-
"당뇨병 진행 늦춘다"…세포 노화 잡았더니 '놀라운 효과'
인슐린을 만들어내는 세포가 늙지 않게 해 당뇨병 진행을 늦출 수 있는 새로운 전략을 서울대병원 의료진이 찾아냈다. 이번 성과는 당뇨병 치료 패러다임을 확장할 수 있는 잠재력을 보여준다는 점에서 눈길을 끈다. 췌장 베타세포는 인슐린을 만들고 내보내는 '인슐린 공장'이다. 그런데 췌장 베타세포의 기능이 떨어졌거나(2형 당뇨병) 아예 사라진 것(1형 당뇨병)이 당뇨병이다. 특히 나이가 들면서 베타세포가 늙으면(세포 노화) 겪으면 인슐린 분비 능력이 떨어지고, 이 과정이 당뇨병 발생·진행에 중요한 역할을 한다. 그러나 지금까지 세포 노화를 직접 조절하는 치료 전략은 거의 없었다. 서울대병원 내분비대사내과 조영민 교수팀(제1저자 공병수 박사)은 미토콘드리아 DNA에서 발현되는 펩타이드인 'MOTS-c'의 가능성에 주목했다. MOTS-c는 2007년 서울대병원과 일본 도쿄노인종합연구소가 함께 처음 발견한 물질로, 수명과 당뇨병 발병 위험 조절과 관련된 영역에서 유래했다. 이후 MOTS-c가 포
-
'곰팡이 천지' 미 구금시설서 5일째…"중장년 흔한 병, 약 챙겼어도 위험"
한국인 300여명이 미국 내 열악한 구금시설에 머무른 지 5일째에 접어들면서 수감자들의 건강 관리에 대한 우려의 목소리가 커진다. 특히 매일 약을 챙겨 먹어야 하는 만성질환을 앓아왔다면 이번 구금 기간, 병이 더 악화할 위험 요소가 곳곳에 도사린다고 전문의들은 경고한다. 8일 고려대구로병원 가정의학과 박효진 교수는 기자와의 통화에서 " 현재 수감자 가운데 중장년층 남성이 상당수로 보인다"며 "이들에게 가장 흔한 만성질환인 고혈압·당뇨병·고지혈증 등은 매일 약을 챙겨 먹어야 하는 대표적인 질환"이라고 설명했다. 앞서 지난 4일(현지시간), 미국 이민세관단속국(ICE)과 국토안보수사국(HSI)이 미국 조지아주 서배나 현대차-LG에너지솔루션 배터리 공장 건설현장에서 대대적인 불법체류자 단속을 실시하면서 체포된 한국인들은 현재 조지아주 포크스턴의 ICE 구금시설에 수용됐다. 대처할 시간도 없이 체포된 이들이 구금시설 내에 약을 가져갔는지 여부는 확인되지 않았다. 약을 가져갔어도, 가져가지
-
'위암 환자' 많은 한국, 식습관이 문제…"이것 먹으면 위험 줄었다"
위암을 일으키거나 막는 식습관과 생활습관이 과학적으로 규명됐다. 고려대안암병원 위장관외과 박성수 교수가 위암 예방을 위한 대규모 데이터 분석 연구결과를 발표하면서 국내외 관심을 끈다. 위암은 전 세계적으로 높은 사망률을 보이는 주요 암 중 하나로 특히, 한국을 비롯한 아시아 지역에서 발병률이 높다. 동아시아에서 나타나는 특이적 식습관과 유전적 요인이 주요 원인으로 지목되나, 이는 위암 발병률이 낮은 서양인과의 비교 연구에서 확인된 사실에 그쳐 위암 발생의 명확한 위험요인과 예방 방안에 대한 근거는 부족한 상황이었다. 이에 박성수 교수 연구팀은 국제 의학 데이터베이스(PubMed, Embase, Cochrane 등)에 실린 논문 507편을 모두 분석해 식이·생활습관, 환경, 약물, 감염, 유전 등 139개 요인이 위암 발생과 예방에 미치는 영향을 다각도로 확인했다. 연구 결과, 헬리코박터 파일로리균(H.pylori)에 감염되면 위암 발생 위험을 약 2배 높였으며, 과음은 1.5~2.2
-
