-
서핑 후 다리 힘 빠지더니 '하지마비'…"1030 남성 위험" 이 병 주의
지난해 유튜브 채널 '원샷한솔'에는 강원 양양군에서 파도타기(서핑)를 하다가 하반신이 마비된 치과의사의 사연이 전해져 주목받았다. 처음으로 서핑을 나섰던 그는 늦게 도착해 준비운동을 잘 하지 않고 바다에 뛰어들었는데, 이후 휴식을 위해 모래사장에 나왔을 때 양쪽 다리에 힘이 빠져 주저앉았다고 한다. 이후 발끝에서 말도 못 할 만큼 심한 고통이 올라왔고, 119구급대에 실려 병원으로 이송됐지만 결국 하반신이 마비되고 말았다. 최근 우리나라에서 드물지만, 종종 보고되는 병이 '파도타기 척수병증'이다. 이름처럼 서핑하다가 발생하는 병이다. 주로 처음 서핑을 배우거나 경력이 얼마 안 된 초보자에게 나타난다. 다른 근골격과 질환과 달리 환자 대부분이 10대 후반에서 30대 초반의 '젊은 남성'이라는 특징이 있다. 파도타기 척수병증은 허리디스크나 척추관협착증처럼 추간판(디스크)이나 골극(뼈) 등에 신경이 눌리는 것이 아닌, 척수에 인접한 '혈관'(앞척수동맥) 손상이 원인으로 알려진다. 발병
-
"암 파괴할 양성자 도입" 투자 나선 고대의료원, 동탄에도 병원 짓는다
고려대학교의료원(이하, 고대의료원)이 암 정밀 치료시스템인 '양성자 치료기'를 도입하기로 하고, 올 연말까지 의료원 산하 안암·구로·안산병원에 가운데 부지를 선정하겠다고 밝혔다. 이 의료원은 개원 100주년을 맞는 2028년까지 '중증·난치성 질환 치료'에 주력하고, 2035년 개원을 목표로 경기 화성시 동탄 지역에 700병상 규모의 네 번째 병원을 설립하는 방안도 추진하겠다는 밑그림도 공개했다. 고대의료원은 26일 서울 성북구 고려대 의대 제1의학관 6층에서 기자간담회를 열고, 암환자 치료 효과를 극대화해 생존율을 높이기 위해 의료원 산하 3개 병원(안암·구로·안산) 중 한 곳에 양성자 치료기를 들이겠다고 밝혔다. 차세대 암 치료기로 꼽히는 2가지가 '양성자'와 '중입자'다. 이 가운데 중입자 치료의 경우 국내에서 세브란스병원·서울대병원(기장)·서울아산병원이 이미 치료를 시작했거나 치료기 도입을 앞두고 있다. 이미 3곳에서 갖춘 데다, 일본에선 아직 중입자의 암 치료 효과를 충분히
-
카인사이언스, 특례상장 도전…"면역질환 혁신신약 개발"
카인사이언스가 설립 10년째 코스닥 시장 상장을 준비한다. 앞서 기술특례로 코스닥에 상장하기 위한 기술성평가를 통과했다. 신약 개발 회사로, 대표 파이프라인은 만성 염증성 탈수초성 다발 신경병증(CIDP) 치료제 'KINE-101'이다. 현재 환자 대상 임상 완료하고 최종결과보고서를 기다리고 있다. KINE-101의 임상 데이터와 공모시장 분위기 등에 따라 2000억원 이상의 기업가치를 꾀할 것으로 관측된다. 카인사이언스는 지난 1월 기술성평가 전문기관 두 곳으로부터 각각 'A'와 'BBB' 등급을 확보해 기술특례상장 요건을 충족한 데 이어 기업공개(IPO) 작업을 준비하고 있다고 26일 밝혔다. 기술성평과를 통과한 뒤 6개월 안에 상장예비심사를 청구해야 하는 일정을 고려하면 올 하반기 공모 절차에 돌입할 가능성이 크다. 카인사이언스는 2016년 7월 설립 뒤 자체 발굴한 초소형 펩타이드(작은 단백질 조각) 약물로 면역질환 치료제를 연구하고 있다. 주로 류머티즘 관절염과 염증성 장
-
HK이노엔 '케이캡' 美 진출 앞두고…P-CAB 시장 축소 우려, 왜?
