의료in 리포트
최신 건강·의학 뉴스를 한눈에! 암, 비만, 만성질환, 정신건강, 신약·치료법 등 다양한 질병과 치료 트렌드, 예방 정보, 연구 동향을 쉽고 빠르게 전달합니다.
최신 건강·의학 뉴스를 한눈에! 암, 비만, 만성질환, 정신건강, 신약·치료법 등 다양한 질병과 치료 트렌드, 예방 정보, 연구 동향을 쉽고 빠르게 전달합니다.
총 704 건
국내 연구진이 단독으로 심장혈관 융합 영상의 원천기술 개발부터 첫 임상 적용에 성공했다. 고려대 구로병원 심혈관센터 김진원 교수, 카이스트 기계공학과 유홍기 교수 공동 연구팀은 고속 융합 카테터 영상 시스템을 개발하고, 심장혈관 내 고위험 동맥경화반의 고해상도 정밀 분자 영상을 인체 내에서 구현하는 데 성공했다고 23일 밝혔다. 연구팀은 앞서 2011년 국제 학술지 '네이처 매디슨'에 융합 카테터 기술 구현 가능성을 처음 보고했다. 이어 이번에는 총 79명의 환자를 대상으로 실제 성공적인 영상 획득에 성공했다. 구체적으로 연구팀은 심장에 혈액을 공급하는 '관상동맥'이 폐쇄되는 급성 관동맥 증후군 환자 20명과 안정형 협심증 환자 20명을 대상으로 영상을 획득한 후 6개월간 추적 관찰했다. 이를 통해 심장혈관 내 심장마비를 유발하는 고위험 동맥경화반의 분자적 특성을 밝히는 융합 영상의 효과를 검증하는 데 성공했다. 김진원 교수는 "안정형 환자군과 대비 고위험 환자군에서 병변을 악화시
대한간호협회(간협) 창립 100주년 기념대회에서 간호사 등 6000여명이 함께 "간호법 제정"을 외쳤다. 함께 참석한 여야 국회의원 40여명과 세계보건기구(WHO), 국제간호협의회(ICN)의 국제 보건의료 전문가들도 간호법 제정을 지지하고 나섰다. 간협은 23일 서울 장충체육관과 장충교회에서 전국 6000여명의 회원이 참석한 가운데 100주년 기념대회를 개최했다. 이날 행사는 시작부터 전날 재발의된 간호법으로 뜨겁게 달아올랐다. 국민의힘, 더불어민주당, 진보당, 정의당, 기본소득당 등에서 40여명의 국회의원이 참석해 간호법을 비롯해 간호사 근무 환경과 처우 개선을 약속했다. 국회의원 전원의 축사가 마무리되기까지 1시간이 넘게 소요됐다. 김기현 국민의힘 대표는 "간호사 수가 현저히 적어 1인당 평균 환자 수가 일본, 미국과 비교해 매우 높은 것이 통계로 확인된다"며 "인력 부족과 불규칙한 근무 등으로 인한 간호사의 어려움을 들으면 마음이 무겁다"고 말했다. 이어 김 대표는 "이런 마
헬스 테크놀로지 분야 선도 기업 필립스코리아가 지난 20일과 21일 이틀간 서울 본사에서 임직원을 대상으로 심폐소생술(CPR)과 자동심장충격기(AED) 사용의 중요성을 알리고 급성 심정지 발생 상황에 대비하기 위한 교육을 실시했다고 23일 밝혔다 급성 심정지 환자는 일교차가 큰 환절기 또는 겨울철에 빈번하게 발생한다. 심정지 환자의 생존율을 높이기 위해서는 골든타임 4분 안에 신속한 응급조치가 필요하다. 심정지 발생 후 응급조치가 1분씩 지연될 때마다 환자의 생존율이 7~10%씩 낮아지지만, 4분 이내에 심폐소생술과 자동심장충격기(AED) 사용을 병행하면 환자 생존율을 80%까지 높일 수 있다. 하지만 우리나라의 급성 심정지 환자 발생 시 심폐소생술 시행률은 26.4%에 불과한 실정이다. 필립스는 의미 있는 혁신을 통해 삶의 질 향상에 기여한다는 목표 아래로 전 세계 임직원에게 심폐소생술 교육을 권장하고 있다. 필립스코리아 관계자는 "이번 교육도 글로벌 목표에 발맞춰 임직원들이 응