'변비 특효 푸룬' 매일 10알 먹은 남성, 뜻밖의 효과 '이곳' 굵어졌다
서양의 자두를 말린 게 푸룬(Prune)이다. 그간 한국에선 푸룬을 먹으면 쾌변을 본다고 해 '천연 변비 치료제'로 알려졌다. 그런데 푸룬을 10알(100g)씩 1년간 꼬박 챙겨 먹은 남성의 뼈가 튼튼해졌다는 사실이 미국 연구에서 입증됐다. 푸룬 섭취 효과를 입증하기 위해 남성을 대상으로 진행한 연구는 이번이 처음이다. 미국 샌디에이고 주립대 연구팀은 남성의 뼈 건강에 푸룬이 미치는 영향을 규명하기 위해 50~79세의 남성 66명을 두 그룹으로 나눠 한 그룹은 푸룬을 매일 100g씩 1년간 먹게 했고(섭취군) 다른 한 그룹은 같은 기간 푸룬을 먹지 않게 했다. 연구팀은 연구를 시작한 직후(0개월), 3개월, 6개월, 12개월째에 이들의 혈액 샘플을 수집해 골밀도(BMD)와 뼈 강도를 측정했다. 그랬더니 푸룬 섭취군에서는 타르트레이트 저항성 산성 인산분해효소-5b(TRAP5b)와 C-말단 콜라겐 교차결합(CTX) 수치가 3개월, 6개월, 12개월에 걸쳐 유의적으로 감소했으나 대조군에서
-
등산하다 식은땀에 힘이 쭉…"쉬었더니 좀 낫네" 넘어가면 안 되는 이유
일교차가 크고 건조한 가을로 접어들고 있다. 본격적인 가을을 앞두고 등산을 계획하는 사람도 많아지는데, 적절한 준비 없이 산행하면, 안전사고와 응급질환 위험도 함께 높아질 수 있어 주의해야 한다. 가장 먼저 점검해야 할 건 '자신의 건강 상태'다. 평소 고혈압·당뇨병·고지혈증 등의 만성질환, 협심증 등 심혈관질환, 천식·알레르기가 있는 경우 사용 중인 약물을 평소대로 챙긴다. 특히 당뇨병 환자의 경우 저혈당을 막기 위해 가벼운 간식과 물, 전해질 음료를 지참하고 평소 혈당 조절이 불량한 경우 (예: 공복혈당 300㎎/㎗ 이상) 등산은 피하도록 하며 식사 1시간 후 (혹은 인슐린 투여 1시간 후)에 등산을 시작하도록 한다. 고혈압 환자에서 평소 혈압 조절이 안 된다면 (예: 180/100㎜Hg 이상) 등산보다는 산책이 좋겠고 평소 가벼운 조깅이 가능한 심혈관 질환자들만 등산을 선택하는 것이 좋겠다. 기온 변화에 대응할 수 있도록 얇은 옷을 겹쳐 입는 것이 좋고, 땀 배출이 잘되는 기능
-
"기안84, 달리기 자세가" 걱정 사더니 결국…러닝 후유증 막으려면
방송인 겸 웹툰작가 '기안84'(본명 김희민)가 MBC와 함께 마라톤 관련 예능 '극한84'를 제작한다는 소식이 알려져 화제다. 그는 인기 예능프로그램인 '나 혼자 산다'에서 끊임없는 러닝(달리기) 사랑을 보여주며 대중의 호응을 얻었다. 특히 최근에는 가수 '션'과 함께 새벽 한강변을 러닝하는 모습이 방송을 타면서 시청자의 시선을 끌기도 했다. 지난해엔 '세계 6대 마라톤'으로 손꼽히는 뉴욕 마라톤 대회에 참가하는 등 러닝에 진심인 모습으로, 코로나19 이후 기안84가 '러닝 붐'에 일조했다는 평가를 받는다. 하지만 기안84가 보여주는 달리기 자세는 보는 이들이 관절건강을 걱정하게 할 정도다. 그 역시 마라톤 풀코스 도전 이후 인터뷰를 통해 완주 후 무릎 건강이 나빠졌다고 밝히기도 했다. 규칙적인 러닝은 심장과 폐 기능을 향상하고 체지방, 중성지방, 인슐린 요구량 등을 줄여 고혈압, 비만, 각종 암 발생률을 떨어뜨린다. 하지만 충분한 준비운동이나 갑자기 무리하게 러닝을 하게 되면 무
-
