의료in 리포트
최신 건강·의학 뉴스를 한눈에! 암, 비만, 만성질환, 정신건강, 신약·치료법 등 다양한 질병과 치료 트렌드, 예방 정보, 연구 동향을 쉽고 빠르게 전달합니다.
최신 건강·의학 뉴스를 한눈에! 암, 비만, 만성질환, 정신건강, 신약·치료법 등 다양한 질병과 치료 트렌드, 예방 정보, 연구 동향을 쉽고 빠르게 전달합니다.
총 704 건
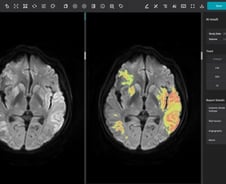
제이엘케이는 자사의 의료 인공지능(AI) 솔루션에 사상 첫 보험수가가 적용되면서 글로벌 시장에서 경쟁력이 한층 강화됐다고 7일 밝혔다. 제이엘케이의 뇌경색 유형 분류 솔루션인 'JBS-01K'는 지난달 건강보험정책심의위원회를 통과해 조만간 의료 현장에서 비급여로 비용 청구가 본격적으로 시작될 예정이다. 회사에 따르면 JBS-01K는 모든 뇌졸중 환자가 촬영해야 하는 확산강조영상(Diffusion Weighted Image, DWI)에 적용돼 유형 분석 결과를 제공한다. 뇌졸중 치료에 필수적인 분석 정보를 제공하는 만큼 임상적 중요도가 높아 의료 현장에서 많은 활용이 예상된다. 제이엘케이는 AI 의료기기의 첫 번째 비급여 적용을 통해 향후 안정적인 수익이 확보될 것으로 내다보고 있다. 특히, 보유 중인 다른 뇌졸중 제품 또한 순차적으로 비급여 시장 진출을 앞두고 있어 추가적인 매출 확대가 가능할 것으로 전망된다. 해외 진출에도 탄력이 붙을 전망이다. 제이엘케이는 이미 강력한 기술력을
대한간호협회 간호돌봄봉사단이 뇌졸중 전조증상이 있는 50대 러시아 남성을 빠르게 발견해 소중한 생명을 살렸다. 6일 간협에 따르면 봉사단원인 간호사 강은영(48), 이은정(36)씨와 인천적십자병원 공공의료본부 박미자(53) 팀장은 지난 4일 인천적십자병원 누구나진료센터를 찾은 50세 러시아 남성의 뇌졸중 전조증상이 있는 것을 확인하고 병원 응급의학과에 의뢰해 조기 처치를 진행했다. 누구나진료센터는 국민건강보험 혜택을 받지 못하는 어려운 이웃에게 매주 토요일 의료서비스를 무료로 제공하고 있다. 이주노동자였던 이 러시아 남성은 센터를 찾기 3일 전부터 두통과 어지러움, 우측 눈의 복시 및 안구 운동 제한이 있었고 혈압도 높은 상황이었다. 간호사들의 초기 대처로 응급의학과에 의뢰되어 진료받은 이 남성은 머리 CT, MRI 촬영 등을 실시한 결과 뇌동맥류가 의심돼 혈압 강하제를 투여받았다. 또 뇌혈관조영술이 필요하다는 결과에 따라 자기 거주지 인근 대학병원에 입원해 추가적인 치료를 받고
최근 한 예능 프로그램에서 웹툰 작가 겸 방송인 기안84가 42.195㎞의 마라톤 풀코스에 도전해 화제가 됐다. 두 달 만에 6㎏을 감량하며 일주일에 세 번씩 달리기에 나선 그는 체력의 한계를 정신력으로 극복하며 완주에 성공해 많은 사람을 감동하게 했다. 최근에는 풀코스 마라톤에 더해 5㎞, 10㎞, 21.0975㎞(하프 마라톤) 등 다양한 거리의 마라톤 코스 등이 등장하며 일반인의 참여도가 대폭 상승했다. 대부분 마라톤에서 완주와 기록을 중요시하지만, 달리는 것만큼 더 중요한 것이 바로 '회복'이다. 마라톤은 전신의 근육을 오랫동안 고강도로 사용하는 운동인 만큼 근육에 젖산이 축적돼 피로도가 급증하기 쉽고, 심하게는 근육이 융해되는 병(횡문근융해증)이 발생하기도 한다. 이대서울병원 정형외과 전상우(스포츠의학 전문의) 교수는 "골인 지점을 지난 후 바로 달리기를 멈추는 것은 금물"이라며 "극도로 긴장했던 근육들이 천천히 평소 상태로 돌아올 수 있도록 낮은 강도로 걷거나 움직이며 쿨
