-
전립선 스텐트·결석 흡입 내시경 "최초 도입" 글로벌 기업들 '이 병원'에 줄섰다
최근 비뇨의학과의 추세는 '최소침습'이다. 절개 범위를 최소화하고 출혈·통증을 없앤 수술 방법은 병원 문턱을 낮추고, 체력·정신적인 부담을 줄일 수 있어 모든 환자에게 환영받는다. 특히 고혈압, 당뇨병, 고지혈증과 같은 만성질환이 흔한 고령층은 합병증을 최소화한 최소침습 수술의 혜택이 더욱 크다. 강동성심병원이 올해 들어 비뇨의학과 분야에 현재까지 가장 앞선 최소침습 수술을 잇달아 최초 도입하게 된 배경이다. 개원 39주년을 맞은 강동성심병원은 비뇨의학과의 '숨은 강자'로 평가받는다. 대한남성과학회 회장을 역임한 양대열 병원장(비뇨의학과)을 중심으로 내시경·로봇 수술 등 최소침습 수술의 주목받는 '젊은 의사'가 다수 포진했다. 2016년 서울시에서 처음으로 요로결석 치료 건수 1만건을 넘은 '전통과 연륜'이 의사의 열정과 맞물리며 꽃을 피우고 있다. 요로결석, 전립선비대증, 전립선암과 같은 비뇨기계 질환은 쉬쉬하고 숨기다 병을 키우는 사례가 흔하다. 그런데도 여전히 치료를 망설이다
-
혈당 조절하고 체중 낮추는 '슈퍼 호르몬' [신간]
서울대병원 내분비대사내과 조영민 교수가 20년이 넘는 연구와 임상 경험을 바탕으로 신간 '슈퍼 호르몬'을 출간했다. 이 책은 호르몬을 통해 질병을 막고 수명을 늘리는 방법을 제시한다. '슈퍼 호르몬'은 ▲세계를 움직이는 슈퍼 호르몬의 등장 ▲호르몬 발견의 역사로 보는 질병 해방의 서막 ▲내 안의 작은 우주, 위장관이 몸과 마음을 되살리는 법 ▲체중과 건강의 시크릿 소스, 인크레틴의 모든 것 ▲비만과 당뇨에서 심장병까지, 호르몬으로 치유하는 만성질환 ▲끝없는 가능성의 세계, 슈퍼 호르몬이 이끄는 두뇌 혁명 ▲호르몬의 위대한 여정, 노화까지 늦추는 만병통치약이 온다 ▲위장관 수술을 둘러싼 오해와 진실 ▲일상에서 시작하는 호르몬 혁명 등 총 9장으로 구성된다. 책에서는 최근 주목받는 비만 치료제 '위고비(Wegovy)'를 포함한 다양한 호르몬 치료제가 비만, 당뇨병, 심혈관 질환, 지방간, 콩팥질환 등 여러 만성 질환에 미치는 긍정적인 영향을 설명하며, GLP-1 호르몬이 혈당 조절과 체
-
"의대생 유급·제적 시 의사면허 걸고 지킬 것" 서울시의사회 성명
정부와 의과대학이 3월 말까지 의대생들이 학교에 복귀하지 않을 경우 유급·제적 처리하겠다고 나서자 서울시의사회가 강력히 반발하고 나섰다. 정부가 아무런 해결책도 내놓지 못한 채 학생들에게 엄포만 내놓고 있다는 게 이들의 주장이다. 심지어 학생들을 지키기 위해 의사면허까지 걸겠다고 공언했다. 서울특별시의사회(회장 황규석)는 27일 성명서를 통해 "국가적 재난 상황에 제대로 된 정부라면, 국민들의 마음을 달래는 것이 우선"이라며 "대규모 유급·제적 사태가 발생할 경우 의사면허를 걸고 의대생 보호에 최선의 노력을 다할 것"이라고 밝혔다. 앞서 정부는 3월 말까지 의대생들이 학교에 복귀하지 않으면 학칙에 따라 유급·제적 처리하겠다고 발표했다. 이에 전국 40개 의과대학 가운데 대다수 대학이 이번 주를 '의대생 복귀 마감 시한'으로 정하고 '제적 예정 통보서'를 보내는 등 실제 조치에 나섰다. 이에 대해 서울시의사회는 "이번 사태의 원인은 정부의 일방적인 의대 정원 증원으로 촉발된 의료농단
-
