-
전·갈비·송편 못 참고 또 쪘다…그릇 색만 바꿔도 식욕 '뚝'
이번 추석은 주말 포함 5일간 이어지면서 과식하거나 칼로리 높은 음식을 접할 기회가 여느 때보다 더 많다. 실제로 평소 식사량을 절제하지 않는 사람이 추석 때 먹는 열량은 하루 2515㎉로 평일(1755㎉)보다 43.3%나 많다는 국내 연구 결과가 있다. 이런 이유로 연휴 전보다 몸무게 2~3㎏ 찌기에 십상이다. 그렇다고 평소에 맛보기 힘든, 맛있는 명절 음식을 포기하기엔 아쉽다. 기왕이면 살 덜 찌게 먹는 법은 없을까. '포만감'을 빨리 느끼면 먹는 양을 줄일 수 있다. 김형미 동덕여대 식품영양학과 겸임교수는 "식사 직전에 식혜 100㎖(종이컵 반 정도)를 마시거나 사탕 한 알을 먹으면 과식을 막는 데 도움된다"고 조언했다. 이는 단순 당이 뇌의 에너지원으로 빠르게 흡수돼 뇌에서 포만감을 먼저 느낀다. 이 방법은 뇌를 속여 식욕을 일시적으로 떨어뜨리는 기전이다. 단, 혈당을 조절해야 하는 당뇨병 환자에겐 이 방법이 권장되지 않으며, 이들은 식혜 대신 충분한 양의 물을 먼저 마시는
-
한국에만 있는 '이 병'…명절 때 응급실 실려 가는 의외의 이유
매년 온가족이 한자리에 모이는 즐거워야할 명절만되면 두통, 짜증같은 증상을 호소하는 사람들이 늘어난다. 이른바 스트레스성 질환인 '명절 증후군'이다. 명절증후군은 우울·불안·초조·불면·무기력·분노 같은 정신 증상뿐 아니라 어지럼증, 두통, 소화불량, 복통, 심장 두근거림, 피로감 등 신체 증상으로도 나타난다. 실제로 심정지 발생률이 평일보다 명절에 더 높다는 연구 결과도 있다. 메디플렉스 세종병원 심장내과 연구팀이 2012~2016년 전국 응급실을 찾은 '병원 밖 심정지' 환자(사고·자살 제외) 9만5066명을 분석했더니 설·추석 연휴에 하루 평균 60.2명이 심정지로 쓰러졌는데, 이는 평일(51.2명), 주말(53.3명), 공휴일(52.1명)보다 많았다. 이 같은 두통, 짜증, 복통, 우울함 같은 증상은 명절 1~2주 전부터 나타난다. 가천대 길병원 정신건강의학과 조서은 교수는 "오랜만에 많은 가족이 모이면서 가족 관계 이면의 갈등이 원인이 돼 다양한 증상을 호소하는 사람이 증가한
-
쓰레기만 든 게 아니었어?...북한이 띄운 풍선 만지면 벌어지는 일
북한이 계속 날려 보내는 오물풍선엔 분변 가루, 담배꽁초와 각종 쓰레기가 담겼다. 독극물 같은 치명적인 위해 물질이나 폭발물, 생화학 무기 등은 발견되지 않았지만, 그렇다고 맨손으로 만져선 안 되는 '건강상의 이유'가 있다. 다름 아닌 '기생충'이 발견돼서다. 통일부가 북한발 오물풍선 70여 개를 수거해 분석한 결과, 오물에선 기생충 중에서도 회충·편충·분선충이 검출됐다. 과연 호기심에 오물풍선 내용물을 만졌다가 이들 기생충의 유충(어린 것), 성충(다 큰 것)이나 알에 자칫 감염되면 어떤 일이 일어날 수 있을까. 회충(蛔蟲)은 암컷이 20~35㎝(너비 4~6㎜), 수컷이 14~30㎝(너비 3~4㎜)로 사람의 소장에 기생한다. 회충에 감염되면 대부분은 증상이 없지만 가벼운 위장 증상, 영양장애부터 심하면 장폐색증까지 유발하는 경우도 있다. 회충 유충이 폐에 침입하면 회충성 폐렴을 일으킬 수 있다. 특히 한꺼번에 많은 알이 사람 몸에 들어오면 감염 후 3일경부터 열이나고 두통, 기침,
-
