-
뷰노, 3분기 누적 매출액 36억원…작년 연간 매출 벌써 넘어서
의료 인공지능(AI) 기업 뷰노가 올해 3분기 연결기준 매출액 36억원을 기록했다고 14일 밝혔다. 이는 전년 동기 8억4000만원 대비 3배 이상(330%) 증가한 수치로 지난 분기(30억1000만원)보다 약 20% 증가했다. 벌써 누적 매출액 83.5억원을 기록해 전년 연간 매출(82억7000만원)을 초과 달성했다. 뷰노의 3분기 영업손실은 약 18억원으로 전분기(53억원) 및 전년 동기(약 45억원)와 비교해 큰 폭으로 개선됐다. 누적 기준 영업손실은 약 112억원으로 전년 동기 약 156억원에 비해 많이 감소했다. 지난 분기 현금 유출이 없는 회계적인 콜옵션 이전 비용 등 일회성 비용이 제외됐고, 주요 제품의 매출은 많이 늘어난 덕분이다. 의료영상 제품군은 전년 동기 대비 20% 이상의 매출 증가를 기록했다. 해외 매출도 지난 분기 대비 약 60%, 전년 동기 대비 약 200% 증가했다. 뷰노 관계자는 "주력 제품인 AI 기반 심정지 예측 의료기기 '뷰노메드 딥카스'가 이번
-
고려대의료원, KMI한국의학연구소와 'K-의료' 전파 나선다
고려대의료원과 KMI한국의학연구소(이하 KMI)가 함께 대한민국 의료의 우수성을 알리는 한편 해외 환자 유치 활성화에 나선다고 14일 밝혔다. 양 기관은 지난 13일 고려대 메디사이언스파크 본부회의실에서 윤을식 고려대 의무부총장과 이광배 KMI 기획조정실장을 비롯해 양 기관의 관계자들이 참석한 가운데 업무협약을 체결했다. 이번 협약으로 양 기관은 K-의료의 우수성을 해외에 널리 알리고, 보건의료 분야 발전을 위한 다각적인 협력 방안을 모색하는 데 합의했다. 특히, 외국인 환자 유치 사업을 비롯해 진료 분야의 협력과 네트워크를 활성화하고 다양한 사업을 모색해 나간다는 계획이다. 윤을식 의무부총장은 "KMI와의 이번 협약을 통해 우리 대한민국 의료의 우수성을 해외에 널리 알리고 다가오는 2028년의 '100주년'까지 다양한 국제화 전략을 통해 세계적인 메디컬 브랜드로 도약할 것"이라고 말했다. 이광배 KMI 기획조정실장은 "고려대의료원의 우수한 역량을 바탕으로 함께 협력해 우리 의료의
-
'이브데이'하는데 "쉬긴 하잖아"…간호사 우울증 키우는 한마디
간호사, 경찰관, 소방관, 돌봄 노동자 등 교대 근무 근로자 10명 중 3명이 우울증을 앓는다는 조사 결과가 나왔다. 우울증 위험은 긴 교대근무 시간, 짧은 휴식과는 각각 큰 연관성이 없었지만 이 두 가지 요인에 동시에 노출되면 유의하게 증가하는 것으로 나타났다. 간호사의 경우 16시간가량을 연속 근무하는 '더블듀티'보다 '이브데이'(이브닝(오후) 근무 후 데이(오전) 출근) 등의 근무 형태가 우울 위험을 더 높일 수 있다는 의미다. 이준희 순천향대서울병원 직업환경의학과 교수와 박성진 강남지인병원 직업환경의학과 전문의, 이종인 가톨릭대서울성모병원 직업환경의학과 교수 연구팀은 2020년 조사된 제6차 근로환경조사에 참여한 교대근무자 3295명의 자료를 분석한 결과 이 같은 사실을 확인했다고 13일 밝혔다. 연구팀은 지난 한 달 동안 1회 이상 하루 10시간 이상 근무한 경우를 긴 교대근무로 정의했다. 또 한 달 동안 연속된 교대근무 사이의 휴식 시간이 11시간 미만인 경우가 1회 이
-
