
브라질 10대 소녀 입안에서 치아가 무려 81개나 발견돼 학계에 충격을 안겼다.
지난 15일(현지 시간) VN익스프레스 등 외신에 따르면 브라질에 사는 11세 A양은 위쪽 유치 1개를 뽑기 위해 병원을 찾았다.
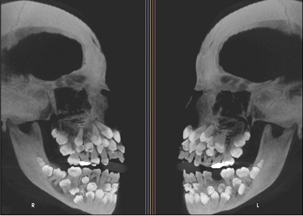
그러나 이어진 엑스레이 촬영 결과는 의료진을 충격에 빠뜨렸다. A양 입안에서 유치 18개와 영구치 32개, 과잉치 31개 등 총 81개 치아가 발견된 것.
이는 '다발성 과치증'(multiple hyperdontia)이라는 질환으로 성인 기준 정상 치아 개수인 32개를 넘어 더 많은 치아를 갖는 선천성 발달 이상이다.
다만 과잉치는 1~2개 정도만 발견되는 게 일반적이다. 이번처럼 30개 넘는 과잉치가 확인된 사례는 전 세계적으로도 매우 드물다.
해당 사례는 브라질 미나스제라이스주 주이스지포라 연방대학교 치과병원 연구팀이 진료 중 확인한 것으로 미국 치과교정·악안면외과학회지(AJO-DO)에 보고됐다.
연구팀은 정밀 영상 검사를 통해 치아의 정확한 위치를 파악하고, 유전 질환과 연관된 것은 아닌지 확인하기 위해 관련 유전자 검사도 함께 진행했다.
보통 다발성 과잉치는 쇄골두개이형성증, 가드너 증후군, 구개열 등을 동반하는 경우가 많지만 검사 결과 A양은 이 질환들에 해당하지 않았다.
추가로 진행된 염색체 검사에선 9번 염색체 일부 구간이 뒤바뀌는 구조 이상(염색체 역위)이 발견됐다. 드물게 나타나는 유전적 변이지만 과잉치 발생과 직접적 관련이 있는지는 알 수 없다고 연구팀은 전했다.
일부 과잉치는 잇몸 속에 깊이 묻혀 있거나 정상 치아와 형태가 유사해 정확한 구분이 쉽지 않다. 무작정 발치할 경우 턱뼈 손상 우려도 있다.
연구팀은 치과 교정과, 악안면외과, 치주과, 보철과 등 여러 전문과와 팀을 꾸려 장기적인 치료 계획을 세우고 있다. 씹는 기능 회복은 물론 심미성도 고려해 향후 A양의 건강한 턱과 안면 구조를 유지하는 데 초점을 맞춘다.