-
바이오 투자유치 각축장 JP모건헬스케어, K-바이오 누가 가나
세계 최대 규모 제약·바이오 및 헬스케어 투자 행사인 JP모건 헬스케어 콘퍼런스가 곧 개막한다. 글로벌 주요 기업이 한자리에 모여 최신 연구 동향과 성장 전략을 공유하고 다양한 협업 기회를 모색할 전망이다. 새해 바이오 산업 투자와 관련한 아이디어를 얻을 수 있을 것이란 기대에 국내외의 이목이 쏠린다. 국내에서도 삼성바이오로직스와 셀트리온 등 기업이 줄줄이 참여를 예고한 상황이라 K-바이오의 사업 비전을 확인하는 기회가 될 것으로 보인다. 8일 관련업계에 따르면 올해로 43회째를 맞는 JP모건 헬스케어 콘퍼런스는 오는 13~16일(현지시간) 미국 샌프란시스코에서 열린다. 올해 행사엔 550여개 기업, 8000명 이상이 참석할 예정이다. JP모건 헬스케어 콘퍼런스에선 글로벌 빅파마(대형제약사) 등 주요 제약·바이오 기업의 최신 연구 흐름과 사업 계획을 엿볼 수 있다. 매년 1월에 열리는 행사라 그해 바이오 투자의 방향성을 살필 수 있는 글로벌 행사로 주목받는다. 워낙 많은 기업의 관계
-
[단독]전공의 공백도 지역별 격차…대구는 출근율 3% 최저
전공의 집단사직 사태가 1년 가까이 지속되는 가운데 각 지역에 따라 전공의 출근율이 최대 5.9배 차이가 나는 것으로 나타났다. 서울의 전공의 출근율은 8.3%, 제주는 17.7%인 반면 대구는 3.0%에 불과했다. 또 출근 전공의의 70%가 수도권에 집중됐다. 비수도권 지역의 의료공백이 심화했을 것으로 분석된다. 의료대란을 끝낼 대책을 시급히 마련해야 한다는 지적이다. 7일 국회 보건복지위원회 소속 서영석 더불어민주당 의원이 보건복지부로부터 받은 자료에 따르면 지난달 18일 기준 100개 수련병원의 전공의 출근율은 7.5%다. 1만2897명 중 963명만 출근했다. 전공의 현원은 정부가 사직서 수리를 허용하기 이전인 지난해 6월3일 기준이다. 100개 수련병원은 지난해 2월 기준 전공의 수 상위 100개 수련병원인 상급종합병원 47곳 종합병원 53곳을 말한다. 지역별로 전공의 출근율을 보면 격차가 크게 벌어진다. 제주는 현원 130명 중 23명이 출근해 출근율이 17.7%로 가장
-
"악플이 동시다발적으로" 무안 참사 돕던 한의사들, 법적조치 나선다
대한한의사협회(회장 윤성찬)가 무안공항 의료봉사에 참여한 한의사들을 조롱하고, 한의약을 악의적으로 폄훼한 일부 인터넷 댓글에 강력한 법적조치에 나선다. 대한한의사협회 클린-K특별위원회(위원장 서만선 부회장)는 '참사에 연차 쓰고 무안 찾은 공보의 한의사들'이라는 제목의 한 언론매체 기사에 '국민 상대로 사기 치다가 쇼하는 거 봐라', '한방사 여러분, 참사를 여러분의 이미지 메이킹에 이용하지 말아라', '한의사가 대체 뭘 할 수 있는 거지', '아플수록 무속에 빠지면 안되는 거임' 등 악의적이고 낯부끄러운 댓글을 단 누리꾼들을 고소·고발하고 강력한 법적조치로 끝까지 책임을 물을 것이라고 밝혔다. 대한한의사협회 클린-K특별위원회는 "해당 기사가 게재된 특정 포털 사이트에 비슷한 내용의 악플이 동시다발적으로 달렸다는 점에서 조직적인 움직임도 의심된다"고 지적하고 "제주항공 여객기 참사의 아픔을 조금이나마 함께 나눈다는 순수한 마음으로 지금, 이 순간에도 묵묵히 의료봉사를 하는 한의사들을
