-
중금속 든 중국산? 독감 무료백신 루머에 '철렁'…"맞아도 되나요?"
전무후무한 독감(인플루엔자) 유행과 맞물려 독감 백신에 대한 '인포데믹'(정보(information)와 전염병(epidemic)의 합성어로 잘못된 정보의 확산을 뜻함) 현상이 함께 관찰되고 있다. 독감 백신에 대한 효과와 부작용을 비롯해 비용 부담에 따른 품질 차이, 제조 국가별 효능 차이까지 수많은 정보가 난립하며 올바른 선택을 방해하는 상황이다. 백신 접종 선택에 도움이 되는 정보를 의정부을지대병원 감염내과 정경화 교수와 손효주 교수, 식품의약품안전처, 대한의사협회의 도움으로 정리했다. ━Q. 국산과 수입 제품은 다르다? ━NO. 독감 백신은 전 세계 백신 제조사가 세계보건기구(WHO)로부터 똑같이 바이러스를 배분받아 배양, 생산한다. 주성분인 바이러스도 똑같고 함량 기준도 동일하다. 생산 방식(유정란, 세포 배양)과 면역증강제 포함 등 세부적인 차이는 있지만 임상적인 효과는 비슷한 것으로 알려졌다. 독감을 일으키는 독감 바이러스는 매년 유행하는 종류가 다르다. 달라진 바이러스
-
스마트폰의 반전…노인들이 쓰면 우울증 없고 '뇌' 건강해
컴퓨터나 스마트폰, 태블릿PC를 이용해 정보를 검색하고 문자나 카카오톡을 보내거나 영상을 찾아보는 등 디지털 기기를 더 능숙하게 다루는 노인이 우울증 위험이 낮고 인지기능은 높다는 연구 결과가 나왔다. 아주대병원 정신건강의학과 연구팀(노현웅 교수, 홍선화·남유진 연구교수, 가천대 의대 홍재우 학생)은 2020년 노인실태조사 자료를 이용해 총 7988명의 노인의 '디지털 문해력'을 조사한 결과 이 같은 사실을 확인했다고 19일 밝혔다. 디지털 문해력은 컴퓨터뿐 아니라 스마트폰, 태블릿, 키오스크 등 모든 디지털 전자기기를 활용하는 능력을 의미한다. 연구팀은 대상자를 △소통(메시지 송신 및 발신) △정보(뉴스나 날씨 등 검색) △미디어(음악이나 유튜브 등 콘텐츠 시청) △ 전자금융(은행 업무 및 전자 상거래) 등 크게 4개 기준을 적용해 평가하고 단축형 노인 우울 척도(SGDS-K)와 인지기능을 판단하는 간이정신상태검사(MMSE-DS)를 활용해 우울증, 인지기능과 연관성을 비교했다.
-
뷰노, 뇌 영상 판독하는 AI '뷰노메드 딥브레인' 기술 특허 등록
의료 인공지능(AI) 기업 뷰노가 AI 기반 뇌 정량화 의료기기인 '뷰노메드 딥브레인' 관련 기술 2건에 대한 특허가 등록 결정됐다고 19일 밝혔다. 뷰노메드 딥브레인은 딥러닝을 기반으로 뇌 MRI 영상을 분석해 뇌 영역을 100여개 이상으로 분할(parcellation)하고 각 영역의 위축 정도를 정량화한 정보를 1분 내 제공하는 AI 의료기기다. 이를 통해 의료진의 알츠하이머병, 혈관성 치매 등 주요 퇴행성 뇌 질환으로부터 비롯되는 치매 진단을 돕는다. 또한 경도인지장애에서 치매로 진행할 가능성이 높은 환자를 미리 선별하는 데 기여할 수 있다. 이번 등록 결정된 해당 제품 관련 2건의 특허는 각각 뇌 위축 정보의 정확도 향상과 혈관성 치매 진단을 돕는 기술이다. 먼저 'ICV 영역분할 정보를 출력하는 방법'은 딥러닝 학습을 통해 두개강 내 전체 용적을 의미하는 ICV(Intra-Cranial Volume)를 정확하게 분할(segmentation)하는 기술이다. 이를 통해 환자마다
-