HK이노엔 P-CAB(칼륨경쟁적 위산분비억제제·피캡) 제제 '케이캡'(성분명 테고프라잔)이 미국 진출에 속도를 내고 있는 가운데, 현지 피캡 시장 자체가 축소될 수 있단 우려가 나온다. 경쟁제품의 특허 연장이 불발될 수 있단 가능성이 제기되면서 제네릭(복제 의약품) 출시 시점이 앞당겨질 수 있기 때문이다. 26일 업계에 따르면 미국 패썸 파마슈티컬스(이하 패썸)의 피캡 제제 '보퀘즈나'(성분명 보노프라잔)의 독점권 연장 여부가 오는 6월 초 중 결정될 전망이다. 패썸은 헬리코박터 파일로리 적응증에 부여된 보퀘즈나의 10년 신약화합물독점권(NCE)이 같은 활성 성분을 포함하는 모든 보퀘즈나에 대해 동일하게 10년 기간을 부여하도록 미국 식품의약국(FDA)에 청원서를 제출한 상태다. 10년 독점권은 NCE에 대한 표준 5년 독점권에 항생제 개발 촉진법(GAIN Act)에 따라 추가된 5년 연장 독점권을 포함한 기간이다. 보퀘즈나는 현재 기준 미국 시장 내 유일한 피캡 제제다. 보퀘즈나
-
[단독] "단속 막는 부적스티커가 20만원"…문신업계 퍼진 수상한 상술
"언제까지 불안해하며 몰래 시술하실 건가요? 단속과 분쟁, 모르고 당하는 것과 알고 대응하는 건 큰 차이가 있습니다. 완벽하게 무장시켜드리겠습니다."(N모 그룹의 광고 문구) 우리나라에서 범법자로 분류되는 문신 시술자들에게 가장 두려운 대상은 '단속'이다. 어느 날 갑자기 경찰, 단속 공무원이 시술소를 찾아와 '여기서 문신 시술을 했는지' 관련 증거물을 찾아 나서는 단속을 한 번이라도 겪어본 시술자들 사이에선 "무서워서 몸이 얼어붙었다", "나 감옥 가면 어떡하나"라는 식의 반응이 쏟아진다. 그런데 이런 시술자들에게 난데없이 '부적'이 등장했다. 문신 시술과 관련된 모든 집기류에 붙이기만 하면 단속을 피할 수 있다는 수상한 스티커다. 머니투데이 취재를 종합하면 자칭 '문신업소 실시간 단속 대응지원 및 밀착 보호 기업' N모 그룹이 제작한 이른바 '문신사 보안 스티커'를 팔고 있다. 직사각형의 스티커엔 "본 수납공간은 N모 그룹 대표이사에게 취급 권한이 있으며, 2025년 12월31일
-
치매가 코앞인데…'이런 환자' 진료 꺼리는 상급종합병원, 왜
치매 환자가 빠르게 늘면서 이 병이 한국인 사망 원인 7위까지 성큼 올라섰다. 중앙치매센터에 따르면 2023년 기준 국내 60세 이상 인구 1365만명 가운데 7.4%(101만400명)가 치매 환자로 추정된다. 증상이 심해질수록 자신뿐 아니라 주변인까지 힘들어져, 치매의 전 단계인 경도인지장애를 빠르게 발견해 치료하는 게 상책이다. 그런데도 상급종합병원에서 경도인지장애 진료를 꺼리는 분위기가 감지된다. 무슨 일일까. 25일 대한치매학회는 "정부의 상급종합병원 평가에서 치매 환자 비율이 높아도 병원이 불이익을 받지 않도록 제도적 개선이 필요하다"며, 새 정부를 향해 '치매 대응 3대 정책'을 추진해달라고 촉구했다. 치매 환자와 가족들이 더 이상 고통받지 않도록 △치매 관리 상담료 수가 도입 등 치매 치료 혁신 △치매 정책 연구 활성화를 통한 'K고령화' 극복 모델 개발 △지역사회 중심 치매 환자 관리 시스템 확립 등이 이들이 내놓은 3대 정책안이다. 그중에서도 치매 치료 혁신을 위해
-
'인적분할' 삼성바이오에피스, '히든밸류' 재조명 기대…가치 높이려면