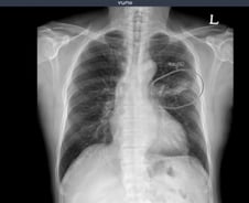
의료 인공지능(AI) 기업 뷰노가 최근 우즈베키스탄 국군중앙병원을 포함해 주요 군 병원 5곳에 인공지능 기반 X선 판독 보조 솔루션 2종을 공급했다고 23일 밝혔다. 우즈베키스탄 군 병원에 도입된 솔루션은 뷰노의 AI 기반 상지 엑스레이 판독 보조 솔루션 '뷰노메드 익스트리미티 엑스레이'와 이동형 엑스레이 장비에 AI 기반 흉부 엑스레이 판독 보조 솔루션 '뷰노메드 체스트 엑스레이'를 탑재한 패키지 제품이다. 두 제품 모두 뷰노가 과학기술정보통신부 및 정보통신산업진흥원(이하 NIPA)이 추진하는 '군 의료영상 데이터 기반 인공지능 판독 시스템 고도화 및 실증 사업(이하 군 의료 사업)'의 일환으로 개발한 제품이다. 격오지를 중심으로 현장 의료서비스가 가능하도록 설계돼 의료 인프라가 낙후한 지역에서도 진단 편차를 줄이고 의료진의 진단 효율성을 높일 수 있다. 뷰노 관계자는 "NIPA와 협력해 지난 5월 우즈베키스탄 국군 중앙병원에 제품을 설치하고, 6개월 동안의 사용성 평가를 성공적
제이엘케이가 우즈베키스탄 의료 관계자들을 대상으로 우즈베키스탄 국군중앙병원에 뇌졸중 AI 솔루션을 도입한 이후 5개월간의 성공적인 임상 결과에 대한 세미나를 개최했다고 23일 밝혔다. 지난 5월 과학기술정보통신부와 정보통신산업진흥원(NIPA)이 주관한 '군(軍) 의료 환경 맞춤형 의료영상 판독 지원 AI 개발' 사업 일환으로 우즈베키스탄 국군중앙병원에 제이엘케이의 AI 뇌경색 유형 분류 솔루션 'JBS-01K'와 뇌출혈 분석 솔루션 'JBS-04K' 2종이 납품됐다. 이는 과기정통부와 국방부, NIPA의 적극적인 해외 진출 지원의 성과이기도 하다. 제이엘케이는 우즈베키스탄 의료현장에서 성공적인 임상 경험을 축적하며 해당 솔루션의 우월한 기술력과 사용성을 인정받았다. 현지 의료인들의 뜨거운 호응을 바탕으로 우즈베키스탄뿐만 아니라 중앙아시아 국가의 병원 공급 확대 가능성도 점쳐지고 있다. 우즈벡 국군중앙병원 주 담당자는 "병변의 위치, 면적 등을 즉각적으로 확인할 수 있을 뿐 아니라
올해 독감(인플루엔자) 백신을 만들 때 쓴 바이러스(백신주)와 유행 중인 바이러스(유행주)가 '유사 계통'이라는 질병관리청의 유전자 분석 결과가 공개됐다. 백신주와 유행주가 일치하면 독감 유행 규모가 작아지는 만큼 적극적인 예방접종이 필요하단 평가다. 23일 질병청에 따르면 45주차(11월 5~11일) 독감 의심 환자는 1000명당 32.1명으로 유행 기준(1000명당 6.5명)의 5배 이상을 기록했다. 7~12세(1000명당 71명), 13~18세(1000명당 77명) 환자가 특히 많다. 올해는 독감 유행 주의보가 연중 내내 지속되는 이례적인 상황이 연출되고 있는데 코로나19(COVID-19)의 방역 조치로 면역력이 약해진 점이 영향을 미친 것으로 풀이된다. 일각에서는 "독감 백신을 맞아도 독감에 걸리는 건 세부 변이 차이 때문"이란 의심이 고개를 들기도 했다. 그러나 올해 독감 백신은 유행 바이러스를 정확히 타깃한 것으로 머니투데이 취재 결과 확인됐다. 질병청은 "유전자 분석