노사연 "청력 잃었다" 충격 고백…단 3일만에 청력 잃는 '이 질환'
소리가 잘 들리지 않는 난청은 노화로 인한 자연스러운 변화라 여기지만, 최근에는 젊거나 특별한 외상이 없이 난청이 찾아오는 경우가 드물지 않다. 특히, 그중에서도 3일 만에 청력이 급격히 떨어지는 '돌발성 난청'은 남녀노소를 가리지 않고 발병해 주의가 요구된다. 가수 노사연은 몇 년 전 방송에서 '돌발성 난청'으로 청력을 잃었다는 사실을 고백한 바 있다. "비행기를 탄 것처럼 한 쪽 귀가 들리지 않았다"(가수 이하이) "원인 모를 소음과 구토로 죽고 싶을 만큼 고통스러웠다"(개그우먼 김숙). 이와 같이 돌발성 난청은 '천의 얼굴'을 가진 질환이기도 하다. 돌발성 난청은 특별한 원인 없이 3일 이내에 갑자기 발생하는 감각신경성 난청(소리를 전기 신호로 바꿔주는 달팽이관이나 청신경의 원인으로 발생하는 난청)을 말한다. 순음청력검사에서 3개 이상의 연속된 주파수에서 30dB 이상의 난청이 발생할 때 진단한다. 주로 바이러스 감염이나 달팽이관(와우)·내이 등 귀속 혈관 문제로 발병하지만,
-
"싱거워" 소금 푹푹 넣는 흡연자들…이 '장기' 망가진다
흡연자는 비흡연자보다 소금 섭취량이 더 많고 이에 따라 신장이 망가져 소변에 알부민이 섞여 나오는 알부민뇨증의 위험이 크다는 연구 결과가 나왔다. 고려대안암병원 신장내과 오세원 교수는 13일 국민건강영양조사(2008~2011년과 2014~2018년) 데이터를 기반으로 흡연과 소금 섭취, 알부민뇨증의 관계를 규명한 결과, 이 같은 사실을 확인했다고 밝혔다. 오 교수는 이번 연구를 위해 국민건강영양조사 참여자 8만4332명 중 추정 사구체여과율이 분당 60 이상(≥60 mL/min/1.73㎡)으로 건강한 성인 3만7410명의 데이터를 분석했다. 기존에 "하루 몇 갑씩 피운다"와 같이 대상자의 주관적인 진술에만 의존했던 흡연 상태를 코티닌·크리아티닌 비율을 활용해 객관적으로 검증하고 소금 섭취와 알부민뇨증 위험의 연관성을 객관적으로 평가했다. 그 결과 코티닌·크리아티닌 비율은 현재 흡연자가 가장 높았고 간접흡연자, 비흡연자 순이었다. 소금 섭취와 흡연 상태 사이의 관련성을 분석한 결과,
-
제이엘케이, 자사주 매입·소각 단행…"비등기 임원 주식 매도 사죄"
제이엘케이가 주주환원 정책으로 자사주 매입과 소각을 단행할 계획이라고 13일 밝혔다. 최근 비등기 임원의 주식 매도에 대해 투자자의 불안이 커질 것을 우려한 조치다. 김동민 제이엘케이 대표는 홈페이지에 직접 사과문을 게재하고 "현직 비등기 임원이 개인적인 사정으로 보유 주식을 장내 매도했다"며 "주주와 투자자에게 걱정을 끼쳐드려 현직 대표이사로서 머리 숙여 사죄드린다"고 밝혔다 금융감독원 전자공시시스템에 따르면 제이엘케이는 지난 10일 이명재 부사장과 강신욱 부사장이 각각 1.51%(24만2500주)씩 총 3.02%를 5거래일에 걸쳐 장내매도했다고 공시했다. 김 대표는 "허혈성 뇌졸중 AI 솔루션 'JBS-01K'의 국내 비급여 수가 호재, 대뇌혈관 폐색 AI 솔루션 'JBS-LVO'의 미국 임상 진행 등 현재 진행 중인 다양한 사업 현황 등을 감안하면 상당히 당혹스럽기도 하다"며 거듭 사과의 뜻을 밝혔다. 그러면서 김 대표는 "이번 사태에 대한 윤리적 책임과 도의를 다하고자 한다
-
여름·겨울 안 가리고 독감 활개치는데…"백신 안 맞아" 꺼리는 시민들