턱관절은 밥을 먹거나 물을 마실 때, 다른 사람과 대화를 나눌 때까지 종일 쉴 새 없이 움직인다. 날이 추워지면 자신도 모르게 턱이 '덜덜' 떨리기도 한다. 자주 쓰이는 만큼 고장 나기 쉽지만, 대부분은 턱관절에서 나는 '따각'하는 잡음을 일시적인 증상으로 여기거나 무시하기 일쑤다. 하지만 턱관절에 문제를 방치하다간 이명, 두통, 어깨와 목 통증 등으로 삶의 질이 뚝 떨어질 수 있다. 수면장애와 스트레스로 정신 건강마저 피폐해지는 사례도 빈번하다. 강동경희대치과병원 구강내과 박혜지 교수는 "턱관절의 퇴행성관절염이 진행하거나 뼈의 구조적 변화로 부정교합, 안면 비대칭으로 고생하는 환자도 종종 만난다"고 덧붙였다. ━20대 턱관절 장애 환자 가장 많아 "심리 요인 관여"━턱관절은 머리뼈와 아래턱뼈를 연결하는 관절로 씹게(저작) 삼키기(연하), 대화 시 발음 등을 두루 책임진다. 턱관절이나 주변 근육, 구조물에 이상이 생겨 통증 및 기능 장애가 나타나는 것을 '턱관절 장애' 또는 '측두
자생의료재단은 지난 4일 경기도 성남시 탄천변 제1체육공원에서 개최된 '제7회 자생 꿈나무 올림픽'이 성황리에 마무리됐다고 6일 밝혔다. 진한 가을의 정취 속에서 개최된 이번 자생 꿈나무 올림픽에는 성남시 지역아동센터 21곳의 어린이 350여명을 비롯한 자생의료재단· 분당자생한방병원 의료진 및 임직원, 지역아동센터 봉사자 등 100여 명이 함께했다. 참가 어린이들은 4개 팀으로 나뉘어 큰 공 굴리기, 오재미 넣기 등 가을 운동회 분위기가 물씬 나는 13개의 종목에서 선의의 경쟁을 펼쳤다. 그리고 운동장 한쪽에는 한의사 직업 체험 부스도 운영돼 어린이들의 이목을 끌었다. 이날 분당자생한방병원 의료진들은 부스에 방문하는 어린이들에게 한의학을 쉽고 재미있게 설명하며 침 치료 등 직업 체험의 기회를 제공했다. 최종 우승팀에게는 기념품과 더불어 문화상품권이 부상으로 증정됐다. 이외에 자생의료재단은 어린이들의 안전과 건강을 위해 매일 헌신하는 지역아동센터들에도 감사의 마음을 담아 사무기기,
세브란스병원이 한국생산성본부 선정 국가고객만족도조사(NCSI)에서 병원 의료서비스업 부문에서 국내 최초로 13년 연속 1위를 달성했다고 6일 밝혔다. 세브란스병원에 따르면 병원은 환자 만족을 최우선 경영 지표로 두는 '환자 가치 경영'을 실천하고 있다. 대표적인 프로그램은 2021년 3월 시작한 '꿀잠 프로젝트'로 입원 환자를 위해 병동에서 발생하는 소음을 최소화했다. 병동에서 사용하는 포장용 테이프를 무소음 테이프로 바꾸는 것부터 시작해 화장실 변기 뚜껑에는 소음 방지기를 달았다. 환자 숙면을 돕는 꿀잠 꾸러미(귀마개, 수면안대, 입원 생활 안내문)도 제공하고 있다. '공복 탈출 프로그램'도 환자들이 치료 대기시간 동안 겪는 어려움을 해소하자는 고민에서 시작했다. 검사와 시술을 앞둔 환자가 장시간 금식을 하는 것이 보통이었다. 하지만 갈증이나, 입 마름, 불안, 긴장 등 불편이 동반됐다. 세브란스병원은 금식 시간을 줄이는 동시에 당질 보충 음료를 제공해 공복 불편감을 크게 해소했
