오는 24일은 '세계 결핵의 날'이다. 가난때문에 못 먹던 시대에 창궐했던 결핵은 전염성을 바탕으로 아직도 전세계에서 매년 200만명의 목숨을 앗아가고 있다.
많은 사람들이 우리나라에 결핵이 없어진 것으로 알고있지만 이는 큰 착각이다. 없어지기는 커녕 최근들어 증가세를 보이고 있기 때문이다.
보건복지부에서 발표한 2007년 통계에 따르면 국내 활동성 결핵환자는 13만2000명으로 국민 341명당 1명이 결핵환자다. 여성환자의 증가세도 눈에 띈다. 남성 결핵환자는 줄어가고 있는데 비해 여성은 2001년과 2005년 사이 10.5%나 증가했다.
새로 발생하는 환자들이 대부분 20~30대라는 점도 유의할만하다. 전체 신고환자 중 20~30대 청장년층의 비율이 35.6%에 이르는 상황이다.


폐결핵은 공기를 통해 전염된다. 폐결핵환자는 접촉하는 모든 사람에게 결핵균을 전염시킬 수 있다. 인구 10만명당 매년 200여명의 새로운 환자가 발생하고, 폐결핵 환자에 대한 강제적인 규제가 없다는 점을 감안하면 우리나라 국민들은 매일 결핵균에 감염될 위험성을 안고 산다고 볼 수 있는 것이다.
결핵균의 전파는 대부분 폐결핵 환자가 기침이나 재채기를 할때 가래에 있는 균이 주위사람의 호흡기로 들어가 일어난다. 보통의 대화에서도 옮을 수 있으며, 환자가 뱉어내는 균의 수가 많을수록, 가깝게 접촉할수록, 접촉기간이 길수록 걸릴 가능성이 높다. 따라서 환자와 가까운 사람이나 가족을 통해 감염될 확률이 높은 것이다.
하지만 결핵균에 감염됐다고해서 모두 발병하는 것은 아니다. 면역력에 따라 감염된 사람 중 5~15%에서 발병하며, 신체 모든 기관에서 일어날 수 있으나 대부분이 폐결핵이다.
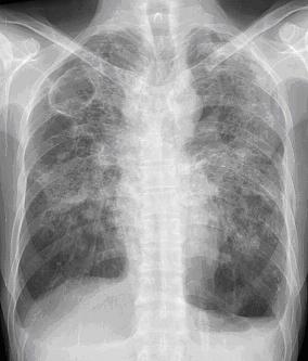
폐결핵에 걸리면 기침과 가래가 자주 나오고 쉽게 피곤하며, 밤에 식은땀이 나고, 가래에 피가 섞여 나올 수 있다. 하지만 아무 증상이 없는 경우도 많으므로 매년 가슴 부위에 X선 사진을 찍어보는 것이 좋다. 특히 당뇨나 간질환 등 면역이 떨어지는 만성질환을 갖고 있는 사람은 별다른 증상이 없더라도 규칙적으로 체크해야 한다.