사직 전공의 입대하더니 "18개월 현역병이 더 좋아"…법률자문 끝냈다
이번 달 입대한 사직 전공의 등 공중보건의사(공보의) 배치 예정자들이 직무교육을 거부하려는 움직임을 보이고 있다. 직무교육에 응하지 않으면 공보의 신분을 상실하고 현역병으로 입영해야 한다는 규정에 따라 차라리 현역 복무를 하겠다는 것이다. 일부 공보의 예정자들은 이와 관련해 법무법인에 법률자문까지 받은 것으로 확인됐다. ━직무교육 불참 시 현역병 전환━27일 보건복지부와 병무청에 따르면 지난 13일 입대한 공보의 248명 중 대다수는 현재 직무교육 거부 의사를 밝히고 있다. 통상적으로 공보의는 훈련소 입소 전 직무 교육, 시도배치 공고가 나온다. 이 후 3주간의 기초군사훈련을 받고 그 다음주에 실제 직무교육과 함께 각 지역으로 배치가 이뤄진다. 직무교육은 연차마다 1회, 1일 이뤄진다. 행정 처리 방법, 응급상황 대응 방안 등을 폭넓게 배운다. 배치되는 시·도나 복지부가 교육을 시행할 수 있는데 10년 넘게 복지부가 직접 해왔다. 이성환 대한공보의협의회(대공협) 회장은 "임기제 공
-
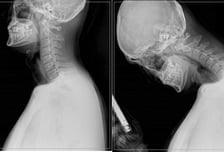
당신의 목 사진은 왼쪽? 오른쪽?…스마트폰 자주 봤더니
스마트폰 알람 소리에 눈을 뜨며 하루를 시작하는 현대인에게 스마트폰 없는 일상은 상상할 수 없다. 지난해 한국갤럽이 만 18세 성인을 대상으로 스마트폰 사용 여부를 조사한 결과, 2020년까지 90%대 초반이던 사용률은 2024년 98%까지 상승했다. 60대 이하의 사용률은 거의 100%에 이르고, 70대 이상 고령층에서도 90% 이상이 스마트폰을 사용하고 있다. 이에 따라 거북목, 일자목 증후군, 목 디스크 등 목 건강에도 '비상'이 걸렸다. ━ 장시간 고개 숙인 채 구부정한 자세...목과 척추 건강에 악영향━길을 걸을 때도, 지하철이나 버스에서도 스마트폰에 푹 빠져 있는 사람들을 흔히 볼 수 있다. SNS(소셜미디어), 게임, 쇼핑뿐 아니라 업무적인 소통까지 스마트폰은 일상을 점령하고 있다. 하지만 장시간 고개를 숙인 채 구부정한 자세를 유지하는 것은 필연적으로 목과 척추 건강에 악영향을 끼친다. 고개를 숙이면 머리가 떨어지지 않도록 붙잡는 목 근육의 수축력이 함께 작용하면서
-
'분쟁 꼬리표' 뗀 한미약품…'빅파마식 전문경영인체제' 새출발
한미약품그룹이 1년여간 이어진 '분쟁 꼬리표'를 떼고 전문경영인 체제를 강화, 본업인 신약 연구·개발(R&D)에 매진하겠다고 밝혔다. 지난달 임종훈 전 한미사이언스 대표의 사임으로 지주사 대표직에 복귀했던 송영숙 회장은 일신상 사유로 대표직을 내려놨다. 그 뒤를 이어 외부에서 영입된 김재교 부회장이 신임 대표로 선임되며 전문경영인 체제로의 전환을 본격화했다. 26일 오전 서울 송파구 한미약품그룹 본사에선 한미약품과 그룹 지주사 한미사이언스의 정기 주주총회가 연이어 진행됐다. 먼저 열린 한미약품 주총에선 최인영(한미약품 R&D센터장) 사내이사, 김재교(전 메리츠증권 부사장·현 한미사이언스 부회장) 기타비상무이사, 이영구(법무법인 대륙아주 대표변호사) 사외이사 선임 등 건이, 이후 한미사이언스 주총에선 임주현 한미사이언스·한미약품 부회장과 김재교 부회장 등 사내이사 및 최현만 전 미래에셋증권 대표이사 등의 사외이사 선임 등 부의된 안건이 모두 원안대로 가결됐다. 이날 정기주총은 지난
