[박정렬의 신의료인]국소 암 절제술②
수술·항암·방사선 한계 보완하는 최소침습 치료
도입 20년 넘어…연간 3000~3500건 시행
간암, 신장암, 폐암서 기존 치료 못잖은 성과
환자 부담 적어 고령·재발·전이암 반복 치료 가능
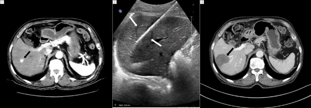
암 치료의 지평이 넓어졌다. CT나 초음파 영상을 보며 전극(냉각)침· 안테나를 종양에 찌른 뒤 에너지를 주입해 암세포를 없애는 '국소 암 절제술'이 수술, 항암, 방사선 치료와 시너지 효과를 내며 암 환자의 새로운 치료 선택지로 부상하고 있다. 국소 암 절제술은 현재 간암, 신장암, 폐암에 국한해 적용 대상이 제한적이긴 하지만 수술에 버금가는 효과를 보이는 것으로 보고된다. 특히 간암(원발성 혹은 대장암으로부터 전이, 3cm 이내, 3개 이내)은 수술과 거의 대등한 치료 성적을 보인다. 신장암 역시 로봇·복강경 수술과 비교해 치료성적은 비슷하면서도 환자 부담이 적어 의료진의 환영을 받는다.
임상 현장에서는 열, 냉각, 전기 등 다양한 종류의 에너지원이 암세포를 죽이거나 사멸시키는 데 이용되고 있다. 고주파 절제술(Radiofrequency ablation)와 극초단파 절제술 (Microwave ablation)는 열에너지를, 냉동 절제술 (Cryoablation)은 냉각 에너지를, 그리고 전기천공술 (Irreversible electroporation)은 전기 에너지를 이용한다.

열은 암세포를 죽이는 가장 확실한 방법이지만 혈관이나 주변 장기 손상을 유발할 수 있다는 단점은 있다. 냉각은 시술 중 통증이 적고 주변 장기 손상을 최소화할 수 있지만 치료 범위가 제한적이다. 전기는 종양에 고전압을 통과시켜 암 세포막에 미세한 구멍을 뚫어 자연 사멸을 유도하는 방식이다. 방사선 치료와 비슷하게 생각할 수 있지만 사용하는 에너지가 다를뿐더러 이를 전달하는 침이나 안테나 등을 종양 내로 직접 삽입해야 해 의사의 풍부한 경험이 필수적이다.
국소 암 절제술은 여의도성모병원, 서울대병원, 삼성서울병원, 서울아산병원 등 국내 주요 대학병원에서 환자 치료에 쓰이고 있다. 국내 도입된 지는 20년이 넘었고 매년 3000~3500건의 시술이 이뤄지고 있다. 수술처럼 피부·장기를 절개하지 않고, 항암제처럼 전신에 영향을 미치지 않아 회복이 빠르고 환자 부담이 적다는 장점이 가장 크다. 고령의 암 환자가 늘고 재발·전이암 사례가 증가하면서 향후 더 많은 환자에게 국소 암 절제술이 적용될 것으로 전망되고 있다. 최근 국소 암 절제술 850례를 달성하며 최소 침습 암 수술 활성화에 매진하고 있는 여의도성모병원 영상의학과 정동진 교수의 도움말로 국소 암 치료술의 종류와 원리, 효과 등을 정리했다.

전기 에너지를 열에너지로 바꿔 종양을 없애는 고주파 절제술은 대표적 고열 치료법 중 하나다. 전극침을 CT나 초음파 장비 유도 하에 종양에 위치시킨 후 교류 전류(350kHz-500kHz)를 주면, 극성을 띤 물 분자가 전류의 방향 변화에 따라 빠르게 진동하고 마찰을 통해 열에너지가 생성돼 암세포를 파괴하는 방식이다. 10분간 작동시키면 약 3~4cm의 범위를 치료할 수 있어 종양의 크기가 3cm, 개수가 3개 이내인 경우 적합하다. 그 이상일 때도 전극침을 여러 개 쓰거나 위치를 바꿔 여러 번 적용할 수 있다. 반면 열에너지를 사용하기 때문에 치료 시 통증이 심해 수면 내시경을 할 때보다 강력한 정맥 마취와 환자 모니터링 등 치료 환경이 갖춰져야 한다. 종양 크기가 크거나, 통증을 참기 어려워하는 환자에게는 전신마취를 시행하기도 한다.
극초단파 절제술은 고주파 절제술과 원리와 치료 방식이 비슷하다. 전류를 사용하는 대신 더 높은 주파수(2.4 GHz)의 전자기파를 '안테나'라 불리는 침에 주어 물 분자를 진동시키고 조직을 가열한다. 전자레인지도 극초단파를 발생해 음식을 가열하는 데 이와 동일한 원리다. 고주파보다 더 빠른 시간에 더 높은 열을 생성할 수 있어 상대적으로 짧은 치료 시간에 효과적으로 종양을 제거할 수 있다. 고주파보다 치료범위가 넓고 혈관에 인접한 종양에도 효과적이다. 현재까지 연구에서 고주파 절제술과 비교해 5년 생존율도 비슷한 것으로 보고되고 있다.
독자들의 PICK!

냉동 절제술은 열 대신 냉각 에너지를 사용해 종양이나 이상 부위를 치료하는 방법이다. 전극침 속으로 액체 아르곤이나 질소를 주입해 주변 조직을 냉각하고 동결시킨다. 동결된 세포 내 수분은 부피가 확장하면서 세포에 손상을 입히고, 다시 해동하는 과정을 거치면서 치료 효과가 증폭된다. 동결과 해동의 과정을 여러 차례 반복하면서 암세포가 파괴된다. 냉동 절제술의 장점은 통증이 적다는 점으로 피부 마취만으로 시술이 가능하다. 화상보다 동상이 통증이 적은 것과 같다고 보면 된다. 주변의 장기 손상으로 인한 합병증 위험도 상대적으로 적다. 반면 치료 범위가 고주파나 극초단파 절제술보다 제한적이고 시술 비용이 많이 든다는 단점이 있다.
전기 천공술은 전기 에너지를 사용해 세포막을 파괴하는 치료 방법이다. 전극침을 통해 3000v 가량의 고전압 펄스를 종양에 직접 가해 암 세포막에 미세한 구멍을 내서 암세포의 자연 사멸을 유도한다. 열은 전극침에 닿는 부위에서만 제한적으로 발생해 주변 조직 손상을 걱정하지 않아도 된다. 강한 전압이 걸리기 때문에 근육이 수축하고 심장박동에도 영향을 미칠 수 있어 반드시 전신마취 하에 시행한다. 전기 천공술은 주로 종양 주변에 중요한 구조물을 보호해야 하는 경우, 예를 들어 주변에 위, 십이지장, 담도 등 주요 장기가 많은 췌장암에서 주로 사용된다. 보건복지부 신의료기술로 지정돼 인정 비급여(시술은 합법적으로 가능하지만 건강보험은 적용되지 않는 상태)로 비용이 가장 비싸다.