추워진 날씨, 독감주사 아직 안 맞았다면…"11월까진 접종해야"
이달부터 면역력이 약한 고위험군을 대상으로 독감(인플루엔자) 예방접종이 진행되고 있다. 어린이(생후 6개월 이상 12세 이하)와 노인(만 65세 이상)은 국가에서 무료로 독감 백신을 접종받을 수 있다. 노원을지대병원 호흡기알레르기내과 전다솜 교수는 "우리나라는 주로 겨울부터 이른 봄에 독감이 유행하는데 독감 백신에 따른 면역력은 접종 후 약 2주 뒤부터 생기기 때문에 늦어도 11월까지는 예방접종을 맞는 것이 바람직하다"며 "일반 감기에 비해 독감은 특히 폐렴과 같은 합병증이 나타나는 경우가 많아 어린이나 노인, 만성질환자의 경우 독감 예방접종을 하는 것이 안전하다"고 강조했다. 독감 백신을 맞으면 감기도 예방할 수 있다고 오해하는 경우가 있다. 독감과 감기가 다른 병이라지만 모두 '호흡기 감염병'이라는 점에서 백신이 조금이나마 도움이 되지 않을까 기대(?)하기도 한다. 결론부터 말하자면 원인이 되는 바이러스 자체가 다르므로 독감 예방 접종을 맞는다고 해서 감기를 막을 수 있는 건 아
-
"갑자기 부산 가라고?"…서울백병원 문 닫자 교직원 절반 짐 쌌다
지난 8월 31일 자로 폐원(진료 종료)한 서울백병원의 의사(전임교원), 간호사, 행정직원 등 교직원 절반가량이 퇴사한 것으로 나타났다. 18일 학교법인 인제학원에 따르면 지난 8월 1일 기준 서울백병원 교직원 총 362명 가운데 45%가량인 165명이 사직서를 제출한 것으로 확인됐다. 상계·부산·해운대 등 '형제 병원'으로 전보되기 한 달 전 기준으로 실제 퇴사자는 절반을 웃돌 것으로 예상된다. 이사회가 서울백병원 폐원 안을 가결한 지 40여 일 만에 절반가량이 병원을 떠난 것이다. 사직자 중 수도권(일산·상계백병원)과 부산(부산·해운대백병원)으로 전보된 비율은 비슷하다고 인제학원은 밝혔다. 형제 병원으로 자리를 옮긴 교직원 역시 전체 197명 중 96명(49%)은 수도권, 101명(51%)은 부산지역으로 발령받았다. 의사의 경우 전임교원 27명 중 6명이 사표를 냈다. 다른 병원으로 전보 조처된 21명 중 수도권은 12명, 부산으로 9명이 발령받아 지난 16일부터 진료를 시작했
-
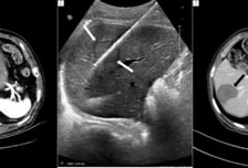
"열·전기로 암세포 파괴" 매년 3000여건 시행…재발·전이암에 큰 효과
암 치료의 지평이 넓어졌다. CT나 초음파 영상을 보며 전극(냉각)침· 안테나를 종양에 찌른 뒤 에너지를 주입해 암세포를 없애는 '국소 암 절제술'이 수술, 항암, 방사선 치료와 시너지 효과를 내며 암 환자의 새로운 치료 선택지로 부상하고 있다. 국소 암 절제술은 현재 간암, 신장암, 폐암에 국한해 적용 대상이 제한적이긴 하지만 수술에 버금가는 효과를 보이는 것으로 보고된다. 특히 간암(원발성 혹은 대장암으로부터 전이, 3cm 이내, 3개 이내)은 수술과 거의 대등한 치료 성적을 보인다. 신장암 역시 로봇·복강경 수술과 비교해 치료성적은 비슷하면서도 환자 부담이 적어 의료진의 환영을 받는다. 임상 현장에서는 열, 냉각, 전기 등 다양한 종류의 에너지원이 암세포를 죽이거나 사멸시키는 데 이용되고 있다. 고주파 절제술(Radiofrequency ablation)와 극초단파 절제술 (Microwave ablation)는 열에너지를, 냉동 절제술 (Cryoablation)은 냉각 에너지를,