삼성바이오로직스의 인적분할로 독립 경영 체제에 돌입할 삼성바이오에피스의 향후 전략에 관심이 집중된다. 그간 위탁개발생산(CDMO) 사업을 영위하는 삼성바이오로직스의 자회사로 가려져 있던 삼성바이오에피스의 신약 개발 역량 등 '히든밸류'(숨겨진 가치)가 드러나며 삼성 바이오 사업의 확장을 좌우하는 '키'가 될 것이란 전망이 나온다. 23일 업계에 따르면 삼성바이오에피스는 오는 10월1일 삼성바이오로직스의 인적분할로 신설되는 삼성에피스홀딩스의 자회사로 편입될 예정이다. 삼성바이오로직스와 삼성에피스홀딩스는 각각의 순자산가액을 기준으로 평가해 약 65대 35의 비율로 분할된다. 이날 삼성바이오로직스의 종가 기준 시가총액은 약 72조3128억원으로, 삼성에피스홀딩스의 가치는 약 25조원으로 평가된다. 삼성바이오에피스 관계자는 "삼성에피스홀딩스로의 인적분할 및 재상장은 삼성바이오에피스의 기업 가치를 온전히 시장에서 평가받을 수 있다는 것을 의미한다"며 "삼성에피스홀딩스가 추구하는 사업의 전략
-
코스닥 상장 앞둔 GC지놈 "유전체 분석 글로벌 공략, 28년 매출 700억 자신"
액체생검 및 임상 유전체 전문기업 GC지놈이 코스닥 상장에 나선다. GC녹십자의 자회사인 이 회사는 국내 최다 수준의 진단 포트폴리오를 기반으로 설립 이후 꾸준히 외형을 성장시켜 왔다. 상장 조달 자금으로 해외 진출을 본격화 해 추가 성장은 물론, 글로벌 선도 기업 입지를 구축한다는 목표다. 기창석 GC지놈 대표는 23일 서울 여의도에서 열린 기업공개(IPO) 간담회를 통해 "상장을 통해 인공지능(AI) 기반 비침습 산전검사 'G-NIPT'와 다중암 조기 스크리닝 검사 '아이캔서치'를 중심으로 한 해외 진출에 더욱 속도를 낼 것"이라며 "이를 통해 지난해 259억원이었던 회사 매출이 보수적으로 봐도 2028년 700억원까지 확대될 것으로 보고 있다"고 말했다. GC지놈은 앞선 두 제품을 중심으로 총 300종 이상의 유전자 검사 서비스를 상급종합병원 47개소를 포함한 900개 이상의 병원에 제공 중인 국내 유전체 분석 선도 기업이다. 유전체 검사는 병원에서 채취한 환자나 건강검진 대상
-
[단독]"전공의 대표성 왜곡"…대전협, 정부 수련체계회의 구성에 항의
대한전공의협의회(대전협)가 정부의 '한국형 수련관리체계 추진 자문회의'의 자문위원 구성 기준 등 운영 방식 개선을 요구하고 나섰다. 앞서 1차 회의 당시 의료계 '강경파'인 박단 비상대책위원장이 참석하면서 의정 간 대화가 물꼬를 텄단 해석이 나왔지만, 자문회의 절차 등에 대한 의료계 내 반발이 이어지면서 '반쪽 소통'이 될 수 있단 우려가 뒤따른다. 23일 정부·의료계에 따르면 대전협은 한국형 수련관리체계 추진 자문회의 1차 회의를 마친 뒤 지난 16일 보건복지부에 '운영 관련 문제에 대한 유감 표명 및 개선 요청'이란 제목의 공문을 보냈다. 앞서 복지부는 지난 13일 대한의학회, 대한병원협회를 비롯해 박단 대전협 비대위원장을 포함한 전공의 6명과 대한내과학회·대한외과학회 등 전문학회, 한국보건사회연구원, 수련환경평가위원회(수평위) 등 관계자 21명의 자문위원으로 구성된 1차 회의를 진행했다. 자문회의는 지난해 8월 정부가 의료개혁 1차 실행방안을 통해 밝힌 한국형 수련 평가기구(
-
GC지놈, 코스닥 상장 시동…"유전체 분석 글로벌 진출 본격화"