2020년 기준 국내 암 발생률 1위인 갑상선암은 대게 진행 속도가 느리고 사망률이 낮아 '거북이 암' '착한 암'이라고 불린다. 수술 대신 적극적인 추적 관찰만 시행하는 경우도 드물지 않다. 하지만, 초음파 검사에서 특정 소견이 보이면 암 진행 위험이 높다는 사실이 국내 연구진에 의해 밝혀져 주의가 요구된다. 서울대병원 영상의학과 김지훈·이지예, 내분비대사내과 박영주 교수 연구팀은 서울대병원·분당서울대병원·국립암센터의 다기관 전향 코호트(MAeSTro)에 등록된 미세갑상선유두암 환자를 대상으로 초음파 소견과 종양 진행 위험의 연관성을 분석한 결과 이런 사실을 확인했다고 22일 밝혔다. 갑상선암의 80~90%는 암세포 분화도가 높은 갑상선유두암에 속한다. 그중 특히 종양 크기가 1㎝보다 작은 '미세 갑상선 유두암'은 진행 속도가 느리고 사망률이 매우 낮아서 국내외 주요 학회에서 수술 대신 초음파 검사 등을 통한 적극적 관찰을 고려할 수 있다고 규정하고 있다. 실제로 우리나라도 수술
방사선 치료받는 암 환자 중 상당수가 치료 중 가슴 통증을 호소한다. 특히, 폐암, 식도암, 흉선암 등 흉부에 생긴 암으로 치료받고 있는 환자는 가슴이 조이는 느낌이나 흉통을 자주 경험하는 편이다. 사실 가슴 통증이 발생하면 환자뿐만 아니라 의사 등 의료진도 당황한다. 심근경색이나 협심증과 같은 심장병의 초기 증상일 수도 있기 때문이다. 그러나 방사선 치료를 받는 중 나타나는 가슴 통증은 대게 심장과는 큰 연관성이 없다. 경희대병원 방사선종양학과 공문규 교수는 "방사선 치료 중에 생기는 가슴 통증의 대부분은 식도염에서 기인하는데, 이는 강한 방사선에 식도 벽에 손상이 생기며 염증이 발생하기 때문"이라며 "식도는 위에서 아래로 흉부를 관통하면서 깊숙한 곳에 있다 보니 흉부에 있는 암을 치료하다 보면 방사선에 식도가 노출될 수밖에 없다"고 설명했다. 방사선 식도염은 방사선 치료를 시작한 후 2~3주 정도가 지났을 때 발생하는 경우가 많다. 가슴이 답답하고, 화끈거리거나 조이는 느낌이
국민 10명 중 8명은 지역·공공·필수 의료 육성을 위한 의대 정원 확대에 동의하는 것으로 나타났다. 공공의대 확충, 지역의사제 도입에 동의한다는 비율도 80%에 달했다. 전국보건의료산업노동조합(이하 보건의료노조)는 21일 노조 지하 생명홀에서 기자간담회를 열고 의대 정원 확대에 관한 의견을 담은 '지역의사제 및 공공의대 설립에 대한 국민 여론조사' 결과를 발표했다. 이번 여론조사는 전문 조사 업체인 서든포스트에 의뢰해 전국 만 19세 이상 성인남녀 1000명을 대상으로 지난 4일부터 6일까지 3일 동안 유무선 전화로 진행됐다. 응답자에게 사전에 지역의사제와 공공의대설립의 기초조사라고 설명했다. 표본오차는 95% 신뢰수준에서 ±3.1% 포인트다. 이번 여론조사 결과 공공·지역의료를 살리기 위한 의대 정원 확대에 대해 국민 대다수가 찬성하는 것으로 나타났다. 지역 의료공백 해소를 위한 의사 정원 확대와 국공립 병원 지원에 대해 '동의한다'는 비율이 83%였다. 의료취약지역의 의사 충