"기분 좋은 단맛" 추석음식 간 낼 때 설탕 대신 '이것' 넣어보세요
명절음식의 간을 할 때 설탕을 듬뿍 쓰는 경우가 많다. 하지만 설탕은 칼로리뿐 아니라 혈당 수치를 빠르게 높인다. 이럴 때 설탕 대신 파인애플·배·키위나 볶은 양파를 사용하면 어떨까? 이기원 서울대 푸드테크학과 교수는 "단맛을 낼 때 과일·채소를 활용하면 설탕을 더 적게 쓰고도 깊고 풍부한 단맛을 낼 수 있다"고 설명했다. 양파를 가열하면 매운맛 성분이 분해돼 단맛을 내는 성분이 풍부해진다. 불고기 양념을 만들 때 일반 레시피보다 양파 사용량을 3~4배 늘리면 설탕 사용량을 3분의 1로 줄일 수 있다. 참고로 우리나라에서 많이 먹는 양파 품종은 황양파와 적양파다. 황양파는 저장성이 뛰어나고 매운맛이 강한데, 익히면 단맛과 감칠맛이 높아진다. 적양파는 수분이 많고 단맛이 나서 날것 요리에 주로 쓰인다. 양파는 닭가슴살, 소고기, 등푸른 생선과 함께 가열조리하면 감칠맛이, 풋사과·파프리카·토마토와 함께 가열하면 단맛이 더 강해진다. 양파가 지닌 고유의 단맛과 감칠맛을 잘 활용하면 음식을
-
커피 하루 2~3잔 여성의 몸에서 생긴 변화…남자는? '글쎄'
성인 여성이 블랙커피(아메리카노)를 하루 2~3잔 즐기면 '죽음의 5중주'로 통하는 대사증후군 발생 위험을 34% 낮출 수 있다는 연구 결과가 국내에서 나왔다. 여성이 블랙커피를 하루 3잔 이하 마시면 혈관 건강에 이로운 혈중 HDL 콜레스테롤 수치는 높아지고, 혈관 건강에 해로운 혈중 중성지방 수치는 낮아졌다. 15일 한국식품커뮤니케이션포럼(KOFRUM)에 따르면 경희대 식품영양학과 제유진 교수팀이 2016∼2021년 국민건강영양조사에 참여한 19~64세 성인 1만4631명을 대상으로 커피 소비와 대사증후군 간의 관계를 분석한 결과 이같이 드러났다. 이 연구 결과(한국 성인의 커피 소비와 대사증후군의 연관성, Association between coffee consumption and metabolic syndrome in Korean adults)는 '유럽임상영양학회지'(EJCN) 최근호에 실렸다. 제유진 교수팀은 24시간 식이 회상법을 사용해 소비한 커피의 종류와 양을 포함한
-
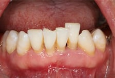
"웃겨도 못 웃어 슬퍼보여"…잇몸 내려앉아 웃지도 못하는 '이 병'
#. 50대 A씨는 요즘 양치할 때나 거울을 볼 때마다 시름이 깊다. 바로 눈에 띄게 내려앉은 잇몸 때문. 드러난 치아 뿌리 때문에 양치질할 때 바늘로 찌르는 듯한 통증과 시린 증상이 밀려온다. 게다가 웃거나 말할 때마다 내려앉은 잇몸이 노출되는 탓에, 사람들의 시선이 느껴지는 것 같아 심리적으로 위축된다. A씨처럼 잇몸 조직이 소실되며 치아 뿌리 방향으로 치아와 치은 부착 부위가 이동하는 현상을 '치은퇴축'이라고 한다. 한 번 내려앉은 잇몸은 심미적 문제 외에도 통증을 동반할 수 있다. 치은퇴축이 발생하는 대표적인 요인은 불량한 구강위생으로 인한 치주질환이다. 치아와 잇몸 사이 틈새인 '치은열구' 내에 세균성 치태가 쌓이면서 잇몸 염증이 생기기 시작하는데, 이때 하방의 치조골(잇몸뼈)을 녹이면서 잇몸도 따라 내려간다. 관악서울대치과병원 김윤정(치주과 전문의) 교수는 "지나치게 단단한 칫솔모를 사용해 과도한 칫솔질을 하는 것, 이갈이 등의 악습관도 잇몸 퇴축을 촉진할 수 있다"며 "