주의력결핍·과잉행동장애(ADHD)의 보조적인 치료 수단으로 디지털 치료제의 잠재적 효과를 국내 연구진이 확인했다. 최근 보건복지부가 사상 처음으로 디지털 치료제에 보험 수가안을 마련한 만큼 향후 관련 산업 발전에도 긍정적인 영향을 미칠 것으로 기대된다. 고려대 안암병원 정신건강의학과 조철현·손태혜 교수는 6~12세 27명을 대상으로 약물 치료와 함께 4주간, 매일 15분씩 에임메드의 게임 형식 디지털 치료제 시제품을 사용하게 한 결과 유의한 증상 완화 효과가 나타났다고 6일 밝혔다. 에임메드는 국산 1호 디지털 치료제인 불면증 치료제 '솜즈'의 개발사이기도 하다. 솜즈는 이르면 이달부터 대학병원 등에서 보험 수가가 적용돼 사용될 것으로 전망된다. 연구팀은 매주 ADHD 척도와 웹 기반 실험과제 도구를 이용해 타당성 연구를 진행했다. 연구 전후 종합주의력 검사와 아동 행동 평가 척도 테스트 결과를 비교 평가해 디지털 치료제의 효과를 살폈다. 그 결과, 디지털 치료제를 사용한 경우 AD
독감(인플루엔자) 의심 환자가 전주 대비 2배 가까이 증가하는 '더블링' 현상을 연상케 할 만큼 급증했다. 최근 5년 이내 동기간 최대 규모의 유행으로 코로나19(COVID-19) 팬데믹 이전의 겨울만큼 환자가 많이 발생하고 있다. 3일 질병관리청에 따르면 올해 43주차(10월 22~28일) 독감 의심 환자는 1000명당 32.6명으로 전주(1000명당 18.8명) 대비 73% 증가했다. 코로나19(COVID-19) 팬데믹 이전과 비교해도 환자가 훨씬 많다. 연도별 43주차 독감 의심 환자는 2018년 1000명당 4.9명, 2019년 1000명당 4.5명으로 올해가 8배가량 더 많다. 코로나19 팬데믹 이전(2019~2020절기)의 겨울(12월 두 번째 주, 1000명당 28.5명)보다 환자가 더 많이 나오고 있다. 연령별로는 초중고교 학생의 증가세가 두드러진다. 7~12세는 1000명당 86.9명, 13~18세는 1000명당 67.5명으로 전체 평균의 2배가 넘는다. 질병청은 "
소아청소년과 진료비가 1년 새 2배 뛰어 1조원을 넘겼다. 코로나19(COVID-19) 관련 신속항원검사 등이 주로 소아청소년과에서 실시됐기 때문이란 분석이다. 3일 국민건강보험공단과 건강보험심사평가원이 공동 발간한 '2022년 건강보험통계연보'에 따르면 지난해 건강보험 진료비는 105조8586억원으로 전년 대비 10조4210억원 증가했다. 진료비는 건강보험이 의료기관에 지불한 진료비와 환자가 의료기관에 지불한 본인부담금을 합한 것으로 비급여 진료비는 포함되지 않는다. 지난해 의원 진료비는 23조1199억원으로 전년 대비 23.17% 증가했다. 특히 소아청소년과 의원 진료비는 전년도 5134억원에서 5673억원이 더 늘어 총 1조807억원을 기록했다. 1년 만에 2배 이상 증가한 것이다. 이비인후과 역시 진료비가 전년 대비 84.7% 증가해 2조원을 넘었다. 공단 등은 "코로나19 관련 신속항원검사 등이 주로 소아청소년과와 이비인후과에서 실시되었기 때문"이라 해석했다. 소아청소년과
