헬스투데이
의료계 이슈, 바이오 혁신, 감염병, 신약 개발 등 최신 보건의료 트렌드와 정책 변화, 의료 현장의 목소리, 첨단 기술 동향까지 한눈에 볼 수 있는 뉴스 코너입니다. 다양한 시각과 심층 분석을 통해 건강과 의료의 현재와 미래를 조명합니다.
의료계 이슈, 바이오 혁신, 감염병, 신약 개발 등 최신 보건의료 트렌드와 정책 변화, 의료 현장의 목소리, 첨단 기술 동향까지 한눈에 볼 수 있는 뉴스 코너입니다. 다양한 시각과 심층 분석을 통해 건강과 의료의 현재와 미래를 조명합니다.
총 2,679 건
제80회 구강보건의 날(9일)을 맞아 병원과 기업 등이 다채로운 기념행사를 진행했다. 구강보건의 날은 어린이의 첫 영구치인 어금니가 나오는 시기인 6세의 6과 구치(어금니)의 '구'를 숫자화 한 9를 딴 것으로, 이 영구치를 잘 관리해 평생 건강하게 사용하자는 의미를 담고 있다. 10일 의료계에 따르면 서울대치과병원은 전날 오후 1시부터 오후 5시까지 2층 로비에 부스를 마련해 환자와 보호자를 대상으로 치과 의사가 구강검진을 실시했다. 치과위생사는 치아 모형인 '덴티폼'을 이용해 올바른 칫솔질 방법을 교육하고 교육용 안내자료를 배부했다. 치실, 치간칫솔, 혀클리너 등의 구강 위생용품 사용법도 아울러 설명했다. 명동 포스트타워 앞 분수대 광장에서 열린 '구강보건의 날' 행사 부스에서는 병원 관계자들이 구강 위생용품을 이용한 틀니 관리 방법 및 주의 사항, 무료 구강검진, OX 퀴즈, 올바른 칫솔질 방법 교육 등을 통해 일반 시민들에게 구강건강 관리 방법을 알려주는 시간을 가졌다. 이
보건복지부 지정 척추전문병원 안양윌스기념병원이 의료기관평가인증원으로부터 4주기 인증기관 인증을 획득했다고 9일 밝혔다. 의료기관 인증은 보건복지부가 병원급 이상의 의료기관을 대상으로 병원 내 환자의 안전과 의료 서비스의 질 향상을 위해 운영 실태를 종합적으로 평가한 후 일정 기준 이상을 충족하는 의료기관에 인증을 부여하는 제도다. 안양윌스기념병원은 지난 3월 보건복지부로부터 의료기관 인증 평가를 위한 현장 조사와 서류 심사를 받았다. 병원은 △환자 안전 보장 활동 △환자 진료 체계 △질 향상 활동 △진료 지원 체계 △성과 관리 체계 등 총 4개 영역과 92개 기준, 507개 조사 항목에 대한 평가에서 평균 점수를 충족하며 전반적으로 우수한 평가를 받았다. 안양윌스기념병원은 2013년 1주기 인증을 시작으로 2017년 2주기, 2021년 3주기에 이어 이번 4주기까지 총 4회 연속 의료기관 인증을 획득했다. 인증은 획득한 시점부터 4년간 유효하며, 안양윌스기념병원은 2029년 6월까
