술을 통해 신경학적 증상 개선, 완치를 기대할 수 있다. 악성 뇌종양에서는 확진을 통한 정확한 치료 계획의 수립과 종양 크기를 줄임으로써 후속 치료 효과를 높여 환자 수명을 연장할 수 있다.
그 밖의 수술 방법으로는 두개골을 열지 않고 고용량의 방사선을 종양에 조사하는 방사선 수술(감마나이프), 내시경을 이용해 뇌 기저부 종양에 접근해 제거하는 뇌내시경 수술 등이 있다. 종양의 종류·위치에 따라 각성수술, 영상유도수술, 형광유도수술, 수술중 신경 감시 및 매핑 등 특별한 수술보조기법을 이용해 수술 정확도·안정성을 향상할 수 있다.
뇌교종처럼 뇌 안에 생기는 뇌종양은 종양 주위를 넓게 절제할 수 없어서 수술로 종양세포를 완전히 제거하기 어렵다. 이에 재발이 잦으며, 재발을 예방하기 위해 방사선 치료나 항암화학요법을 병행한다.
방사선 치료는 방사선을 하루에 조금씩 분할 투여해 선택적으로 종양 세포를 죽이는 방법이다. 짧게는 2~3주, 길게는 6~8주간 매일 치료를 실시한다. 약물 치료는 주로 악성 뇌교종에서 수술, 방사선 치료와 병용하는 방법이다. 과거 뇌종양은 다른 암보다 항암제 효과가 제한적이라고 알려졌다. 뇌와 뇌혈관 사이에 존재하는 '혈관-뇌 장벽'이 항암제가 뇌까지 전달되는 것을 막기 때문이다. 최근에는 이런 한계를 극복하는 다양한 신약과 표적치료제가 개발돼 약물 치료도 활발하게 시도된다.
박철기 교수는 "뇌종양 중 완치가 어렵고 손쓸 수 없는 경우도 분명 존재하지만, 대부분의 뇌종양은 치료가 가능하며 특별한 치료 없이 경과 관찰만으로도 평생 문제없이 살아갈 수 있는 경우도 많다"며 "국내 뇌종양 치료 기술은 세계 최고 수준으로 인정받고 있어, 희망을 갖고 적극적으로 치료에 임하시길 바란다"고 덧붙였다.