아침마다 마시는데…"여성만 당뇨병 예방 효과" 국내 연구결과
성인 여성이 블랙커피(아메리카노·에스프레소)를 매일 2잔 이상 마시면 당뇨병 예방에 도움받을 수 있음을 시사하는 연구 결과가 국내에서 나왔다. 블랙커피를 2잔 이상 마신 여성의 '인슐린 저항성' 위험이 커피를 마시지 않는 여성보다 30% 가까이 낮았다. 인슐린 저항성이란, 인슐린이 잘 작동하지 않아 혈당 조절이 어려운 상태를 가리킨다. 췌장에서 인슐린 분비 자체에 문제가 생기거나, 분비된 인슐린이 제대로 활용되지 못하는 게 원인이다. 당뇨병 환자에게 인슐린 저항성이 나타나는 이유다. 경희대 식품영양학과 제유진 교수팀이 2019~2021년 국민건강영양조사에 참여한 성인 남녀(19~64세) 7453명을 대상으로 커피 섭취와 인슐린 저항성의 상관성을 분석한 결과 이같이 드러났다. 이 연구결과(한국 성인의 커피 섭취와 포도당 대사 지표의 관련성)는 영양학 분야 국제 학술지인 '뉴트리언츠'(Nutrients) 최근호에 실렸다. 제유진 교수팀은 연구 대상자를 섭취한 커피 종류(블랙커피, 설탕
-
"김정은 먹는 약, 암 유무까지 들킨다"…배설물·꽁초 꽁꽁 숨긴 이유
김정은 북한 노동당 총비서 겸 국무위원장이 중국 베이징을 방문한 가운데, 이번에도 '전용 화장실'이 그의 해외 순방길에 동행했다. 앞서 2일 일본 닛케이신문은 김정은이 이용한 전용 열차에 건강 상태를 추적하거나 암살로 이어질 수 있는 생체 정보 유출을 차단하기 위한 특수 장비가 설치돼 있다고 한국·일본 정보기관 소식통을 인용해 보도했다. 또 김정은이 북한 내 군 관련 시설이나 국영 공장을 시찰할 때도 전용 화장실과 개인 욕실을 차량에 실어 이동한다고 전했다. 북한당국은 과연 김정은의 배설물과 체액 속 어떤 생체정보를 숨기기 위해 이토록 극도의 보안 태세를 유지하는 걸까. 대한대장항문학회 정순섭 이사장(이대목동병원 외과)은 3일 기자와의 통화에서 "만약 김정은의 대변이 외부로 유출된다면 당장은 대변 찌꺼기로 그가 먹은 음식, 복용하는 약물을 알아낼 수 있다"며 "혈변을 보는지, 장에 염증이 있는지, 암이 있는지 등도 알 수 있을 것"이라고 말했다. 대변도 색깔(선홍색 )에 따라 추정할
-
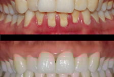
감기보다 많이 걸리는 입속 '국민질환'…고혈압·치매 위험까지
치주질환(잇몸병)은 자칫 가볍게 여겨질 수 있지만 잇몸 통증·출혈, 지속적인 입 냄새 등으로 일상 속에서 불편함과 스트레스를 유발할 수 있다. 특히 치주질환은 고혈압·당뇨병·치매 등 다양한 만성 질환과 연관돼 있어 잇몸 관리에 철저해야 한다. 건강보험심사평가원의 다빈도 상병 통계자료에 따르면 2019년 이후 '치은염 및 치주질환' 환자 수는, 줄곧 1위였던 급성 기관지염을 밀어내고 우리나라에서 가장 흔한 '국민질환' 자리를 차지했다. 잇몸병으로 병원을 찾는 환자 수가 감기보다 많다는 뜻이다. 치주질환은 치아를 둘러싸고 있는 붉은 잇몸뿐 아니라, 그 아래에서 치아를 지지해 주는 조직(잇몸뼈·백악질·치주인대)에 나타나는 질환을 두루 일컫는다. 흔히 치은염·치주염으로 구분하며, 초기에는 가볍게 피가 나는 정도에 그치지만, 흔히 '풍치'라고 부르는 중증 만성 치주염의 경우 잇몸뼈가 녹아 치아가 흔들리고, 심하면 치아가 빠지는 무서운 질환이다. 치주질환은 단순히 구강만의 문제가 아니다. 치주
