-
"적갈색 가래, 파란 입술 방치했다간…" 서희원 걸렸던 폐렴의 원인은?
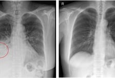
가수 클론 구준엽의 아내 쉬시위안(서희원)이 독감 후 폐렴으로 사망하면서 폐렴에 대한 궁금증과 불안감이 확산한다. 과연 폐렴은 무엇이고, 왜 생길까. 폐렴은 세균·바이러스가 폐로 침투해 염증이 생긴 병이다. 폐렴구균으로 인한 '세균성 폐렴'이 흔하다. 가톨릭대 서울성모병원 호흡기내과 민진수 교수는 "폐렴구균은 평소에도 코·목의 점막에 상주한다"면서도 "우리 몸의 면역력이 약해지면 폐렴구균이 폐·뇌·혈관·귀까지 침투해 폐렴·수막염 등을 일으킨다"고 설명했다. 독감·감기에 걸린 환자는 이차적으로 세균성 폐렴에 걸리기 쉽다. 이는 바이러스로 인해 기관지·폐점막이 손상당하면서 폐의 방어 작용이 약해지고, 그 틈을 타서 폐렴구균이 쉽게 폐에 침투하게 돼서다. 폐렴의 초기 증상은 발열·기침·가래 등 일반 감기와 비슷하다. 하지만 폐렴구균이 본격적으로 활동하기 시작하면 고열·기침·가슴 통증·호흡곤란을 유발한다. 숨이 가빠지면 호흡수도 많아져 1분당 20회를 초과하는 게 특징이다. 폐렴구균으로
-
"남성 성기능 개선·고혈압 예방" 깜짝 효과…이런 초콜릿 고르는 법
오늘(2월14일)은 좋아하는 연인·친구에게 초콜릿을 건네는 밸런타인데이다. 황제의 허락을 받아야만 결혼할 수 있었던 3세기(269년) 로마 시대 때, 밸런타인(Valentine)이라는 사제가 서로 사랑하는 젊은이들을 황제 허락 없이 결혼시켜준 죄로 순교 당한 날이기도 하다. 그가 죽은 이날은 여성이 평소 좋아했던 남성에게 사랑을 고백하는 게 허락되는 날로도 통용되는데, 그 매개체인 초콜릿이 밸런타인데이에는 연중 가장 많이 팔리는 이유다. 화려한 비주얼과 달콤 쌉싸름한 맛을 자랑하는 다양한 초콜릿이 많은 이의 눈과 입맛을 사로잡는다. 흔히 '초콜릿' 하면 달고 혈당을 높이는 식품으로 떠올리지만, 알고 보면 초콜릿의 주원료인 카카오는 건강에 이로운 물질이다. 고려대 안암병원 가정의학과 이규배 교수는 "초콜릿 속 카카오에 풍부한 카테킨·타닌·비타민E는 유해산소를 중화해 암·노화 예방에 도움을 주는 항산화 기능을 발휘한다"고 설명했다. 카카오는 칼륨·철분·인 등의 미네랄을 풍부하게 함유하고
-
점 인줄 알았는데 암이라고?…꼭 체크해야 할 위험 신호 5개
#. 등산·골프 등 야외활동을 즐기는 남성 A씨(55)는 최근 거울을 보다가 오른쪽 귀 아래에 '흑갈색 점'이 생긴 걸 발견했다. 대수롭지 않게 여긴 A씨는 평소와 다름없이 생활했지만 점 크기가 빠른 속도로 커졌고 피부에서 도드라지는 듯했다. 이에 병원을 찾은 A씨는 '악성흑자 흑색종'으로 진단받았다. 피부에 발생하는 흑색종(Melanoma)은 피부와 눈의 색을 나타내는 멜라닌 색소를 만드는 멜라닌 세포에서 발생하는 피부암이다. 피부암은 종류가 여럿이다. 그중 우리나라에서 가장 많은 피부암은 '기저세포암'으로 피부암 종류 전체의 75~80%를 차지하며, 자외선 노출이 많고 피부색이 하얀 사람에게 주로 나타난다. 전이 가능성이 작아 치료가 간단하며, 항암치료 없이 수술로 제거해 완치할 수 있다. '편평상피세포암'은 발병률이 15%다. 수술로 치료할 수 있지만, 드물게는 전이돼 초기에 치료하는 게 중요하다. 피부암 가운데 우리나라에선 발생 빈도가 가적 적지만, 악성도가 가장 높은 암이
