
제이엘케이는 자사의 의료 인공지능(AI) 솔루션에 사상 첫 보험수가가 적용되면서 글로벌 시장에서 경쟁력이 한층 강화됐다고 7일 밝혔다. 제이엘케이의 뇌경색 유형 분류 솔루션인 'JBS-01K'는 지난달 건강보험정책심의위원회를 통과해 조만간 의료 현장에서 비급여로 비용 청구가 본격적으로 시작될 예정이다.
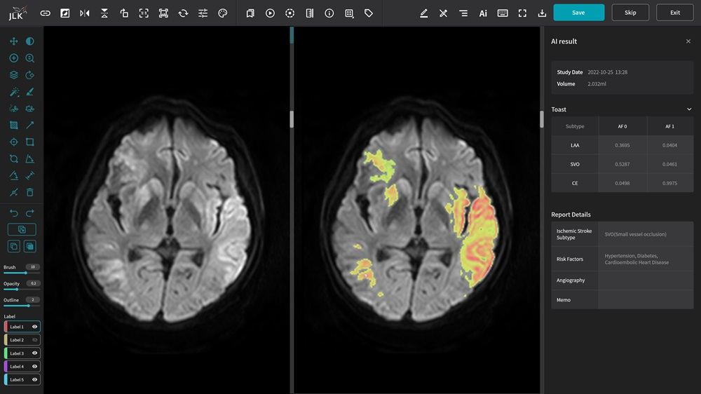
회사에 따르면 JBS-01K는 모든 뇌졸중 환자가 촬영해야 하는 확산강조영상(Diffusion Weighted Image, DWI)에 적용돼 유형 분석 결과를 제공한다. 뇌졸중 치료에 필수적인 분석 정보를 제공하는 만큼 임상적 중요도가 높아 의료 현장에서 많은 활용이 예상된다. 제이엘케이는 AI 의료기기의 첫 번째 비급여 적용을 통해 향후 안정적인 수익이 확보될 것으로 내다보고 있다. 특히, 보유 중인 다른 뇌졸중 제품 또한 순차적으로 비급여 시장 진출을 앞두고 있어 추가적인 매출 확대가 가능할 것으로 전망된다.
해외 진출에도 탄력이 붙을 전망이다. 제이엘케이는 이미 강력한 기술력을 기반으로 뇌졸중 전 주기를 대응하는 세계 최다(11개) 솔루션을 보유하고 있다. 최근 대한뇌졸중학회 공식 학술지(Journal of Stroke)에 실린 국내 연구에 따르면 'JBS-01K'의 뇌경색 검출률은 98.1%로 동일 솔루션인 미국의 'RAPID MRI' 검출률(39%)을 크게 앞서는 등 기술력도 인정받고 있다.
코스닥 상장 1호 의료 AI기업이자 인공지능 분야 혁신의료기술 중 '국내 1호'로 건강보험 급여 적용까지 완료된 만큼 해외 시장에서도 제이엘케이에 긍정적인 평가가 뒤따를 것으로 기대된다. 제이엘케이 관계자는 "뇌졸중의 전주기 대응이 가능한 '풀 솔루션'을 기반으로 글로벌 시장에서의 경쟁력을 강화해 나갈 것"이라고 말했다.