-
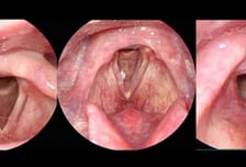
"자도 자도 떡실신" 머리 아파 병원 갔더니…뜻밖의 진단
#. 직장인 A씨는 낮에 피곤함을 많이 느낀다. 잠을 자도 개운한 느낌이 없으며 목이 아프고 두통이 느껴진다. A씨는 병원에서 '수면 무호흡증'으로 진단받았다. 수면 무호흡증은 수면 중 호흡이 없는 상태를 의미한다. 잠잘 때 숨을 쉬는 뇌의 기능 상태가 저하해 근육 긴장이 떨어지면서 입천장과 식도 사이의 인·후두 부위에 협착·폐색이 일시적으로 발생한다. 결국 호흡의 불안정과 깊은 수면 및 렘수면으로 진행되지 못한다. 잠을 취하더라도 중간중간 수면이 끊어진다. 건강보험심사평가원에 따르면 2022년 수면 무호흡증 환자는 11만3224명으로 2018년(4만5067명)보다 2배 이상 증가했다. 강릉아산병원 뇌신경검사실 임수환 교수는 "숨을 적절하게 쉬지 못하면서 산소포화도가 떨어지고, 이런 증상이 반복되면 정상적으로 잘 수 없는 '수면 분절'이 발생한다"며 "전체적인 수면 효율이 떨어져 침대에 누워있는 시간이 길어도 피곤한 상황이 발생한다"고 말했다. ━나이 들거나 뱃살 많아도 나타날 수
-
헬리코박터균 방치해 위궤양 생긴 사람, 치매 발생 위험 3배 높았다
헬리코박터 파일로리 균에 감염되면서 생긴 위궤양이 치매 발생 위험을 높여, 헬리코박터 제균치료를 빨리 시작해야 치매 위험을 낮춘다는 국내 연구 결과가 국제학술지에 실렸다. 장 건강을 위한 헬리코박터 균 치료가 뇌 건강도 지키는 새로운 치료 전략이 될 것으로 보인다. 헬리코박터 파일로리 균은 소화성궤양을 유발하는 대표적인 균으로 위와 십이지장 점막에 서식한다. 혈관뇌장벽을 통과하여 뇌내 신경염증을 유발하고, 알츠하이머병의 주요 병리인 아밀로이드베타 단백질과 타우 단백질의 침착에도 영향을 미칠 수 있는 것으로 보고되고 있다. 또한, 헬리코박터 감염 소화성궤양은 신경세포 재생에 중요한 역할을 하는 영양소의 흡수를 방해하고, 장내균총(microbiome)에 변화를 일으켜 치매 발병 위험을 높일 수 있는 것으로 알려져 있다. 가톨릭의대 정신건강의학과 서울성모병원 강동우 교수(제1저자), 여의도성모병원 뇌건강센터 임현국 교수(교신저자) 연구팀은 국민건강보험공단 데이터베이스를 활용해 55~79세
-
위내시경 검사받고 "종양입니다"…덜컥 겁부터 낼 필요 없는 이유
위내시경 검사에서 '위 점막하 종양(위 상피하 종양), 의료진 상담 요망'이란 문구를 보고 덜컥 겁부터 먹는 사람이 적잖다. 검진 결과지에 '종양'이란 단어를 보면 암은 아닐지 걱정부터 앞서는 경우가 많아서다. 하지만 종양도 종류가 다양한 데다, 발병 부위·크기에 따라 치료법이 달라지므로 양성·악성 여부를 파악해 정확히 진단받는 게 급선무다. 경희대병원 소화기내과 장재영 교수에게 위 점막하 종양(위 상피하 종양)의 종류와 진단·치료법에 대해 들어본다. ━섣불리 암 판단 NO…'벽 외 압박'과 혼동할 수도 ━위내시경 검사를 받은 사람의 3~4%가 점막하 종양이 발견된다. 장재영 교수는 "'종양'이라는 단어에 집중한 나머지 당혹해하고 불안해하는 환자가 많다"며 "위 점막하 종양은 점막하층·근육층에서 만들어진다. 정상 점막으로 덮여 있으면서 위장관으로 툭 튀어나온 혹·덩어리 형태로 관찰되며 식도·위·십이지장·결장 등 모든 위장관에서 발생할 수 있다"고 강조했다. 위 점막하 종양은 종양의