간(肝)은 우리 몸의 '해독 공장'이다. 체내 유입되는 독소와 노폐물의 70% 이상을 간이 처리한다. 간은 해독작용뿐 아니라 탄수화물과 지방, 아미노산의 대사 및 합성, 에너지 저장 등 500가지가 넘는 일을 책임지는 '화학 공장'이기도 하다. "피로는 간 때문이야"라는 익숙한 노래가 틀린 말은 아닌 셈이다. 간 손상의 시발점이 되는 대표적인 질환이 바로 지방간이다. 간세포에 지방이 5% 이상 쌓이는 병으로, 크게 술을 마셔 생기는 '알코올성 지방간'과 체내 잉여 지방이 쌓여 생기는 '비알코올성 지방간'으로 나뉜다. 우리나라는 전자보다 후자가 훨씬 더 흔하다. 한국인 10명 중 2~3명이 비알코올성 지방간으로 추정된다. 이문형 강동경희대병원 소화기내과 교수는 "비알코올성 지방간은 그 자체로는 대부분 증상이 없다"며 "건강검진 등으로 우연히 찾아내도 치료의 필요성을 느끼지 못해 적극적으로 관리하는 비율은 2~3%에 그친다"고 말했다. 그러나 지방간을 단순히 '뚱뚱한 간'이라며 쉽게
"아이 한명을 키우려면 온 마을이 필요하다고 하잖아요. 독감 걸린 아이 한 명이 있어도 온 마을이 다 아파요." 소아·청소년을 중심으로 독감(인플루엔자)이 확산하는 가운데 아이는 물론 어른들도 '몸살'을 앓고 있다. 감염 환자를 돌보는 의사, 학생을 지도하는 교사, 자녀를 키우는 부모 모두 '연중 유행'하는 독감에 과로와 피로감을 호소하고 있다. 현재로서 독감에 대항할 유일한 '무기'인 백신 접종에 정부가 보다 적극적으로 나서야 한다는 지적이 제기된다. 2일 질병관리청에 따르면 42주차(10월 15~21일) 독감 의심 환자는 1000명당 18.8명으로 전주(15.5명) 대비 증가했다. 40주차(1000명당 14.6명)부터 3주 연속 늘어난 것이다. 7~12세의 경우 2023~2024년 절기 유행기준인 6.5명의 7.8배 수준에 달한다. 특히 전체 연령대 중 초등학생(7~12세)이 1000명당 50.4명, 중·고등학생을 포함한 13~18세는 1000명당 39.9명으로 전체 평균(18
아침저녁으로 기온 차가 큰 환절기는 혈압 관리에 신경 써야 할 때다. 온도 변화에 대응하기 위해 혈관이 좁아지고 혈압이 상승하면 심뇌혈관질환 등 치명적인 질환으로 자칫 사망에 이를 수 있다. 하지만, 날이 추워질 때 혈압처럼 주의 깊게 관찰해야 할 눈 속 압력(안압)은 잘 모르는 경우가 태반이다. 실명을 부르는 녹내장을 포함해 알 수 없는 두통, 어지럼증도 알고 보면 안압 때문일 수 있다. 혈압이 항상 정상 수치여야 몸에 이상이 없듯 안압도 10∼21㎜Hg 정도가 정상 범위에 해당한다. 우리 눈은 공처럼 둥근데, 공에 바람이 차야 일정한 형태와 압력을 유지하듯 눈은 자체적으로 만드는 방수(눈의 물)가 지속해서 생기고 빠지며 압력을 유지한다. 안압은 방수가 너무 많으면 높아지고 적으면 줄어든다. 눈 속 압력이 오르면 눈 안쪽의 시신경이 눌리고 반대로 안압이 심하게 떨어지면 눈이 쪼그라들면서 맥락막 등 중요한 조직이 안구 벽에서 떨어져서 문제가 생길 수 있다. 특히, 추운 겨울 안압