독감(인플루엔자)의 기록적인 유행으로 백신 접종의 중요성이 한층 강조되지만 '골든타임'인 11월이 돼도 백신 접종률은 좀처럼 늘지 않고 있다. 반복되는 백신 접종에 누적된 피로감, 오해와 루머들이 얽혀 '백신 포비아' 현상을 낳았다는 평가다. 코로나19(COVID-19)와 달리 독감 백신은 지난 수 십년간 안정성과 효과가 검증됐다는 점에서 과도한 걱정은 경계해야 한다는 게 전문가들의 의견이다. 일반인도 백신에 대한 효능과 부작용을 손쉽게 확인할 수 있도록 정부가 보다 적극적으로 나서야 한다는 지적이 제기된다. 8일 질병관리청에 따르면 10월 마지막 주(43주차, 10월 22~28일) 독감 의심 환자는 1000명당 32.6명으로 전주 대비 73% 급증했다. 최근 5년 이내 동기간 최대 규모의 유행이다. 특히 학교와 학원 등에서 집단 생활하는 10대 연령대의 증가세가 두드러진다. 7~12세가 1000명당 86.9명, 13~18세는 1000명당 67.5명으로 이번 절기 독감 유행 기준(
-
뷰노, AHA 2023서 AI 기반 심전도 연구 논문 4편 발표
의료 인공지능(AI) 기업 뷰노가 오는 11~13일 미국 펜실베니아에서 열리는 '2023년 미국심장협회 연례학술대회'(이하 AHA 2023)에서 연구 논문 4편이 채택됐다고 8일 밝혔다. AHA는 매년 3만 명 이상의 연구자들이 참석하는 심장 분야 세계 최고 권위의 국제학술대회다. 이번 AHA 2023에서 뷰노는 인공지능 기반 심전도 분석 소프트웨어인 '뷰노메드 딥ECG'의 질환별 세부 모델 2종(딥ECG-AMI, 딥ECG-LVSD)을 처음으로 공개할 예정이다. 인공지능으로 심전도 데이터를 분석해 각각 급성심근경색과 심부전을 검출하는 딥러닝 모델로, 현재 제품화를 위해 우리나라에서 확증 임상시험을 진행하고 있다. 뷰노에 따르면 급성심근경색을 탐지하는 딥러닝 모델인 '딥ECG-AMI'는 병원에서 측정하는 표준 12유도심전도 데이터를 분석해 급성심근경색 환자를 높은 정확도로 탐지했다. 급성 심근경색은 발병 후 2시간 이내에 혈관재개통술을 해야 생존율이 높고 후유증을 최소화할 수 있다.
-
[단독]"감기랑 비슷" 경남서 '백일해' 환자 속출…모두 1세~11세 어린이
독감의 이례적인 유행에 이어 경상남도를 중심으로 백일해 환자가 급증해 지역 의료계와 방역 당국이 촉각을 곤두세우고 있다. 앞서 2015년 백일해가 퍼졌을 때와 유행 양상이 비슷해 전국적인 확산도 배제할 수 없는 상황이다. 8일 경상남도의사회에 따르면 지난달부터 한 달여 간 창원시 마산, 의령군, 함안군 등에서 백일해 환자가 총 23명 발생했다. 구체적으로 창원시 마산에서 19명, 의령군 1명, 함안군 3명이다. 환자는 모두 1세부터 11세의 어린이로, 의사회는 특정 어린이집과 초등학교에서 집단생활을 하다 감염이 확산한 것으로 추정하고 있다. 백일해는 보르데텔라 백일해균(세균)에 의한 호흡기 감염병이다. 보통 여름과 가을에 환자가 많이 발생한다. 코로나19(COVID-19)가 등급 하향되기 전과 같은 2급 감염병으로 2명 이상 발생하면 '집단 발병'으로 볼 만큼 감염력이 강해 환자 발생 시 24시간 이내 방역 당국에 신고, 격리 조치를 해야 한다. 백일해의 초기 증상은 콧물, 결막염
-
와이브레인 "우울증 전자약 실증임상 환자모집 70% 달성"