그간 적자였던 중국인 대상 건강보험 재정 수지가 지난해 흑자로 돌아선 것으로 나타났다. 외국인 대상 건강보험 흑자 폭도 커졌다. 지난해 4월부터 외국인은 국내 거주 기간이 6개월이 지나야 한국 건강보험의 피부양자가 될 수 있도록 관련 법을 강화한 영향으로 풀이된다. 9일 본지가 국회 보건복지위원회 소속 서명옥 국민의힘 의원으로부터 입수한 국민건강보험공단의 '외국인 건강보험 재정 수지'(보험료-급여비) 자료를 보면 지난해 중국인 대상 재정 수지가 55억원 흑자를 기록했다. 중국인이 낸 건강보험료가 9369억원으로 진료 후 급여비로 지출된 금액 9314억원 대비 55억원 많다는 의미다. 그간 전체 외국인 대상 건강보험 재정 수지는 흑자였으나 유독 중국의 경우 적자였다. 2022년엔 229억원 적자, 2023년에는 27억원의 적자를 각각 기록했다. 특히 코로나19 이전에 적자 폭이 컸다. 2017년 중국의 건강보험 재정 수지는 1108억원 적자였고 2018년엔 1509억원, 2019년엔
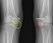
한쪽 무릎에 퇴행성 관절염이 생긴 환자는 다른쪽 무릎에도 똑같은 병이 생기지 않을지 불안에 떨어야 했다. 많은 환자가 한쪽 무릎에 관절염이 생긴 뒤 수년 내 반대쪽 무릎에서도 통증, 구조적 변화가 나타나는 경험을 한다. 하지만 이러한 양측성 진행이 모든 환자에게서 똑같이 나타나지 않아, 이를 예측하려는 연구는 부족했다. 그런데 서울대병원 연구팀이 이런 예측을 가능하게 하는 머신러닝 기반 모델을 개발하는 데 성공했다. 서울대병원 정형외과 노두현 교수팀(김지산 연구원)은 한쪽 무릎에 퇴행성 관절염이 있는 환자들을 대상으로 반대쪽 무릎에서 퇴행성 관절염이 발생할 가능성을 예측하는 머신러닝 모델을 개발했다고 9일 발표했다. 연구는 미국의 대규모 관절염 추적 코호트인 OAI(Osteoarthritis Initiative)와 MOST(Multicenter Osteoarthritis Study) 데이터셋를 기반으로 진행됐으며, 4~5년간 추적 관찰된 편측 무릎 퇴행성 관절염 환자 1353명을
60세 이상 고령층의 절반 이상은 밤에 잠을 잘 자지 못한다. 노인에게만 불면증이 나타나는 것은 아니지만, 나이 들수록 잠을 더 많이 설치게 되는 데는 그만한 이유가 있다. 한두 가지 원인이 작용하는 것이 아니라 잘 자기 위한 '기술'이 필요하다는 게 전문가의 조언이다. 신원철 슬립포레스트 대표(강동경희대병원 신경과 교수)는 최근 서울 코엑스에서 열린 '2025 시니어 산업 에이지테크 포럼&네트워킹'에서 시니어 수면 산업 현황과 특징, 전망 등을 발표했다. 신 대표는 대한수면연구학회 회장, 강동경희대병원 수면센터장 등을 역임한 국내 손꼽히는 수면 권위자다. 신 대표는 이날 고령층의 수면 장애의 원인을 다각적인 측면에서 조명했다. 우선 나이가 들면 복용하는 약이 늘어나는데, 약물 부작용으로 수면 장애가 유발될 수 있다고 진단했다. 늘어나는 걱정과 스트레스·우울증 등도 불면에 영향을 미친다는 설명이다. 무엇보다 노화로 인한 퇴행성 변화는 노인 불면증의 근본적인 '이유'로 꼽힌다. 인간