-
약 안 통하는 우울증 환자들…뇌파 검사했더니 '이것' 달랐다
우울증 환자의 30%가량 항우울제 치료에도 반응하지 않는다. 그런데도 기존 치료법은 환자에게 일단 약을 처방한 후, 효과가 없으면 다른 약을 시도하는 방식으로 진행되기 때문에 환자들이 시간·돈을 쓰는 데 부담을 겪어왔다. 그런데 이 문제를 해결할 실마리를 국내 의료진이 찾았다. 13일 인제대 일산백병원 정신건강의학과 이승환 교수 연구팀은 "우울증 환자의 뇌파(EEG)를 분석해 뇌 신경망 기능을 측정함으로써 항우울제 반응성을 예측할 수 있는 뇌파 신호의 특징을 밝혀냈다"고 발표했다. ━주의력과 감정 조절이 치료 반응 좌우해━연구팀은 우울증 환자 367명(치료 저항성 98명, 치료 반응 양호 269명)과 건강한 성인 131명의 뇌파 데이터를 비교 분석했다. 그 결과, 치료 저항성 우울증 환자는 주의력과 감정 조절을 담당하는 특정 뇌 네트워크의 연결성이 약한 것으로 나타났다. 특히, 전두안구 영역과 두정엽의 연결이 약했다. 이 부위는 ▲섬세한 정서 조절 ▲충동 조절 ▲사회성 ▲주의력 조
-
"와자작" 부럼 깨다 우리 아이 유치 '쏙'…"영구치 나잖아" 방심했다간
오늘(12일)은 우리 민족이 오랜 세월 이어온 전통 명절인 정월대보름이다. 이맘때면 가족과 이웃이 모여 견과류 등 단단한 음식을 깨물어 먹으며 한 해의 건강과 행운을 기원하는 '부럼 깨기' 풍습이 자연스레 떠오른다. 농경 사회에서 시작된 이 전통은 오늘날에도 많은 이들의 마음속에 자리 잡고 있으며, 특히 새 학년을 준비하며 방학 동안 심심해할 수 있는 우리 아이들에도 재미있는 풍습이기도 하다. 하지만 견과류를 비롯한 단단한 음식은 어린아이들의 치아 건강에 해를 끼칠 수 있어 주의해야 한다. 가톨릭대 서울성모병원 치과 한성훈 교수는 "성장기 아이들의 유치는 영구치보다 법랑질이 얇아 쉽게 손상될 수 있어, 무리한 힘을 가하면 치아에 금이 가거나 깨질 위험이 있다"며 "이는 심한 통증을 유발하거나, 영구치 맹출에 영향을 줄 수 있다"고 경고했다. 만약 유치가 조기에 빠진다면 아래에서 자라는 영구치의 맹출 공간이 부족해져 치열이 어긋날 가능성이 커진다. 질병관리청 국가건강정보포털에 따르면,
-
정신과 교수 "우울증 환자, 자해할지언정 타인 해치진 않아"
대전 서구의 한 초등학교에서 날카로운 흉기로 초등학생 1학년 김하늘(7) 양을 살해한 교사 A씨가 평소 우울증을 앓아왔다는 사실이 알려진 가운데, 우울증이 아무리 심했어도 우울증 자체가 살인 충동으로 이어지지 않았을 것이란 정신건강의학과 교수의 소견이 나왔다. 의학적으로 우울증과 '타해 위험성'(타인을 해치려는 폭력성) 간 별다른 관계가 없기 때문이란 분석에서다. 12일 서울성모병원 정신건강의학과 이준희 교수는 기자와의 통화에서 "일반적으로 우울증이 있을 땐 '자해 위험성'이 커져 자살 충동이 높아지거나 실제로 자살 시도로 이어지는 사례가 많다"면서도 "일반적으로 우울증 환자들은 아무것도 하기 싫은 무기력증에 빠져 있고, 기운이 없어 자신을 해할지언정 남을 해칠 만큼 폭력적이지 않다"고 강조했다. '자해 위험성'은 크지만, 반대로 '타해 위험성'은 매우 낮다는 것이다. 이준희 교수에 따르면 우울증이 있는 사람에게 폭력성이 발견되는 경우는 극히 드물다. 이 교수는 "하늘이를 살해한 교
-