액체생검 및 임상 유전체 전문기업 GC지놈이 코스닥 상장 절차를 본격화 했다. 300종 이상의 다양한 검사 제공이 가능한 경쟁을 기반으로 상장 후 미국과 일본 등 해외 시장 진출을 본격화 한다는 계획이다. 기창석 GC지놈 대표이사는 23일 "GC지놈은 독자적인 액체생검 기술과 임상유전체 분석 역량을 바탕으로 암 조기진단 시장의 패러다임을 바꾸고 있다"라며 "이번 상장을 통해 글로벌 탑 티어 액체생검·임상유전체 분석 선도 기업으로 도약하겠다"고 말했다. 2013년 GC녹십자의 자회사로 설립된 GC지놈은 임상유전체 분석 선도기업으로 △건강검진 검사 △산전·신생아 검사 △암 정밀진단 검사 △유전희귀질환 정밀진단 검사 300종 이상의 다양한 유전자 검사 서비스를 900개 이상의 병·의원에 제공하고 있다. 그룹사 GC셀의 물류 인프라와 연계한 1Day 검체 운송 시스템을 통해 신속한 서비스를 제공하며 경쟁 우위를 확보하고 있다. 대표 제품 'G-NIPT'는 인공지능(AI) 기반의 비침습 산
-
[단독]"중국서 몰래 들여와 10배 뻥튀기"…불법 도구 판치는 문신업계
중국에서 몰래 들여온 마취크림과 레이저 기기, 심지어 수술용 칼까지 비의료인이 사용해선 안 되는 도구가 전국 문신시술소를 '점령'한 것으로 드러났다. 22일 머니투데이 취재를 종합하면 인스타그램과 카카오톡 오픈채널 등 SNS에서 문신용 마취크림을 판매한다는 글은 어렵지 않게 찾을 수 있다. 한 온라인사이트에선 '통방제'(통증 방지제를 뜻한 것으로 추정) 전문 20년차라며 자신을 소개한 한 판매자가 마취크림을 광고했다. 이 판매자는 "100% 효과 없을 시 200% 환불"이라며 "현지 공장 안전 직구(직접구매)"라고 안내했다. 그가 판매한다는 제품은 '태그(#)45'와 '울트라타투크림'으로, 현재 전국 문신 시술소에서 가장 널리 사용되는 마취크림이다. 국내에서 마취크림은 정부의 엄격한 통제 하에 대부분 전문의약품으로 관리되며, 일반의약품은 남성 사정 지연용에 한해 1종만 나와있는 정도다. 그런데 어떻게 마취크림이 비의료인 사이에서 유통·판매되는 걸까. 기자는 '통방제'의 유통 과정을
-
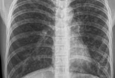
"폐암 검사 아냐?" 오히려 조기 발견 방해…환자단체 목소리 내는 이유
폐암 환자단체가 흉부 X선 검사로는 암을 조기 발견할 수 없다며 인공지능(AI) 진단 보조 시스템의 도입, 저선량 흉부 CT 검사 대상 확대 등을 국회에 공식 요청했다. 오히려 흉부 X선 검사를 받았다고 안심하는 것이 폐암 진단을 방해할 수 있다고 했다. 실제 보건복지부는 환자단체 등의 주장을 수용해 올해부터 국가건강검진 결과지에 "흉부 X선은 폐암 선별 검사가 아니다"는 문구를 삽입했다. 하지만 이런 사실을 모르는 사람이 의외로 많다. 한국폐암환우회는 전날 국회 보건복지위원회 소속 더불어민주당 김윤 의원에게 폐암 검진 사각지대 해소를 위한 정책 제안서를 전달했다고 21일 밝혔다. 이 자리에서 조정일 폐암환우회장은 "현재 2년마다 진행되는 건강검진에 포함된 흉부 X선만으로는 폐암을 조기에 발견할 수 없다"고 지적했다. 이어 "오히려 흉부 X선 검사로 폐암 발견이 가능할 것이라는 오해가 조기 진단을 막는다"며 △흉부 X선 검사에 AI 판독 보조 시스템의 도입과 접목 △흡연력 외에 폐