그간 적자였던 중국인 대상 건강보험 재정 수지가 지난해 흑자로 돌아선 것으로 나타났다. 지난해 4월부터 외국인은 국내 거주 기간이 6개월이 지나야 한국 건강보험의 피부양자가 될 수 있도록 관련 법을 강화한 영향으로 풀이된다. 5일 본지가 국회 보건복지위원회 소속 서명옥 국민의힘 의원으로부터 입수한 국민건강보험공단의 외국인 건강보험 재정 수지(보험료-급여비) 자료를 보면 지난해 중국인의 대상 재정 수지가 55억원 흑자를 기록했다. 그간 전체 외국인 대상 건강보험 재정 수지는 흑자였으나 유독 중국의 경우 적자였다. 2022년엔 229억원 적자, 2023년에는 27억원의 적자를 각각 기록했다. 특히 코로나19 이전에 적자폭이 컸다. 2017년 중국의 건강보험 재정 수지는 1108억원 적자였고 2018년엔 1509억원, 2019년엔 987억원의 적자를 각각 기록했다. 이후 코로나19로 국가 간 이동이 자유롭지 못하면서 2020년 365억원의 흑자를 냈고 2021년에도 109억원으로 적자 폭
새 정부가 출범하고 증시가 살아나는 분위기에서 아직 제약·바이오 관련주는 큰 힘을 내지 못하는 분위기다. 그렇지만 이재명 정부가 제약·바이오 산업의 국가 투자를 강화하겠다고 약속한 만큼 긍정적 영향이 기대된다는 분석이 나온다. 5일 한국거래소에 따르면 이재명 대통령 취임식이 열린 지난 4일 코스피 지수는 전 거래일보다 2.66% 오른 2770.84를 기록하며 새 정부에 대한 기대감으로 상승했다. 코스닥 지수도 750.21로 전 거래일보다 1.34% 올랐다. 5일에도 코스피 지수와 코스닥 지수는 각각 2812.05, 756.23으로 1.49%, 0.08% 오르며 상승세를 이어갔다. 반면 이 기간 제약·바이오업종은 소폭 하락했다. 코스피 제약 지수는 지난 4일 1만5223.91로 5.15포인트 내리고 5일에도 1만5170.03으로 53.88포인트 떨어지며 2거래일 간 0.39% 하락했다. 코스닥 제약지수도 지난 4일과 5일 연속 하락하며 2거래일 간 3.56% 빠졌다. 다만 증권업계에선
대한간호협회(간협)이 보건복지부 앞에서 대규모 시위를 이어가고 있다. PA(진료지원) 간호사가 교육을 받은 후 간협이 '자격증'을 발급할 수 있게 해달라는 것이다. 각 병원이 PA간호사를 교육하고 자체적으로 '이수증'을 주는 것은 의료의 질을 떨어트리고 환자 안전에 위협이 된다는 이유에서다. 나아가 간협은 PA간호사의 처우 개선도 '교육 관리'과 밀접한 관련이 있다고 보고 있다. 병원을 제재할 방안 없이는 "의사 일을 대신하면서도 PA간호사가 제대로 된 보상을 받지 못할 수 있다"고 우려하는 것이다. 5일 의료계에 따르면 간협은 지난달 26일에 이어 지난 2일 복지부 앞에서 '진료지원 업무 수행 간호사 교육 및 자격 관리 투명화와 법제화 촉구대회'를 개최했다. 오는 21일 간호법 시행을 앞두고 복지부가 마련하는 하위 법령인 '진료지원 업무 수행에 관한 규칙안'을 규탄하는 내용이다. 현장에 모인 1만여명의 간호사는 '전담간호사 제도! 이수증 아닌 자격증으로!', '전담간호사 교육!