전국 120여곳의 아동병원이 소속된 대한아동병원협회가 보건복지부에 소아청소년과 전담 조직 신설을 공식 건의했다. 성인과 소아·청소년의 건강정책은 엄연히 다른데도 함께 진행돼 실효성이 떨어진다는 판단에서다. 대한소아청소년과학회 등 학회와 공동으로 법적 근거가 되는 '어린이 건강 기본법' 제정에도 나서기로 했다. 최용재 신임 대한아동병원협회장은 20일 서울 마포구 대한병원협회에서 취임 기자간담회를 열고 "앞으로 3년의 임기 동안 소아청소년과 백년대계를 마련하겠다"며 "핵심은 소아·청소년에 대한 보건의료 정책을 수립하고 실천할 수 있는 정부 내 전담 조직 신설"이라고 강조했다. 최 회장은 "지금처럼 성인의 정책을 그대로 소아·청소년에게 적용하면 절대 해결할 수 없는 문제가 산적했다"면서 대표적인 문제로 소아 필수 약 품절 문제를 꼽았다. 지난 6월 아동병원협회가 협회 소속 44개 아동병원을 대상으로 진행한 전수조사에 따르면 성조숙증 치료제 '데카펩틸', 성장호르몬 결핍증 주사 '노디트로
전국 유일의 소아·청소년 전문병원인 우리아이들의료재단 우리아이들병원·성북우리아이들병원이 전공의 부족 등 위기에 처한 아동 진료 시스템에 새로운 롤모델을 제시한다. 소아·청소년 진료의 전문성을 바탕으로 1차 병원과 3차 병원의 '사다리' 역할을 강화해 아픈 아이와 애타는 부모의 숨통을 틔워준다는 목표다. 우리아이들의료재단은 지난 17일 서울 강남구에서 기자간담회를 열고 소아·청소년 전문병원으로서 향후 역할과 비전을 소개했다. 이날 우리아이들병원의 발표 자료에 따르면, 이 병원은 전국 유일의 소아·청소년 전문병원으로 지난해 기준 외래 50만명, 입원 4만명의 진료 실적을 기록했다. 소아 심장, 소아 신경, 소아 내분비, 소아 신장, 소아 호흡기 알레르기, 신생아 소아 응급 세부 전문의, 모유 수유 상담 전문의 등 총 49명의 의사가 아이들의 건강을 책임진다. 보건복지부의 인증을 받은 진료 시스템과 전문성을 바탕으로 코로나19(COVID-19) 당시 서울의료원으로부터 코로나 환자를 이송
메니에르병은 노인보다 30~50세에 더 흔한 '귓병'이다. 배우 한지민, 유지태 등이 앓았다고 고백해 주목받았던 병이다. 어지럽고 주변이 빙글빙글 도는듯한 회전성 어지럼증과 청력저하, 귀가 먹먹하고 가득 찬 것 같은 이충만감, 나에게만 소음이 들리는 이명 등이 주요 증상으로 꼽힌다. 특히 "코끼리 코를 여러 바퀴 돈 것 같다" "땅이 꺼지는 것 같다"처럼 제대로 서 있기 힘든 극심한 어지럼증이 특징이다. 이석증과 증상은 비슷하지만 청각 증상이 동반되지 않는다는 차이가 있다. 귀는 청력과 더불어 전신의 균형감각을 좌우하는 핵심 기관이다. 귀는 외부에서부터 외이(外耳), 중이(中耳), 내이(內耳) 순서로 구성되는데 이 중 가장 안쪽 내이의 달팽이관(청각)과 반고리관 등 전정기관(균형)이 이 일을 도맡는다. 전정기관과 반고리관에는 림프액이 가득 차 있는데 몸을 기울이거나 돌 때, 앞뒤로 움직일 때 중력에 따라 림프액이 움직이면서 몸의 위치를 인지한다. 컵에 물을 채우고 몸을 움직이면 움