-
이민우·오종혁 얼굴 마비 고백…뇌졸중 신호? "이마 주름 잡아봐라"
#. 집에서 양치하던 A씨. 갑자기 귀 뒤쪽이 아프면서 얼굴 한쪽 근육의 힘이 빠지면서 입안의 물이 입술 사이로 새 나왔다. 불현듯 '뇌졸중이 아닐까' 걱정했던 A씨는 불안감에 병원을 찾았다가 '얼굴마비'(안면신경마비)로 진단받았다. 최근 이민우·오종혁 등 유명 연예인이 얼굴마비를 겪고 투병했다고 밝히면서 이 병에 대한 대중의 관심이 높아졌다. 건강보험심사평가원에 따르면, 국내에서 얼굴마비로 진료받은 환자는 약 10만명으로 최근 10년간 41% 증가했다. 얼굴마비란, 어떤 원인으로 안면 신경에 장애가 생기는 질환이다. 눈을 깜빡이거나 표정을 짓는 동작은 얼굴근육이 수축·이완해서 일어난다. 얼굴근육의 움직임을 담당하는 신경이 안면신경이다. 얼굴근육을 지배하는 뇌신경이 뇌에서 갈라져 나오기 전까지가 '중추성 안면신경통로', 뇌에서 갈라져 나와 직접 얼굴근육에 연결되는 부분이 '말초성 안면신경통로'다. 이 가운데 어느 신경통로가 마비되느냐에 따라 얼굴마비는 '말초성 얼굴마비'와 '중추성
-
전용기 오르던 트럼프도 '꽈당'…어르신 삶의 질 떨어뜨리는 '이 병'
지난 8일(현지시간) 도널드 트럼프 미국 대통령(79)이 전용기 계단을 오르다 발을 헛디뎌 넘어질 뻔한 모습이 담긴 영상이 소셜미디어에 급속도로 퍼지며 화제가 됐다. 일시적이었지만, 고령에 지속해서 신체 활동, 일상적인 움직임이 어려워지고 균형을 잡거나 계단을 오르는 능력이 떨어진다면 '근감소증(Sarcopenia)'을 의심해봐야 한다. 나이가 들면서 근육량이 줄거나 근력과 신체 기능이 병적으로 저하되는 질환이 근감소증이다. 이대서울병원 재활의학과 김윤지 교수는 "일반적으로 40대부터 근육량, 신체 기능이 감소하며, 특별히 관리하지 않으면 시간이 지날수록 더 빠르게 나빠진다"고 설명했다. 근감소증은 단순한 노화의 일부로 여겨지기도 하지만, 실제로는 낙상, 움직임의 제약, 삶의 질 저하, 기능적 장애를 초래할 수 있기 때문에 주요한 건강 문제로 바라봐야 한다. 세계적으로도 하나의 질병으로 인식된 근감소증은 2021년 국내에서도 한국표준질병사인분류(KCD) 8차 개정안에 포함됐다. 원
-
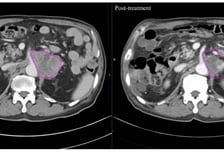
"암세포만 골라 죽였다"…방사선보다 더 효과 보인 이 치료법
몸속 온도를 '암이 싫어하는 온도(40~43도)까지' 끌어올려 암을 죽이는 '고주파 온열치료'는 새로운 암 치료법 중 하나로 꼽힌다. 이런 가운데 고주파 온열치료를 받은 암 환자들이 방사선 치료받은 환자들보다 암 덩어리가 더 빠르고 효과적으로 줄어든 사실이 국내 '빅5' 병원인 서울성모병원의 연구 결과로 나와 눈길을 끈다. 24일 국제바이러스연구연합(IVRA) 조직위원회에 따르면 장홍석 서울성모병원 방사선종양학과 교수 연구팀은 2019년 1월부터 2022년 3월 말까지 고온 온열치료 환자 20명과 방사선 단독 치료 환자 20명 등 전이성 복부 림프절 치료 환자 총 40명을 대상으로 컴퓨터 단층촬영(CT) 이미지를 모았다. 그리고서 치료 전후 종양 괴사의 변화를 관찰하는 지표(하운스필드 단위·Hounsfield Unit·HU)값의 변화를 비교해 치료 효과를 평가했다. HU는 CT(컴퓨터 단층촬영)에서 CT 영상의 픽셀마다 부여되는 밀도 값으로 조직의 밀도를 수치화한 것이다. 각 조직이