-
'주륵주륵' 물 밖에 안 나와…설사, 지사제부터 먹으면 더 위험해요
설사는 누구나 흔히 겪을 수 있으며 대개 일시적으로 지나가 가볍게 여기기 쉽다. 그러나 증상이 반복되거나 심해질 경우 탈수와 전해질 불균형 등 심각한 건강 문제로 이어질 수 있다. 특히 면역력이 약한 노약자나 기저질환 환자에게는 매우 위험할 수 있어 정확한 진단과 원인에 맞는 치료가 필수적이다. 강동경희대병원 소화기내과 최형일 교수의 도움말로 설사의 주요 증상과 치료법을 살펴본다. ━하루 3번 이상 묽은 변 본다면 치료해야━설사는 일상에서 누구나 흔히 겪을 수 있는 증상이란 점에서 단순히 배탈로 치부하고 넘어가기 쉽다. 하지만 증상이 반복되거나 장기간 이어질 경우, 단순한 소화 불량이 아닌 심각한 장 질환의 신호일 수 있다. 하루 3회 이상 묽은 변을 보거나, 대변량이 하루 250g 이상 증가했다면 치료해야 하는 병적인 설사로 봐야 한다. 대변의 농도도 중요한 치료 기준인데, 병적 설사는 정상 변보다 수분 함량이 많아 묽거나 물에 가까운 상태로 배출된다. 특히 증상이 2주 이내면 급
-
운동만 하면 '헉헉' 호흡곤란…"이 검사 꼭해라" 심장의 경고
우리나라에 전 국민 대상 국가건강검진이 도입된 지 올해로 30년을 맞았다. 공무원·사립학교 교직원 등에 한정됐던 국가건강검진 적용대상이 1995년부터 직장가입자와 지역가입자까지 확대하면서 사실상 모든 국민이 무료로 정기 건강검진을 받을 수 있는 '보편적 건강검진 시대'가 열린 것이다. 국가건강검진이라는 전 세계적 유일무이한 제도 덕분에 정해진 시기만 놓치지 않으면 누구나 다양한 질환을 일찍 발견해 예방·관리할 수 있다. 그러나 일반 건강검진에는 모든 검사가 포함되는 게 아니므로 개인의 건강 상태나 가족력, 환경적 요소 등을 고려해 검사 항목을 따로 신청하는 게 현명하다. 특히 요즘처럼 기록적인 폭염과 열대야가 나타나는 시기엔 온열질환뿐만 아니라 심혈관계 부담까지 커지므로 각별히 관리해야 한다. 무더위로 바깥 온도가 높아지면 체열을 방출하기 위해 피부 혈관이 확장하는데, 이를 위해 맥박이 빨라지고 심박출량이 증가하면서 심장에 부담이 가중될 수 있어서다. 그러나 심장 질환은 일반적인 건
-
아이 손·발·입에 쫙 퍼진 물집…"이 약 먹이면 혼수상태 올 수도" 경고
연일 습하고 무더운 날씨가 이어진다. 한창 뛰놀고 해맑던 자녀가 어린이집 다녀온 어느날 저녁부터 잘 못 먹고 기운 없어 한다면 수족구병(손발입병)에 걸린 것은 아닌지 확인해야 한다. 수족구병은 장바이러스가 유발하는 질병이다. 장바이러스의 종류는 다양한데, 그중에서도 콕사키바이러스, 엔테로바이러스가 대표적이다. 감염 경로는 바이러스가 있는 변·침·가래·콧물 등 분비물과의 접촉이며 물집의 진물에 닿으면서 감염되기도 한다. 증상으로는 이름 그대로 손·발·입에 붉은 반점이나 물집성 발진이 발생하는 것이다. 물집(수포)가 입 주변뿐 아니라 입안에 발생할 경우 아이가 음식물 섭취를 어려워할 수 있다. 외부에서 보이는 물집이 없더라도 아이가 밥 먹기를 어려워한다면 입안을 한번 확인해야 한다. 이러한 발진은 3~7㎜ 크기로 손등·발등에 주로 생긴다. 이 밖에도 몸통·엉덩이 부위에 생기기도 한다. 고열, 입안 궤양이 동반되기도 한다. 수족구병에는 근본적인 치료제가 없기 때문에 대증치료(겉으로 나타난