-
휴학 의대생들 "올해도 안 돌아가"…2년치 신규 의사 '씨' 마를 판
정부의 의대증원책에 반발, 지난해 휴학계를 내고 떠난 의대생들이 올해도 돌아오지 않을 결심을 굳히면서 국내에서 배출될 신규 의사 2년 치 '씨'가 마를 것으로 우려된다. 반면 올해 대학 입학 정시전형에서 의대에 지원한 수험생 수가 학부 전환 이래 역대 최고치를 기록하면서 학생 간 온도 차가 극명하다. 6일 의료계에 따르면 전국 40개 의대 학생회 단체 대한의과대학·의학전문대학원학생협회(의대협)은 지난 4일 임시총회 후 회원(의대생)들에게 배포한 공지문을 통해 "대한의과대학·의학전문대학원 학생 협회의 2025학년도 투쟁을 휴학계 제출로 진행한다"고 밝혔다. 이들은 "휴학계 제출이 불가능한 단위나 학년은 이에 준하는 행동으로 참여한다고 의결했다"며 "학교별 자세한 투쟁 방식에 대한 가이드라인과 타임라인은 차후 학교 내 학생회나 TF의 안내를 참고해 주시길 바란다"고 당부했다. 의대협은 추후 2025학년도 정시모집 인원과 관련해 의학교육 붕괴를 우려한다는 내용의 입장문도 배포할 예정이다.
-
'한국은 좁다'…K보톡스, 미국·중국 시장에서 맞붙는다
국내 보툴리눔 톡신 제조 1, 2위를 다투는 휴젤과 대웅제약이 새해에는 글로벌 시장에서 대결을 펼친다. 세계 최대 시장 규모를 가진 미국부터 급성장하고 있는 중국까지 국산 보툴리눔 톡신의 경쟁력을 증명하고 나섰다. 6일 업계에 따르면 휴젤은 올해 1분기 중 보툴리눔 톡신 제품 보툴렉스(미국 제품명 레티보)를 미국에서 공식 론칭한다. 지난해 2월 미국 식품의약국(FDA)으로부터 미간 주름 적응증으로 품목 허가를 획득한 바 있다. 휴젤 관계자는 "현재 미국 파트너사와 영업 마케팅 전략 등을 협의하며 미국 출시를 위한 막바지 단계에 있다"며 "탄탄한 전략을 구축해 올해 상반기 제품을 출시해 3년 내 미국 보툴리눔 톡신 에스테틱 시장 기준으로 10%대의 점유율을 달성하는 것이 목표"라고 설명했다. 미국은 세계 최대 보툴리눔 톡신 시장이다. 업계가 추산하는 시장 규모만 지난해 기준 약 6조원에 달한다. 휴젤이 올해 상반기 미국에서의 톡신 시장 진출에 성공할 경우 세계 3대 톡신 시장이라고 불
-
머스크도 갈아탄 '젭바운드', 연내 국내 상륙 전망…'K-비만약' 생존 전략은
비만 치료제 신드롬을 부른 '위고비'(성분명 세마글루타이드)의 경쟁 약물 '젭바운드'(성분명 티르제파타이드)의 국내 출시 시점이 연내로 좁혀진 분위기다. 우선 당뇨병으로 건강보험 급여 등재를 논의 중인데 이후 비만 치료제로도 적용 기준을 확대할 것으로 보인다. 한국 시장 내 해외 비만 치료제 경쟁 구도가 본격화될 것으로 예상되면서, 후발주자인 국내 기업의 차별화 요소가 향후 주요 변수가 될 전망이다. 6일 제약업계에 따르면 미국 제약사 일라이 릴리의 GLP(글루카곤유사펩타이드)-1 계열 당뇨·비만 치료제가 연내 국내 시장에 출시될 것이란 분석이 나온다. 같은 성분이지만 젭바운드는 비만 치료제 상표, 마운자로는 당뇨병 치료제 상표로 구분되는데, 일라이 릴리 국내 법인인 한국릴리는 '마운자로' 이름으로 먼저 건강보험심사평가원에 건보 급여 등재를 신청해 논의 중이다. 한국릴리 관계자는 "당뇨병 환자에게도 중요한 치료제다 보니 (당뇨병에) 우선 출시하는 것을 목표로 급여 논의를 진행 중"이