-
"소변에 땀까지, 악취 어쩌나"…여성 40대 이후 급증하는 '이 질환'
무더운 여름철만 되면 더 괴로운 질병이 있다. 바로 '요실금'이다. 여름철에는 새어 나온 소변에 땀까지 섞이면서 냄새가 심해지고, 소변이 묻어 습해진 속옷 때문에 피부 질환까지 동반되는 경우가 많아서다. 요실금은 고령 여성에게 흔한 질환이지만, 출산 경험이 있는 중년 여성부터 비만·변비를 겪는 젊은 여성까지 환자층이 넓다. ━출산 경험 많은 여성, 요실금 위험 2~3배━요실금은 단순한 노화 현상은 아니다. 가장 흔한 원인은 바로 임신과 출산으로, 이 과정에서 방광·요도를 지지하는 골반저근이 손상되면, 방광 위치가 바뀌고 요도 괄약근 기능도 약화해 요실금이 발생할 수 있다. 강동경희대병원 비뇨의학과 최정혁 교수는 "출산 경험이 많은 여성일수록 요실금 발생 위험은 더 커진다"며 "출산 직후 증상이 일시적으로 호전되더라도 재발하는 경우가 많다"고 설명했다. 한 연구에 따르면 출산 후 5년 이내에 90% 이상이 다시 요실금을 경험하는 것으로 나타났다. 제왕절개가 요실금을 예방해줄 것이라는
-
"망치로 내려찍는 듯한 두통" 고혈압 환자의 '이 증상' 골든타임도 없다
뇌에 갑작스럽게 타격이 가해지는 질환이 뇌졸중이다. 뇌졸중은 △뇌혈관이 막히는 '뇌경색' △혈관이 터지는 '뇌출혈'(출혈성 뇌졸중)로 나뉜다. 이 가운데 뇌출혈은 전체 뇌졸중의 약 20%를 차지한다. 뇌출혈은 전조 증상 없이 갑작스럽게 찾아오고 예후가 매우 나쁘다. 한번 발병하면 치료하더라도 후유증을 남길 수 있다. 빠른 인지·대처가 생명과 후유증을 좌우한다. 가천대 길병원 신경외과 김명진 교수는 "뇌출혈은 발병 즉시 치료해야 후유증을 남기지 않는다"고 설명했다. 뇌출혈의 가장 큰 원인은 '고혈압'이다. 혈압이 자연스럽게 오르내리는 정상 혈압과 달리, 고혈압은 혈관 벽에 지속해서 부담을 가해 손상을 입힌다. 이렇게 손상된 혈관은 점차 딱딱해지고, 신축성을 잃는다. 이 상태에서 순간적으로 혈압이 빠르게 상승하면 결국 혈관이 터지며 뇌출혈로 이어진다. 고혈압 외에도 혈관 일부가 꽈리처럼 부풀며 쉽게 파열되는 뇌동맥류, 선천적으로 혈관 구조가 비정상적인 뇌혈관 기형, 외상, 출혈성 질환,
-
치매 치료 새길 열리나…"부작용 적고 기억력 되살리는 물질 발견"
기억력을 되살리고 치매를 잘 막아내는 새로운 물질을 국내 연구진이 찾아냈다. 고려대 의과대학 박길홍 명예교수 공동연구팀(경기도경제과학진흥원 바이오센터, 아산의료원, 충남대 신약전문대학원)은 '프테로신 D(pterosin D)'라는 성분이 뇌 속 신호 전달 단백질을 자극해, 기억력 향상과 알츠하이머병 진행 억제에 도움을 준다고 밝혔다. 프테로신 D는 기존 치매 치료제와 달리, 뇌세포를 직접 자극하며 작내몸읽기한다. 뇌세포 안에서 기억·학습에 중요한 역할을 하는 단백질(PKA, 단백질 키나아제 A)을 자극한다. 이 단백질이 활발해지면 신경세포 성장, 기억 형성에 중요한 단백질(BDNF, TrkB)이 활성화해 기억력과 인지기능이 좋아진다. 실제로 알츠하이머병 유전자를 가진 실험쥐에 프테로신 D를 3개월간 먹인 뒤 미로 실험을 한 결과, 공간학습과 기억 능력이 크게 향상됐다. 또 프테로신 D는 기존 치매 치료제처럼 뇌세포 내 신호물질(cAMP) 수치를 증가시키지 않고, 단백질 키나아제를 직