폐결핵진단은 객담검사가 필수적이며, 전산화단층촬영(CT)도 도움이 된다. 치료는 대개 6개월 동안 항결핵제를 복용하면 완치가 가능하다. 그러나 약을 꾸준히 복용하지 않고 도중에 중단하거나, 약의 종류를 마음대로 바꿀 경우 결핵균이 내성이 생겨 치료가 어려워지는 것은 물론 약을 먹지 않는 것보다 못한 상황이 될 수 있다.
독자들의 PICK!
폐결핵은 공기로 전염되는 전염병이므로 폐결핵 환자와 접촉을 하지 않으면 병에 걸리지 않는다. 그러나 결핵환자가 많다보니 공기중에 결핵균이 떠나니고 있다고 보면 된다. 그렇지만 결핵균 감염된다고 해서 다 결핵에 걸리는 것은 아니다. 면역이 약한 일부만 걸리는 것이다. 따라서 적당한 운동과 균형있는 식사로 건강을 유지하는 것이 결핵균이 들어와도 결핵에 걸리지 않는 방법이다.
◆결핵에 대한 오해와 진실
◇결핵은 노인들이 걸리는 병이다?= 과거 결핵은 노인들이 많이 걸리는 병으로 인식되어 왔다. 그러나 최근 우리나라 결핵 감염자의 가장 많은 비중을 차지하고 있는 것은 20~30대다. 위생상태와 영양상태가 좋아지며 노인층보다 젊은 층에서 보다 더 많이 발생하고 있는 것. 특히 젊은 층의 경우 대중들과 접촉이 많아 서로 옮기고 옮는 악순환에 자주 노출되기 때문으로 추정된다.
◇BCG 예방접종을 하면 결핵에 걸리지 않는다?= 아쉽게도 아직까지 결핵 예방접종은 없다. 어린 아이의 경우 면역이 약해 결핵균에 감염되었을 경우 폐결핵 뿐 아니라 치명적인 결핵성 뇌막염이나 결핵성 골수염 등이 발생할 수 있어 BCG접종을 하고있는 것이다. BCG접종은 어린아이에게 침투한 결핵균이 심각한 결핵으로 발전하는 것을 예방해준다. 따라서 어릴때 BCG접종을 했다 하더라도 성인이 되어 결핵에 감염될 수 있는 것이다.

△한번 걸리면 면역이 생긴다?= 결핵에는 면역력이 없다. 그렇기 때문에 예방접종도 없는 것이다. 과거 걸린 사람이 치료를 해서 완치가 되었다고 하더라도 결핵균에 노출될 경우 다시 감염될 수 있다.
△결핵환자와는 수건과 식기 등을 따로 써야 한다?= 가장 대표적으로 잘못 알고 있는 상식이다. 수건, 식기, 식사를 따로 하는 것보다 오히려 대화하는 것이 감염률을 높일 수 있다. 폐결핵은 공기로 전염되는 전염병이므로 폐결핵 환자와 접촉을 하지 않으면 병에 걸리지 않는다. 집안에 폐결핵 환자가 있으면 음식을 따로 먹고 그릇을 소독하는 경우가 대부분이다. 그러나 폐결핵은 공기로 전염이 되므로 음식을 따로 먹을 필요는 없다. 폐결핵은 치료를 시작하고 약 2주 후에는 전염력이 없어지므로 이때부터는 안심해도 된다.
△성관계나 키스는 금물이다?= 키스나 성관계를 통해 결핵에 감염되는 것은 아니다. 식사나 식기 등과 마찬가지로 타액을 통해 전염되는 것이 아니기 때문이다.
△결핵 진단을 받으면 격리돼 생활해야 한다? 직장을 쉬어야 한다?= 과거에는 결핵에 걸리면 요양소에 보냈다. 그러나 지금은 별도로 격리해 치료하지 않는다. 병원을 와서 치료를 받으면 그 순간부터 결핵의 전염 위험성은 크게 떨어지기 때문이다. 오히려 결핵으로 병원을 찾기 전까지가 위험하다. 마찬가지로 회사나 학교생활을 피한다고 해서 주변에 감염의 위험을 낮추는 것은 아니다. 다만 병원 종사자, 교사, 학원강사, 요식업 종사자 등은 치료시작부터 2주 정도는 근무처를 피해야 주변의 피해를 최소화 할 수 있다.
△결핵에는 개고기가 좋다?= 과거 영양부족이 심각했을 때 나온 이야기이다. 개고기가 결핵에 좋다는 증거는 없다. 6개월간 꾸준히 약을 복용하는 것이 가장 중요하다.
△주변에 결핵환자가 있어 걱정이 되어 X선 검사를 했는데 정상으로 나왔다. 괜찮다?= 섣부른 판단일 수 있다. 결핵은 최소 2년동안 주의를 기울여야 한다. 성인의 경우 처음 2년 동안은 6개월마다 X선 검사를 하는 것이 좋다.
<도움말 고원중 성균관대 의대 삼성서울병원 호흡기내과 교수>