하늘이 또래 친구들, 빈소 방문 잇따르자…"신중해야" 뜻밖의 경고
대전의 한 초등학교에서 김하늘(7)양이 교사로부터 피살된 가운데, 빈소엔 하늘이를 추모하기 위한 또래 친구들의 발걸음이 이어진다. 그런데 아직 7세에 불과한 하늘이의 또래 친구들이 빈소를 직접 찾아오거나 사망 경위를 알게 하는 건 자칫 아이에게 PTSD(외상 후 스트레스 장애)가 평생 남을 수 있어, 조문엔 신중해야 한다는 소아청소년과 전문의의 경고가 나왔다. 12일 박양동 대한소아청소년행동발달증진학회 이사장은 기자와의 통화에서 "하늘이처럼 초등학생 저학년, 심지어 가장 어린 1학년생이라면 더더군다나 죽음을 알 나이가 아니"라며 "또래 친구들이 하늘이의 빈소를 찾아오거나 조문하는 건 정신건강 측면에서 적절하지 않다"고 경고했다. 극심한 스트레스가 일상에서의 스트레스 수준을 넘을 정도로 크고, '생명이 위협받을' 정도의 트라우마 반응이 이어지면 PTSD가 될 수 있다. 그는 "과연 살인 사건에 대해 초등학교 1학년생들에게 어떻게 설명할 수 있을까? 그럴 방법은 없다"며 "심지어 아이들
-
"뱃살 두둑한 나 어쩌지" 이 암에 치명적…초기 증상도 없다
대장암은 전 세계적으로 발병률이 빠르게 증가하는 암으로, 특히 최근 한국에서 증가세가 가파르다. 국가암정보센터에 따르면 2022년 기준 남성에게 발병한 암 중 대장암(10만명당 40.1명)이 폐암(38.8명), 위암(37.6명)을 제치고 1위로 올라섰다. 또 대장암은 65세 이상에서 많이 발생한 암 2위(10만명당 190.4명)였을 뿐 아니라, 15~34세에서도 2위 암(10만명당 7.1명)으로 올라서며 '젊은 대장암' 환자도 크게 늘었다. 다행인 건 대장암은 생활습관과 검진만 잘 받아도 충분히 예방할 수 있고, 조기 진단하기만 하면 완치를 기대할 수 있다는 것이다. 가천대 길병원 외과 이원석 교수는 "대장암은 다른 암보다 예방을 위한 생활습관 방법이 많이 알려졌다"며 "이들 방법을 잘 실천한다면 대장 건강에 도움 될 뿐 아니라 삶의 질도 높일 수 있다"고 조언했다. 대장암 예방법 중 널리 알려진 건 ▲균형 잡힌 식단 ▲규칙적인 운동과 체중 관리 ▲금연과 절주 ▲정기적인 대장암 검진
-
"자다가 화장실 들락날락"…밤만 되면 소변 마려운 이유
흔히 '폐경기'하면 얼굴이 잘 빨개지고, 갑자기 덥고, 밤에 땀이 나는 증상을 떠올린다. 그런데 소변을 평소보다 더 자주 보거나(빈뇨) 밤만 되면 소변이 마려워 잠을 깨는 증상(야간뇨) 역시 폐경기 증상일 수 있다는 연구 결과가 나왔다. 특히 과민성 방광 증상 중에서도 야간뇨 증상이 유독 증가하는 것으로 나타났다. 성균관의대 강북삼성병원(원장 신현철) 코호트연구소 장유수 교수, 박정은 연구원 연구팀은 2020~2023년 강북삼성병원 종합건진센터를 방문한 42~52세 한국 여성 3469명에 대해 폐경에 따른 야간뇨 증상을 분석했다. 연구팀은 이들의 폐경 단계에 따라 ▲폐경 전 ▲폐경 이행기 ▲폐경 후로 나누고 과민성 방광 증상 점수를 통해 연관성을 확인했다. 그 결과, 폐경 전 여성에 비해 ▲폐경 이행기의 경우 야간뇨가 1.92배 증가 ▲폐경 후 여성의 경우 아간뇨가 2.16배 증가했다. 폐경기 여성은 월경주기는 물론 다양한 신체·정신적 변화를 경험하는 시기다. 이 시기에는 혈관운동
-
한파에 생긴 수족냉증인 줄 알았는데…손발 저림 '이 병'의 경고?