-
학장들 "더 해줄 게 없어"…'안전장치' 잃은 의대생들, 복귀로 이어질까
전국 의대 40곳의 등록 데드라인이 이번 주에 몰린 가운데, 대학과 의대 학장단이 '복귀하지 않을 경우 제적 처리가 불가피하다'는 입장을 고수하고 있다. 이미 데드라인을 넘긴 대학에선 돌아오지 않은 의대 휴학생들에게 제적 예정 통보서를 연달아 발송한 상황. 지난해 학생들을 끝까지 지켜주겠다던 의대 학장들마저 '돌아오지 않으면 보호해줄 수 없다'는 입장까지 내놓으면서 '안전장치'가 사라진 의대생들이 복귀에 나설지 주목된다. 25일 대학가에 따르면 전국 의대 대부분은 이번 주 학생 등록을 마감한다. 고려대와 연세대, 경북 의대는 지난 21일 등록을 이미 마쳤다. 고려대와 연세대는 미등록 의대생들에게 제적 예정 통보를 했는데, 전체 인원의 30~40%로 파악된다. 아직 돌아오지 않은 의대생 사이에선 학교로 돌아가야 한다는 주장이 계속 나오는 것으로 알려졌다. 이달 말까지 복귀하지 않으면 제적·유급이 불가피해, 학생들이 피해를 보는 게 확실해져서다. 의대 교수들 사이에선 돌아와야 한다는 목
-
유한양행 자회사 이뮨온시아, 2757억원 IPO 도전…'면역항암제 강자'
유한양행 자회사 이뮨온시아가 최대 2757억원의 기업가치를 책정하고 코스닥 시장 상장에 도전한다. 이미 4억7050만달러(약 6900억원) 규모 기술이전 경험이 있는 신약 개발 기업이다. 임상 단계에 진입한 파이프라인 2개를 보유한 면역항암제 실력자란 평가다. 주요 파이프라인의 임상 시험에 속도를 내며 글로벌 기술이전과 상업화를 동시에 추진하겠단 목표다. 이뮨온시아는 기업공개(IPO)를 통해 주요 파이프라인의 임상 연구에 집중하며 2029년 국내 첫 면역항암제를 출시하겠다고 25일 밝혔다. 이뮨온시아는 2016년 9월 설립했다. 최대주주는 유한양행으로, 지분율은 67%다. 대표 파이프라인은 면역항암제 'IMC-001'과 'IMC-002'다. IMC-001은 국내 임상 2상, IMC-002는 국내 임상 1b상을 진행하고 있다. 이 외에도 다수의 신약 후보물질을 보유했다. 이뮨온시아의 IMC-001은 'NK/T 세포림프종'(NKTCL)과 높은 종양변이부담(TMB-High) 고형암을 치료
-
서정진 셀트리온 회장 사내이사 재선임…뿔난 주주에 "실적으로 증명"
서정진 셀트리온 회장이 사내이사 재선임에 성공하며 경영 참여를 2년 더 이어가게 됐다. 회사는 지난해 사상 최대 실적에도 기대에 미치지 못했던 '짐펜트라' 성과 등을 올해 본격화 해 성장세를 이어간다는 목표다. 셀트리온은 25일 인천 송도 컨벤시아에서 열린 제 34기 정기 주주총회를 열고 서정진 회장의 사내이사 재선임을 비롯해 △재무제표 △자본준비금 감액 △이사 보수한도액 △임원퇴직금 지급규정 변경 등 5개 안건을 원안대로 가결했다. 주총은 지난해에 이어 서진석 셀트리온 대표가 의장 자격으로 이끌었다. 재선임 대상인 서 회장은 최근 성대 수술로 인한 회복으로 현장에 불참했다. 이날 주총에 상정된 5개 안건은 오전 중으로 모두 통과됐다. 2대 주주인 국민연금이 서 회장 선임안에 반대 의사를 표했지만, 현장에서 무리 없이 통과되며 변수로서 영향력을 발휘하지 못했다. 다만 주총장 곳곳에선 주주들의 불만이 터져나왔다. 지난해 6000억원에서 2500억원으로 하향하고도 실제로는 360억원에
