[박정렬의 신의료인]

가톨릭대 서울성모병원 성필수 교수(소화기내과), 조문영 임상강사(소화기내과), 이성학 교수(병리과) 연구팀은 원은 모를 급성 간부전으로 간이식 치료까지 고려한 환자에서 개회충증을 진단해 극적으로 치료한 사례를 소화기학 분야 국제 학술지 '위장병학 (Gastroenterology)' 온라인과 인쇄판에 연이어 게재했다고 16일 밝혔다.
병원에 따르면 평소 기저질환이 없었던 51세 여성 A씨는 갑자기 39도의 고열이 지속되고 오른쪽 복부 통증이 심해져 병원을 찾았다. 검사 결과 백혈구, 호산구가 급격히 증가하고 심각한 간농양이 확인돼 입원 치료를 해야 했다. 간농양은 면역기능이 떨어졌거나 세균이 간에 침투하여 발생하는 것으로 간에 종괴 같은 고름이 생기는 질환이다.
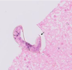
일반적인 치료에 반응 없이 간농양은 진행됐고 급격하게 간 기능이 손상되는 간부전으로 악화했다. 결국 간이식 수술까지 논의될 정도로 위급한 상황에 놓여 환자는 서울성모병원으로 전원(轉院)됐다. 성 교수팀은 간 조직 검사에서 개회충 유충을 발견했고 이어진 다른 검사 결과를 종합해 개회충증으로 인한 간농양 및 간동맥 가성동맥류 출혈 진단을 내렸다. 개회충 감염을 치료하는 항원충제(구충제) 복용과 염증반응을 개선하기 위한 스테로이드로 치료를 진행한 결과, 급격한 간부전 악화와 출혈로 간이식까지 논의하던 이 환자는 극적으로 증상이 호전돼 퇴원 후 현재까지 건강한 삶을 살고 있다고 한다.

기생충으로 인한 간농양은 익히지 않은 생고기, 생간을 먹거나 오염된 흙이 묻은 야채를 섭취할 경우 발생할 수 있다. 자칫 간을 비롯해 폐·눈·뇌에 염증반응을 일으켜 심각한 결과를 초래할 수 있다. 개회충증으로 인한 간농양과 합병증 사례 보고가 과거에도 있었지만, 이번처럼 분명한 개회충을 찾아내고 심각한 수준의 염증과 출혈을 극적으로 호전시킨 증례는 전 세계적으로 매우 드물다고 한다.
성 교수는 "우리나라 사람을 대상으로 기생충 감염 및 잠복을 확인하기 위해 혈액검사(항체 검사)를 실시한 결과, 개회충감염 표지자가 50%까지 발견됐다는 보고도 있다"며 "해외 여행력이 있거나 생식하는 경우 발열, 복통, 간 기능 이상을 보인다면 개회충증 기생충 감염을 고려해 적극적인 검사와 치료를 시행할 필요가 있다"라고 조언했다.