-
"독감 난리인데 검사비 3만원 부담"…'3천원' 자가키트 불법인 이유
#. 세쌍둥이를 키우는 30대 이모씨는 최근 아이들이 고열에 시달려 밤잠을 설쳤다. 병원에서 독감(인플루엔자) 검사를 한 결과 음성이 나왔지만, 해열제를 처방받고도 혹시 '가짜 음성'이진 않을지 이씨는 걱정을 놓지 못하고 있다. 그러나 1회 3만원에 달하는 독감 검사를 반복해서 받는 것이 적지 않은 부담이다. 이씨는 "아이 3명만 검사하는데도 거의 10만원이 나간다"며 "코로나19처럼 독감도 자가검사 키트가 있다고 하는데 약국에서 팔지 않더라"고 씁쓸해했다. 독감 환자가 급증하면서 2016년 이후 8년 만에 최고치를 기록했다. 6일 질병관리청에 따르면 지난달 22~28일(2024년 52주차) 외래환자 1000명당 독감 의심 환자는 73.9명으로 3주 전(49주차, 7.3명)보다 10배 이상 늘었다. 국내 독감은 초·중·고교 등 학령기 아동을 중심으로 빠르게 번지고 있다. 엄중식 가천대길병원 감염내과 교수는 "청소년을 중심으로 시작해 향후 중장년층으로 확산하면 심뇌혈관질환 등 합병증
-
50만원 vs 8000원…'병원 맘대로' 도수치료비, 가장 싼 곳 어디?
병원별로 천차만별인 비급여 진료 가격 실태조사가 공개됐다. 조사 결과 비급여 진료비 규모가 가장 큰 도수치료는 병원급에서 최대가와 최소가가 62.5배나 차이가 나는 것으로 나타났다. 경피적 경막외강신경술은 최고가와 최저가 간 가격차가 360만원에 달했다. 제각각인 비급여 진료가격을 통제하고 관리를 강화할 필요가 있다는 주장이다. 경제정의실천시민연합(경실련)은 6일 종로구 동숭동 소재 경실련 강당에서 기자회견을 열고 병원 비급여 가격 실태와 합리화 방안 이용자 설문조사 결과를 발표했다. 지난해 9월 건강보험심사평가원 비급여진료비 정보 공개를 통해 병원급 의료기관의 비급여 급여 진료비 상위 5개를 조사하고 지난해 10월 전국 성인남녀 1030명을 설문조사했다. 그 결과 비급여 진료비 규모가 가장 큰 도수치료는 병원급에서 최대치와 최소치와 가격이 62.5배나 차이가 났다. 가격 차는 49만2000원이었다. 도수치료 비급여 가격이 가장 비싼 곳은 50만원인 바른마디병원이다. 다만 바른마디병
-
의사도 "외래 보기 겁난다"…독감 역대급 유행에 꽉 찬 병실 '초긴장'
겨울 맹추위에 호흡기 바이러스가 기승을 부리면서 의료 현장의 혼란이 가중되고 있다. 호흡기 환자는 감염 예방을 위해 1인실 등 격리 입원을 해야 하는데, 환자 수가 너무 많은데다 의료진 부족이 겹치면서 받아줄 병원 찾기가 힘든 상황이다. 제때 치료받지 못해 폐렴, 심근염, 뇌염 등의 합병증으로 향후 사망률이 급증할 수 있다는 우려도 제기된다. 6일 질병관리청과 의료계에 따르면 지난달 22~28일(2024년 52주차) 국내 외래환자 1000명당 인플루엔자 의심 환자는 73.9명으로 3주 전인 49주차(7.3명)보다 10배 이상 늘었다. 2016년 이후 8년 만에 최대 수치다. 호흡기 바이러스 검출률 역시 지난해 49주차 9.3%에서 50주차 15.2%, 51주차 29%, 52주차 50.9%로 계속 오르고 있다. 그러나 독감 등 호흡기 감염병은 물론 주요 합병증인 폐렴 환자마저도 갈 병원이 마땅치 않다. 감염 예방을 위해 환자를 격리해야 하는데, 역대급 유행에 거의 모든 병원이 '포화