-
"27일 이후엔 '심각한 상황'"…서울의대 학장단, 학생들에 복귀 호소
서울대 의과대학 학장단이 소속 의대생들에게 복귀 마지노선을 이달 27일로 제시하며, 이날까지 학교로 돌아와달라고 호소하는 글을 이메일로 보냈다. 서울대 의대 학장단은 25일 '학생 여러분과 학부모님께 드리는 말씀'이라는 제목의 편지를 통해 "3월27일까지 복귀하는 학생들은 교육과정에 따라 차질 없이 수업받게 될 것"이라면서 "교육의 질과 학사관리 원칙을 유지하면서 교육과정을 운영할 수 있는 마지노선은 3월27일"이라고 밝혔다. 그러면서 "이후 추가적인 교육과정 편성은 없을 것"이라면서 "무엇보다 27일 이후에는 모든 결정이 비가역적으로, 의대 학장단의 통제를 벗어나며 '학생 보호'라는 의대의 원칙, 의지와 전혀 다른 심각한 상황을 맞이할 수 있다는 점을 분명히 말씀드린다"고 말했다. 학장단은 오는 27일 오후 5시까지 1학기 등록금 미납 학생은 등록금을 납부하고 지난 학기 휴학에 따라 등록금이 이월된 경우 복학원을 제출해야 한다고 알렸다. 개인 사유에 의한 휴학 신청이 아니라고 판단
-
"우울증 걸리면 무조건 약 먹인대"…병원 피하게 되는 그 말, 사실일까?
사회 변화에 따른 불안감과 대인관계에서의 스트레스 등으로 우울증을 겪는 사람들이 급격히 증가하고 있다. 건강보험심사평가원에 따르면 국내 우울증 환자의 병원 방문 수는 2019년 81만 명에서 2023년 108만 명으로 약 33.3% 증가하며 지속해서 상승하고 있다. 특정 사건이나 경험만이 아니라 미세먼지, 스마트폰, 스트레스와 수면 부족과 같이 우리의 일상에는 언제나 우울증을 유발하는 요인들이 자리하고 있다. 이승훈 고려대 구로병원 정신건강의학과 교수는 "우울증은 단순한 우울감이 아닌 치료가 필요한 정신질환"이라며 "개인의 의지만으로 극복하기 어려운 경우가 많다"고 강조했다. ━누구나 겪을 수 있는 우울증━우울증은 생물학적, 심리적, 환경적 요인이 복합적으로 작용한다. 뇌의 신경전달물질 불균형, 유전적 요인, 호르몬 변화 등이 생물학적 원인으로 작용하며 부정적인 사고 패턴, 스트레스, 과거의 트라우마 등 심리적 요인도 영향을 미친다, 최근 들어서는 SNS나 스마트폰 중독으로 인한
-
"K-지방흡입 기여" 365mc 김남철 대표원장, 복지부 장관상 수상
지방흡입 특화 의료기관 365mc 김남철 대표원장이 '지방흡입 의료한류'에 공헌한 점을 인정받아 '2025 메디컬코리아 보건복지부 장관상'을 받았다. 24일 365mc에 따르면 지난 20일 서울 코엑스에서 열린 '2025 메디컬코리아 글로벌 헬스케어'에서 김남철 대표원장은 보건복지부 장관 유공 표창을 받았다. 메디컬 코리아 글로벌 헬스케어는 올해로 15번째 진행되는 정부 주최 행사다. 한국 의료의 해외 진출과 외국인 환자 유치, 해외 의료인 국내 연수 등 글로벌 헬스케어 활성화의 일환으로, 매년 시상을 이어왔다. 이 행사는 전 세계 헬스케어 전문가들이 모여 강연과 토론을 통해 글로벌 헬스케어의 최신 동향과 지식을 공유하는 장이다. 또 환자 유치, 의료기관 해외진출 등 보건의료 산업 분야에서 국제적 협력을 도모하는 장소 역할도 겸한다. 이날 현장엔 △복지부 박민수 차관 △개혁신당 이주영 의원(보건복지위원회) △한국보건산업진흥원 차순도 원장 △김영태 서울대병원장 등 정부·의료계 주요 인