[정심교의 내몸읽기] 소아에게 흔한 '장중첩증'

어린아이에게서 흔하게 발생하는 응급질환 중 하나가 '장중첩증'이다. 장의 한 부분이 가까운 다른 부분 속으로 말려 들어가는 상태를 가리킨다. 제때 치료하지 않으면 장 괴사(장이 썩음) 같은 심각한 합병증으로 이어질 수 있어, 최대한 일찍 발견해 빠르게 치료하는 게 중요하다.
장중첩증의 약 95%는 원인이 따로 없다. 보통 생후 3개월에서 만 3세 사이의 소아에서 발생하는데, 남자아이에게서 좀 더 많이 발생한다. 특히 소장의 마지막 부분인 '회장'이 대장의 시작점인 맹장으로 말려 들어가는 경우가 가장 흔하다. 고려대 안산병원 소아외과 오채연 교수는 "장중첩증은 감기·장염에서 회복된 후에 발생하는 경우가 많다"고 설명했다.
3개월 미만이나 12세 이상에서도 나타날 수 있는데, 이때는 선두점(lead point)이 존재할 가능성이 있다. 선두점은 장의 한 부분이 다른 부분 안으로 말려 들어가게 하는 원인이 될 수 있는데, 선두점 대부분은 비정상적인 구조물이다.
선두점으로 가장 흔한 병변은 메켈게실(Meckel's diverticulum)이다. 메켈 게실이란 태생 초기 태아의 혈액 보급로인 제장관막관이 출생 전에 퇴화하지 않아 회장 벽에서 60~100㎝ 툭 튀어나온 비정상적 주머니를 형성하는 질환으로, 영아 약 2%에서 발견되는 소화기 선천 기형이다. 그 밖에도 용종, 드물게는 양성·악성 종양이 이러한 선두점으로 작용할 수도 있다.
장중첩증의 대표적인 증상은 주기적인 '복통'과 '혈변'이다. 아이가 갑자기 울며 다리를 배 쪽으로 끌어 올리는 모습을 관찰할 수 있고, 괴로워하다가 이내 조용해지는 것을 반복한다. 장중첩증이 진행이 많이 된 경우에는 아이의 배를 살살 만져보면 소시지 같은 덩어리가 만져질 수도 있고, 발병 후 시간이 지남에 따라 점액성 혈변을 볼 수도 있다. 이외에 구토·설사가 동반될 수도 있다.
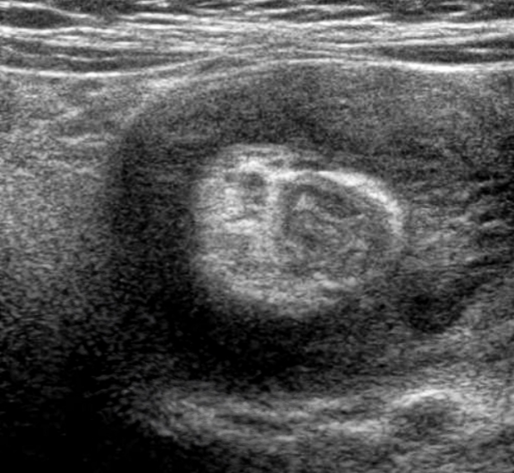
진단을 위해 가장 먼저 복부 엑스레이(X선) 촬영을 시행한다. 이를 통해 장관 내의 가스 분포를 확인하거나, 만져지는 종괴의 음영을 확인해 장중첩증을 의심할 수 있다. 이후, 복부 초음파로 '도넛 사인'과 같은 특징적인 소견을 통해 정확한 진단을 할 수 있는데, 장이 말려 들어가 겹친 모양의 단면이 마치 도넛 모양으로 보이기 때문이다.
치료하기 위해 먼저 비수술적으로 항문을 통해 공기·물을 대장으로 넣어 중첩 상태를 풀어주는 '정복술'을 시행할 수 있다. 이는 복막염으로 진행하지 않은 장중첩증 환자에서 장관 내 압력을 증가시켜 장을 풀어주는 치료법으로, 성공률은 약 90%다.
독자들의 PICK!
수술적 치료에는 '복강경을 이용한 정복술', '개복하 도수 정복술'이 있는데, 중첩된 장을 복강경 기구나 손으로 밀어 빼내는 방식이다. 이는 △비수술적 정복술이 실패한 경우 △복막염으로 진행된 경우 시행하는 수술법이다. 선두점이 없거나 중첩됐던 장의 심각한 손상이 없으면 정복술만으로 수술을 마칠 수 있다. 하지만 선두점이 있거나 장 천공·괴사가 진행됐다면 선두점, 손상된 장을 절제해야 한다.
오채연 교수는 "장중첩증은 응급질환이지만 조기에 치료하면 대부분의 아이는 완전히 회복할 수 있다"며 "치료가 늦어지면 장 괴사, 복막염 등 심각한 합병증을 유발할 수 있으며, 생명까지 위협하는 상황으로 이어질 수도 있으므로 빠른 진단과 치료가 중요하다"고 말했다.
또 "아이가 평소와 다른 양상의 복통을 호소하거나 점액성 혈변이 관찰되면 즉시 병원을 방문하는 게 안전하다"고 조언했다.