#. 최근 50대 여성 박모 씨는 손·발이 저리고 아릿하거나 찌릿찌릿한 고통을 계속 느껴 병원을 찾아갔다. 박씨는 단순히 추위 때문에 교감신경이 예민해져 생긴 수족냉증으로 여겼으나, 예상치 못하게 '말초신경병증'이라고 진단받고 깜짝 놀랐다. 뒤늦은 입춘 한파 속에 손발 저림 증상으로 병원을 찾는 환자들이 증가하고 있다. 박씨처럼 많은 환자가 겨울철 말초신경병증이 나타나면 '수족냉증'으로 오인하는데, 수족냉증은 추위와 같은 외부 자극에 교감신경 반응이 예민해져 혈관이 수축되면서 손이나 발과 같은 말초 부위에 혈액공급이 줄면서 과도하게 냉기를 느끼는 것으로 알려졌다. 하지만 박씨가 진단받은 말초신경병증은 말초신경질환의 하나로, 척추에서 근육·피부 등 신경말단으로 이어지는 신경망에 생기는 질환이다. 발병 원인은 유전적 요인, 당뇨병, 알코올 남용, 특정 약물의 독성, 감염 등 다양하지만 가장 흔한 원인은 당뇨병성 다발신경병증이다. 당뇨병으로 인해 말초신경이 손상되면서 저림, 통증, 감각
-
"너무 추워, 몸 데우자" 소주 벌컥벌컥…진짜 위험한 이유
대만(타이완)에서 지난 8일 북극발 한파로 하루 만에 78명이 숨지면서 한파로 인한 하루 사망자 수로 역대 최다 규모를 기록한 가운데, 10일 국내에서도 전국 곳곳에 한파주의보와 한파경보가 내려지면서 매서운 추위가 건강을 위협한다. 추위에 익숙하지 않은 대만과 달리 한국은 난방시설이 잘 갖춰진 편이지만, 겨울철 잘못된 습관이 한랭질환과 이로 인한 사망까지 야기할 수 있다는 점에서 결코 안심할 수 없다. 한파 속 대처가 늦었다간 자칫 목숨을 앗아갈 수 있는 치명적인 질환들과 올바른 대처법을 알아본다. ━저체온증 등 한랭질환자 30%는 술 마신 후 발견 ━한랭질환은 추위가 원인으로 발생하는 질환으로 △저체온증 △동상 △동창 △침수병·침족병 등 크게 4가지가 해당한다. 그중 심부체온(내부 장기·근육의 체온)이 35도(℃) 미만으로 떨어진 저체온증이 발생하면 떨림, 언어 장애, 의식 혼미 등의 증상이 나타난다. 경증(32~35℃) 저체온증에서는 사지의 떨림 증상이 발생하고, 기억력이 감퇴하
-
병든 소에서 빼낸 '○○' 금값 2배로 껑충…몸에도 '금빛'?
최근 소의 담석(담낭 결석)의 몸값이 금값의 2배까지 치솟을 정도로 수요가 높아지면서 중남미 지역에서 소 담석 강도 사건까지 급증하는 것으로 나타났다. 심뇌혈관 질환 환자가 급증한 중국에서 '소 담석을 먹으면 심혈관 질환과 뇌졸중을 치료할 수 있다'는 입소문이 퍼진 게 큰 이유다. 과연 소 담석이 무엇이고, 이것을 먹는 게 심뇌혈관 질환 치료에 도움이 될까. 담석이란, 담즙 내 성분 비율이 깨지면서 뭉쳐지면서 담낭(쓸개) 내에 만들어진 돌처럼 단단한 덩어리다. 담즙은 △콜레스테롤 △지방산 △담즙산염 등으로 구성되는데, 이들 구성 비율은 생체 내에서 정확하게 조절된다. 하지만 이들 성분의 비율에 변화가 생기면 찌꺼기가 생기고, 이 찌꺼기가 돌처럼 단단하게 뭉친 게 담석이다. 담석은 성분에 따라 △콜레스테롤 담석(순수 콜레스테롤석과 혼합석) △색소성 담석(흑색석·갈색석)으로 나뉜다. 그중 가장 흔한 '콜레스테롤 담석'은 담즙에 콜레스테롤이 너무 많아지면서 뭉치고, 이에 따라 담낭이 잘