-
임신부 놀랄 연구결과…초미세먼지 심한 날 "태아 모세혈관 내부 손상"
임신 중 초미세먼지(PM2.5)에 노출될수록 태반의 미세구조를 망가뜨리고 태아에게 나쁜 영향을 끼칠 수 있다는 연구 결과가 나왔다. 이대목동병원 산부인과 김영주 교수 연구팀은 2020~2023년 임산부 약 900명을 대상으로 임신 중 PM2.5 노출 수준에 따라 ▶고노출군(15μg/㎥ 초과) ▶저노출군(15μg/㎥ 이하)으로 그룹을 나눠 태반 조직을 분석했다. 투과전자현미경으로 정밀 분석한 결과, 고노출군에서는 태반의 융모막세포 영역에서 심각한 구조적 변화가 발견됐다. 특히 ▶미세융모의 소실과 단축 ▶기저막 두께 증가 ▶공포 형성 ▶소포체 팽창 등의 손상이 확인됐다. 연구 결과에서 주목할 점은 바로 '태아 모세혈관 내 미토콘드리아'도 손상됐다는 것이다. 미토콘드리아는 세포 속에서 에너지를 만들어내는 기관으로 '세포 에너지 공장'으로 통한다. 고노출군에선 미토콘드리아의 이중막 구조와 크리스테(cristae)가 파괴됐다. 또 혈액 내 산화스트레스 지표를 분석했더니, 고노출군에서 말론디알
-
"소변에 피?" 병원가면 이미 '3기'…무섭게 늘더니 1년새 남성암 '2위'
지난달 조 바이든(83) 전 미국 대통령이 뼈까지 전이된 전립선암(전립샘암)을 진단받은 것으로 알려지면서 충격을 줬다. 그런데 한국 남성 사이에서도 전립선암 신규 환자가 유독 빠르게 늘고 있는 것으로 나타났다. 2022년 전립선암을 새로 진단받은 2만754명을 포함, 전립선암 환자 수는 모두 합해 14만7684명으로 남자 암 유병자(113만2485명)의 13%를 차지했다. 이는 2021년 남성에게 많이 발생한 암 4위에서 1년 새 2위로 껑충 뛰어오른 것이다. 심지어 2000년(1372명)과 비교하면 20여년 새 전립선암 환자가 15배나 증가한 것으로, 이제 전립선암은 남성 누구나 걸릴 수 있는 '평범한 암'이 됐다. 전립선(전립샘)은 방광 아래 요도를 둘러싸는 생식기관으로 남자에게만 있다. 위는 둥글고 밑으로 내려갈수록 좁아지다가 맨 끝은 뭉툭하다. 전립선은 정액을 만들어내 자의 운동을 돕는다. 이 전립선에 생긴 암인 전립선암은 대개 뼈로 전이된다. 뼈 통증을 느껴 검사받다가 우연
-
차와 '쾅', 사망까지 부른다…이어폰 낀 '킥라니'의 최후
공용 자전거나 전동 킥보드 등 개인형 이동 장치 이용자가 늘고 있다. 조작이 간단해 가볍게 여기고 타는 경우가 많은데, 무리하게 속도를 내거나 안전 수칙을 어겼다가 충돌하거나 넘어지면 심각한 부상으로 이어질 수 있다. 보호 장구를 착용하지 않은 채 전동 킥보드를 탔다가 차와 충돌해 사망에 이른 사례도 있다. 도로교통공단에 따르면, 최근 5년간(2020~2024년) 자전거 사고는 2만7286건이 발생했는데, 그중 6월이 4322건으로 가장 많았다. 같은 기간 전동 킥보드 사고는 9639건에 달했는데, 2020년 897건에서 2024년 2232건으로 발생 건수가 껑충 뛰었다. 이에 따른 골절·뇌진탕 등 심각한 부상과 중증 외상을 입는 사람도 늘고 있다. 강북힘찬병원 정형외과 신동협 원장은 "개인형 이동장치는 사고가 빈번한데, 충돌하거나 넘어졌을 때 골절 같은 부상을 당할 수 있다는 안전 의식은 아직 낮다"고 우려했다. ━속도 내거나 안전모 미착용 때 중증 외상까지 ━자전거, 전동 킥보드