-
천재 물리학자 괴롭힌 '루게릭병'…근육보다 '이것' 감소증이 더 위험
천재 물리학자 스티븐 호킹 박사가 앓았던 병으로 대중에게 알려진 '루게릭병'은 뇌와 척수의 운동신경세포가 점차 파괴되는 치명적인 신경 퇴행성 질환이다. 초기 팔다리에서 시작해 발병한 후 2~5년이 지나면 운동신경과 근육이 말라 호흡조차 어려워 자칫 사망에 이를 수 있다. 우리나라는 연간 약 500명의 루게릭병 환자가 발생한다. 호킹 박사처럼 50년 넘게 생존하는 경우도 있지만 평균적으로 삶의 시간은 그리 길지 않아 현재 총환자 수는 3000여 명에 그치는 것으로 보고되고 있다. 루게릭병 환자 중에서도 특히 체중이 빠르게 감소하거나 체질량지수(BMI)가 낮은 경우는 예후가 더욱 불량하다. 그러나 근육과 체지방의 무게를 함께 반영하는 BMI로는 근육 감소와 체지방 감소 중 어느 지표가 루게릭병 예후에 영향을 미치는지 구분하기가 어려웠다. 영양 관리 등에 활용되는 만큼 환자 관리에 매우 중요한 문제였다. 이에 서울대병원 신경과 최석진·성정준 교수, 영상의학과 이종혁·윤순호 교수 공동 연
-
고려대의료원·GE헬스케어, '스마트 병원' 구축 MOU 체결
고려대의료원이 지난 17일 고려대 메디사이언스 파크에서 GE헬스케어 코리아와 스마트 병원 구축을 위한 업무협약을 체결했다고 18일 밝혔다. 협약식에는 고려대의료원의 윤을식 의무부총장, 손호성 의무기획처장, 김학준 의학연구처장과 엘리 샤일롯(Elie Chaillot) GE헬스케어 인터컨티넨탈 지역 총괄 사장, 김은미 GE 헬스케어 한국 대표이사 사장 등이 참석해 디지털 및 AI 적용을 통한 환자 중심의 스마트 병원 구축에 협력 의지를 다졌다. 이번 협약을 통해 양 기관은 새로운 진단, 치료, 모니터링 기술 개발 및 적용을 위한 연구 개발에 협력하기로 했다. 고려대 안암·구로·안산병원을 스마트 병원 연구 및 개발을 위한 거점으로 정하고 의료 장비를 실제 임상 환경에서 연구·개발함으로써 진단, 치료 및 모니터링을 연결하는 최적화된 디지털 시스템 구축을 지원한다. 또한 고려대의료원 전공의 및 임상 직원을 대상으로 MR, CT, 초음파 등 영상 의료 장비에 대한 교육 프로그램을 공동으로 연
-
세 달간 집중 치료받던 0.65㎏ 이른둥이…"이제 운동장도 뛰어요"
8살 A군은 0.65㎏으로 태어난 이른둥이였다. 세브란스 어린이병원 신생아집중치료실에서 세 달간 치료받았다. 이후에도 영양팀과 소아청소년과, 재활의학과 등 의료진의 성장 발달 상담을 꾸준히 받았다. 부모도 심리 상담을 통해 불안감을 해소하고 육아에 전념할 수 있었다. A군의 키는 몇 년 새 훌쩍 컸고 친구들과의 관계도 원만하다. 지난 14일 세브란스 어린이병원이 이른둥이로 태어난 아이와 가족을 초청해 연 '홈커밍데이'에서도 A군은 땀을 흘리며 공놀이를 즐기는 등 건강한 모습으로 운동장을 누볐다. 이른둥이는 임신주수 37주 미만으로 태어난 아이를 말한다. 신체 발달이 더디기에 만삭으로 출생한 아이들보다 성장, 면역, 발달 등에서 취약할 수 있다. 이른둥이 부모들은 아이들의 질환 관리와 양육을 동시에 해야 한다는 부담감이 있다. 퇴원 후에도 이른둥이와 그 부모들에게 의료진의 지속적인 관리와 관심이 필요한 이유다. 세브란스 어린이병원 신생아과는 부모의 불안감을 달래고 이른둥이의 건강한