전자약 플랫폼기업인 와이브레인이 자사의 우울증 전자약 '마인드스팀'의 실증 임상의 환자모집을 70% 달성했다고 7일 밝혔다. 와이브레인은 지난해 보건복지부가 선정한 제1차 보건의료기술연구개발사업의 전자약 기술개발에 대한 연구과제의 일환으로 '우울증 환자 대상 경두개직류자극술(transcranial direct current stimulation, tDCS)의 임상 현장 실증 연구를 진행하고 있다. 마인드스팀은 지난 2021년 식품의약품안전처의 허가를 받은 세계 최초의 재택용 우울증 전자약이다. 실증임상에 참여하는 환자는 병원에서 우울증 치료를 받는 환자로, 마인드스팀을 처방해 총 6주간 환자가 자가 적용을 통해 재택 치료를 진행하게 된다. 연세대 용인세브란스병원, 한림대 춘천성심병원, 가톨릭관동대 국제성모병원, 국민건강보험공단 일산병원, 명지의료재단 명지병원 등 총 5개 병원이 참여한다. 이번 실증임상을 통해 와이브레인은 환자들의 실사용 데이터 확보와 전자약 치료의 기술 근거를 도
-
의사 늘면 '공공의료'도 산다? "공무원만 좋은 일" 날 선 의료계
지역·필수의료 육성을 위해 추진 중인 의대 정원 확대가 정작 공공의료원 운영에 미치는 영향은 미미할 것이란 관측이 제기된다. 군·면 등은 로컬 병·의원만으로 경증 환자의 처치가 충분하고 중증 환자도 대형 사립대병원을 선호해 설령 의사가 있더라도 환자가 찾지 않아 '적자 상황'을 피하기 어렵다는 이유에서다. 일각에서는 '공공의료 살리기'란 명목하에 정치인과 공무원이 자기 배만 불리고 있다는 비난도 나온다. 7일 의료계에 따르면 공공의료원의 적자는 심각한 상황이다. 보건의료노조에 따르면 올해 전국 35개 지방의료원의 적자 규모는 평균 84억원가량으로 총 3000억원 규모에 달할 것으로 전망된다. 코로나19(COVID-19) 팬데믹(세계적 대유행)을 거치며 상황이 더 나빠졌다는 게 노조의 진단이다. 보건노조는 "코로나19 치료와 관련이 없는 많은 의사가 이직하고, 일반 환자도 줄어들면서 의료기관의 기능이 상당 부분 훼손됐다"며 "현금 보유가 바닥나 약제비 대금을 늦추고 임금이 체불되는
-
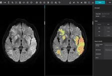
'의료AI 1호' 제이엘케이 "뇌졸중 '풀 솔루션'으로 글로벌 경쟁력 강화"
제이엘케이는 자사의 의료 인공지능(AI) 솔루션에 사상 첫 보험수가가 적용되면서 글로벌 시장에서 경쟁력이 한층 강화됐다고 7일 밝혔다. 제이엘케이의 뇌경색 유형 분류 솔루션인 'JBS-01K'는 지난달 건강보험정책심의위원회를 통과해 조만간 의료 현장에서 비급여로 비용 청구가 본격적으로 시작될 예정이다. 회사에 따르면 JBS-01K는 모든 뇌졸중 환자가 촬영해야 하는 확산강조영상(Diffusion Weighted Image, DWI)에 적용돼 유형 분석 결과를 제공한다. 뇌졸중 치료에 필수적인 분석 정보를 제공하는 만큼 임상적 중요도가 높아 의료 현장에서 많은 활용이 예상된다. 제이엘케이는 AI 의료기기의 첫 번째 비급여 적용을 통해 향후 안정적인 수익이 확보될 것으로 내다보고 있다. 특히, 보유 중인 다른 뇌졸중 제품 또한 순차적으로 비급여 시장 진출을 앞두고 있어 추가적인 매출 확대가 가능할 것으로 전망된다. 해외 진출에도 탄력이 붙을 전망이다. 제이엘케이는 이미 강력한 기술력을