-
이 과일 껍질 꼭 먹으라더니…"암 예방" 연구결과 나왔다
감귤·사과 등 과일에서 유래한 성분인 '펙틴(pectin) 유도체'가 암 예방에 효과적일 수 있다는 연구 결과가 독일에서 열린 학술대회(FAPESP Week 콘퍼런스)에서 최근 발표됐다. 독일 뮌헨대학과 브라질 미나스제라이스 연방대학(UFMG) 공동 연구팀은 과일의 껍질에 든 펙틴에 주목했다. 펙틴은 사과·감귤·자몽·배·매실·딸기·포도 등 과일류에 풍부하게 들어 있는 수용성 식이섬유다. 특히 감귤·사과의 껍질엔 펙틴 함량이 높아 잼·젤리를 만들 때 활용된다. 펙틴은 장내 유익균의 먹이가 돼 장 건강을 개선하고, 콜레스테롤 흡수를 억제해 혈중 지질 개선에 도움을 준다. 또 포만감을 줘 식욕 조절, 체중 관리에도 효과적이다. 펙틴은 그간 장(腸) 건강에 도움을 주는 식이섬유 정도로 알려졌다. 연구팀이 펙틴 구조를 화학적으로 변형하자 항암·항염 활성도가 크게 높아졌다. 특히 감귤류의 하얀 속껍질(알베도)에서 추출한 펙틴은 면역세포 활성화와 염증 조절에 효과를 보였다. 암세포 성장 억제 가
-
장마철만 되면…"무릎이 시큰, 내일 비 오겠네" 이 말 사실일까?
"아이고 무릎이야. 내일 비가 오려나." 장마가 예년보다 빨리 찾아오면서 관절염 환자들은 괴롭다. 날씨가 흐리거나 비가 올 무렵이면 뼈마디가 욱신거리고 쑤셔서다. 실제 관절이 아프기 시작하면 비가 곧 올 것이라 점지(?)하는 환자도 적잖다. 관절통과 장마, 실제로 연관성이 있는 걸까. 서울아산병원 재활의학과 김원 교수는 "의학적으로 확실히 증명된 건 없지만, 습도가 높거나 기압이 낮을 때 관절염 환자들이 관절통을 심하게 느끼는 경향이 있다"고 설명했다. 장마철 관절염 환자들이 괴로운 이유는 뭘까. 첫째, '낮은 기압' 때문이다. 비 오는 날 기압은 평소보다 낮다. 장마전선이 저기압을 가져오기 때문인데, 이 때문에 관절 내부 압력이 상대적으로 높아져 관절 내 활액막에 분포한 신경이 압박받아 통증이 발생할 수 있다. 둘째, '높은 습도' 때문이다. 관절은 대기 중 습도가 '50% 내외'일 때 최상의 컨디션을 유지한다. 하지만 장마철엔 대기 중 습도가 90%까지 높아진다. 이 때문에 몸속
-
출근 준비 중 '어질' 말도 안 나와…50대 직장인 '뇌 응급신호'였다
#. 50대 회사원 A씨는 아침에 출근을 준비하던 중, 갑자기 손에 들고 있던 컵을 떨어뜨렸다. 말이 어눌해졌고, "괜찮냐"는 아내의 질문에 제대로 대답하지 못했다. 몇 분 뒤 증상은 사라졌고, A씨는 최근 과도한 업무 스트레스로 인한 일시적인 현상이라고 여겼다. 하지만 가족의 권유로 병원을 찾은 그는 "일과성 허혈 발작의 가능성이 크다"는 의사의 설명과 함께 정밀검사를 받게 됐다. 사람의 뇌는 혈관을 통해 산소·영양분이 포함된 혈액을 공급받는다. 그런데 다양한 원인으로 뇌혈관이 막히거나(뇌경색), 터지면(뇌출혈) 뇌세포가 손상되는데 이를 통틀어 '뇌졸중'이라고 한다. 그중에서도 '일과성 허혈 발작'(Transient Ischemic Attack, TIA)은 일시적으로 혈류가 차단됐다가 곧 회복해, 뇌 손상이 발생하기 전 증상이 사라지는 상태를 말한다. 혈관을 일시적으로 막았던 혈전이 자연스럽게 녹거나 주변 혈관이 혈류를 보완해 증상이 일시적으로 호전된다. 일과성 허혈 발작은 주로