GC녹십자웰빙이 중국 시장 진입을 본격화하며 외형 성장에 속도를 내고 있다. 주력 제품인 태반주사제 '라이넥'이 중국 의료특구 지역에서 2만명의 환자 유치가 예상되는 가운데, 필러 역시 중국 내 공급을 기반으로 연 20만개 이상 수출을 기록할 것이란 전망이 나온다. 5일 업계에 따르면 녹십자웰빙의 태반주사제 '라이넥'은 신속 승인을 받은 중국 하이난성 보아오 러청 시범구(의료특구)에서 올해 총 2만명의 환자를 유치, 약 50억원의 하이난 지역 관련 매출이 예상된다. 현재 녹십자웰빙은 신속승인 이후 해당 지역 간질환 환자들에게 라이넥을 처방 중이다. 녹십자웰빙 관계자는 "하이난성 의료기관 수 증가에 따라 현지 유통사와 협력해 의료기관과 환자 확보에 집중하고 있다"며 "중국 본토 국가약품감독관리국(NMPA)에서 의약품 등록을 받은 후 용량 및 용법 확대 등을 고려할 계획"이라고 말했다. 라이넥은 국내 시장 점유율 77%를 기록, 녹십자웰빙 전체 매출의 30%가량을 차지하는 주력 제품이다
피부 과학 기반 헬스케어 기업 ㈜바이오코즈글로벌코리아(대표 송혜령, 이하 BG)는 전날(4일) 자체 개발한 피부 강화 기능성 물질 SPM(Super Protein Multifunction)이 든 화장품 약 6400만원 상당을 미혼모, 한부모 가정에 기부했다고 5일 밝혔다. SPM은 BG의 오랜 연구 끝에 미국·한국 등 4개국에서 특허받은 독자 성분으로, 피부 장벽을 강화하고 피부 트러블을 해결하는 데 도움을 주는 기능성 물질이다. SPM은 바이오코즈글로벌코리아의 과학자문위원장으로 몸담고 있고, 히알루론산(HA)을 세계 최초로 개발한 앤서니 신스키 MIT대 교수가 공동 개발했다. 세계보건기구(WHO) 흑색종 의장인 마틴 밈 하버드 메디컬 스쿨 교수가 SPM의 효과와 안전성을 인정한 바 있다. 이번 기부는 국제개발협력 NGO인 지파운데이션 및 여성가족부 등록 비영리단체인 한국한부모가족복지협회와의 협력을 통해 진행됐다. 두 기관은 각각 미혼모 가정, 한부모 가정의 복지 증진과 자립을 위한
대표적 미래성장산업인 바이오 업계에선 대체로 새 정부 출범에 따른 정치 불확실성 해소와 적극적인 육성 정책에 대한 환영의 뜻을 나타냈다. 이재명 정부가 바이오를 집중적으로 키울 미래 신산업으로 꼽은 만큼 신약 개발 연구, 인공지능(AI)을 비롯한 신기술과 융합 등에 대한 지원이 확대될 것이란 기대감이 크다. 앞으로 국내 주식시장에서 바이오에 대한 투자심리가 개선될지 관심을 끈다. 4일 관련 업계에 따르면 새 정부 출범을 맞아 국내 바이오 및 헬스케어 업계에선 혁신 신약 연구 활성화, 미국의 의약품 관세 정책을 비롯한 대외 환경에 대한 정부 차원의 적극적인 대응, 규제 개선과 연구개발(R&D) 투자 확대를 통한 투자 수요 개선 등을 바라는 목소리가 크다. 특히 지금이 글로벌 시장에서 K-바이오가 위상을 높일 수 있는 적기인 만큼 적극적인 투자와 민관 협력으로 신성장동력을 확보하는 데 집중해야 한단 의견이 우세하다. 정부의 투자 확대 정책에서 더 나아가 바이오에 대한 민간 투자가 늘 수
1년 4개월째 이어진 의료대란 상황에 취임한 이재명 대통령을 향해 보건의료단체와 환자단체의 요구가 봇물 터지듯 쏟아졌다. 복잡하게 얽힌 의정 갈등에 새 정부가 '해법'을 제시할 수 있을지 기대와 우려가 공존하는 모습이다. 김택우 대한의사협회 회장은 이재명 대통령이 취임한 4일 서울 용산구 의협회관에서 열린 기자회견에서 "의료 위기는 비단 의료계에만 국한되지 않은, 국민 건강과 국가 안보에 직결된 중대한 사안"이라며 "(의정갈등 해결을) 국정 최우선 과제로 삼아달라"고 요청했다. 김 회장은 "의대생과 전공의들이 교육 현장과 수련병원으로 돌아올 수 있도록 현실적이고 합리적인 방안을 마련해 주시기 바란다"며 "자긍심을 갖고 환자를 돌볼 수 있는 환경을 조성해달라"고 요청했다. 이 밖에도 보건의료 전문 부처인 '보건부' 신설과 건강보험 정책심의위원회(건정심) 구조 개편, 의협과 상시적인 협의체 구성과 같은 '의료 거버넌스 혁신'도 아울러 주문했다. 의협은 새 정부에서 의료개혁 등 관련 정