-
아직 젊은데…'40세 전' 당뇨병 걸리면 생기는 일
40세 이전에 2형 당뇨병으로 진단받은 사람은 40세 이하의 일반인보다 심혈관 질환에 걸리거나 일찍 사망할 가능성이 훨씬 더 크다는 연구 결과가 나왔다. 당뇨병은 전 세계에서 5억 명 이상이 앓고 있다. 우리나라에서도 30세 이상 성인 6명 중 한 명이 당뇨병을 앓고 있다. 당뇨병은 심근경색, 뇌졸중, 말초 동맥 질환, 콩팥 질환을 포함한 여러 혈관 합병증의 위험이 높아 조기 사망에 이른다. 특히 젊은 성인에서 2형 당뇨병이 생기면 합병증의 조기 발병과 높은 입원율로 이어진다. 인하대병원 내분비내과 연구팀(서다혜·조용인·안성희·홍성빈·김소헌 교수)은 전 국민을 대상으로 조사된 국민건강보험공단 자료를 활용해 2012~2014년 2형 당뇨병으로 처음 진단받은 18세 이상 성인 63만4000명과 성별, 연령, 심혈관질환 과거력을 매칭한 정상 대조군 126만8700명을 대상으로 6년간 추적 분석을 실시했다. 연구팀은 2형 당뇨 진단 연령에 따른 심혈관 질환 유병률 및 사망률을 대조군과 비교
-
난소암 재발, 3개월 시한부?…"10년 넘게 산다" 의학계 반색한 치료법
난소암은 여성에게 발생하는 암 중 사망률이 높다. 그런데도 조기 발견이 어렵기로 유명하다. 난소암이 재발하면 환자가 아무리 치료받아도 더 쓸 치료법이 없으면 생존 기간은 3개월 미만이다. 난소암 치료 효과를 높이는 데 의학계가 고군분투하는 배경이다. 다행히 최근 식품의약품안전처로부터 치료목적 사용승인을 받은 난소암 면역치료제 후보물질(오레고모밥·oregovomab)에 대한 기대감도 높아졌다. 황인환 대전을지대병원 혈액종양내과 교수에게서 난소암 치료가 어려운 이유, 의학계가 기대하는 난소암의 새 치료법에 대해 들었다. 난소암은 암이 상당히 진행하기까지 특별한 증상이 나타나지 않는 경우가 많다. 간혹 증상이 나타나더라도 아랫배나 배의 불편감, 통증, 소화기 장애로 인한 증상이어서 다른 질환으로 오인하다가 진단이 늦어진다. 난소암으로 진단받는 환자 대부분은 덩어리(종괴)가 만져지고 나서야 비로소 병원을 찾는데, 이미 진행한 경우가 많다. 황인환 교수는 "난소암이 발견되면 대부분 진행성 난
-
술 마시며 담배 한 모금 '뽁'… 머리·목에 장애 유발하는 '이 암'
먹고, 말하고, 마시는 공간에 발생하는 암이 두경부암이다. 자칫 장애를 유발하지만 진단, 추적 관찰이 쉬워 일찍만 발견하면 완치할 수 있다. 흡연과 음주, 구내염, 노화, 바이러스 등 두경부암을 일으키는 원인은 다양한데, 최근 발생 빈도가 늘었다. 서울시보라매병원 이비인후과 이비인후과 이도영 교수에게 두경부암은 무엇이고 그 원인과 종류, 치료 방법을 들어본다. ━환자 90% 이상은 술·담배 즐기다 발병━두경부암은 뇌암·안구암을 제외하고 머리·목에 생기는 모든 암을 일컫는다. 두경부 안에 있는 각 조직(혀·코·후두·성대)에 발생하는 암의 빈도가 낮기 때문에 '두경부'라고 통칭한다. 두경부암은 어느 부위에 발생하든 '점막'이라는 똑같은 세포에서 발생하므로 치료 방법, 병기, 수술 방법, 약물, 방사선 치료 등이 공통으로 이뤄진다. 우리나라에서 두경부암은 전체 암 발생 건수의 약 5%에서 매년 진단된다. 두경부암을 각각의 특별한 구강암, 후두암으로 쪼개 보면 훨씬 낮은 비율로 진단되고 있