-
노인 44%가 '잠복 결핵'…"조기 진단·치료 강화해야" 전문가 제언
우리나라는 OECD(경제협력개발기구) 국가 중 결핵 발생률 1위다. 여전히 매년 1000명 이상이 결핵으로 사망한다. 지금까지는 발생률이 꾸준히 감소했지만, 코로나19(COVID-19) 방역 조치 완화에 따라 65세 이상 환자가 급증하면서 올해는 12년 만에 결핵 환자가 증가세로 돌아설 수 있다는 우려가 제기되고 있다. 이런 가운데 우리나라의 결핵 퇴치를 위해서는 '잠복 결핵' 관리에 보다 적극적인 예산·인력 투자가 필요하다는 전문가 제언이 나왔다. 잠복 결핵은 결핵균에 감염됐지만 감염을 일으키지는 않는 상태로, 면역력이 떨어지면 언제든 활동성 결핵으로 발현돼 감염자를 양산할 수 있다. 눈 앞에 드러난 결핵과 더불어 숨은 '잠복 결핵'을 조기에 잡아야 결핵 발병률 1위의 '오명'을 해소할 수 있다는 의견이다. 퀴아젠코리아는 17일 오전 앰배서더 서울 풀만에서 잠복 결핵 진단 검사 제품인 '퀀티페론-TB 골드(플러스)'의 국내 출시 10주년을 맞아 기자간담회를 열고 결핵 퇴치를 위한
-
수술 없이 암세포 태우고, 얼리고…요즘 이런 '암 치료법' 뜬다
수술, 항암, 방사선에 이어 '국소 암 절제술'이 제4의 암 치료법으로 부상하고 있다. 열·전기 등 다양한 종류의 에너지원을 암세포에 직접 쏴 종양을 제거하는 방식이다. 간암 등 일부 암에서는 수술만큼 뛰어난 치료 성적을 나타낸다. 이외에 신장암, 폐암 등에서도 기존 치료법의 한계를 상호보완하며 암 환자의 생명 연장을 이끄는 '새로운 무기'로 주목받는다. 현재 임상에서는 열, 냉각, 전기 등 다양한 종류의 에너지원이 암세포를 죽이는 데 활용되고 있다. 고주파 절제술(Radiofrequency ablation)과 극초단파 절제술(Microwave ablation)은 열에너지를, 냉동 절제술(Cryoablation)은 냉각 에너지를, 전기천공술(Irreversible electroporation)은 전기 에너지를 이용한다. 최근 열로 종양을 치료하는 고주파(극초단파) 절술 850례를 달성한 여의도성모병원 영상의학과 정동진 교수는 "외과, 내과, 방사선종양학과, 영상의학과 등 관련 진료
-
고대의대-대웅제약 '근육 호르몬' 연구 맞손…마이오카인 융합연구센터 개소
고려대 의과대학이 지난 13일 문숙의학관 1층 윤병주홀에서 선도연구센터 '마이오카인 융합연구센터' 개소식을 개최했다고 16일 밝혔다. 마이오카인 융합연구센터는 근육에서 분비되는 호르몬인 '마이오카인'의 통합연구를 통해 임상 활용 가능성이 큰 제어 기술 개발을 목표로 한다. 고대 의대 기초·고대병원 임상 교수와 대웅제약이 함께 연구팀을 이뤄 △ 시스템 구축 및 발굴 △ 모델 기반 효능 검증 △ 임상 평가 및 기술 사업화 등을 수행한다. 신규 마이오카인 발굴, 기전 규명 및 임상적 효용성 검증을 통해 근감소증과 대사질환 등 근육과 직접 관련된 질병뿐만 아니라 암, 노화, 퇴행성 뇌 질환 및 패혈증까지 적응증을 확대해 제어 기술을 개발할 계획이다. 이날 행사에는 고려대 김동원 총장, 윤영욱 의과대학장, 유임주 BK 사업단장, 박준석 대웅제약 신약센터장 등 연구자 및 유관기관 관계자 50여 명이 참석했다. 김동원 총장은 축사를 통해 "마이오카인 통합연구는 운동 대체 기술개발을 위한 생물학