-
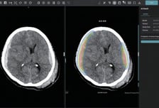
제이엘케이, 두개내출혈 검출 AI 솔루션 FDA 승인 획득
의료 인공지능(AI) 1호 상장기업 제이엘케이에 연초 낭보가 전해졌다. 제이엘케이는 지난해 미국 식품의약국(FDA) 인허가를 신청했던 두개내출혈 검출 AI 솔루션 'JLK-ICH'가 보완사항 없이 승인(FDA 510(k))을 완료했다고 6일 밝혔다. 제이엘케이는 지난해 전립선암 솔루션 1개를 비롯해 뇌졸중 분야에서 3개 솔루션(JLK-LVO, JLK-CTP, JLK-PWI)의 승인을 획득했다. 업계에서는 이번 5번째 FDA 획득을 통해 뇌졸중 등 AI 분야에서 최고 수준의 인허가 역량을 입증받았다는 평가가 나온다. JLK-ICH는 환자의 뇌 CT 영상을 분석해 뇌출혈 영역을 검출하는 AI 솔루션이다. 통상 뇌졸중 의심 환자가 응급실에 도착하면 가장 먼저 뇌 CT를 촬영해 뇌출혈 여부를 확인하는데 이 과정에서 JLK-ICH가 활발히 적용될 것으로 점쳐진다. 특히 기존에 획득한 JLK-LVO, JLK-CTP, JLK-PWI와 함께 연동돼 전 주기에 걸친 뇌졸중 진단과 치료 결정 활용
-
의협 투쟁 불붙나…누가 돼도 '강경파' 김택우 vs 주수호, 회장 선거 결선행
의정 갈등이 해를 넘긴 가운데, 의사집단의 선봉에 설 대한의사협회(의협) 차기 회장에 김택우·주수호 후보 중 1명이 당선될 예정이다. 1차 투표에서 과반을 얻은 득표자가 나오지 않아 2차 투표를 진행하게 된 건데, 득표율 1·2위를 기록한 이들 후보가 결선행 티켓을 거머쥐었다. 회장 당선자는 8일 확정된다. 두 후보 모두 상대적으로 '강경파'로 분류돼 향후 의협의 대정부 투쟁은 한층 더 거세질 것으로 관측된다. 4일 오후 7시 서울 용산구 의협 회관 지하 1층 대강당에서 진행한 의협 43대 회장 보궐선거 1차 투표 결과, 선거인 5만1895명 중 투표 참여자는 2만9295명(전부 유효표)으로 투표율은 56.4%를 기록했다. 이 가운데 김택우 후보가 득표율 27.66%(8103표)로 1위를, 주수호 후보는 26.17%(7666표)로 2위를 차지했다. 후보 간 표 차는 437표에 불과했다. 최안나 후보는 5543표(18.92%)로 3위, 이동욱 후보는 4595표(15.69%)로 4위,
-
지난해 美 허가 신약 50개…MASH 치료제 첫 등장·국산신약 2개 추가
지난해 미국 식품의약국(FDA)으로부터 허가 승인을 받은 신약은 총 50개 품목인 것으로 집계됐다. 그동안 치료제가 없던 대사이상 지방간염(MASH)과 조현병 치료제 첫 허가를 비롯해 2개의 국산신약 추가가 눈에 띈다. 3일 국제학술지 네이처 리뷰 드럭 디스커버리와 한국바이오협회에 따르면 미국 FDA는 지난해 총 50개의 신약을 허가했다. 지난 30년(1994년~2023년) 중 두 번째로 많은 품목이 승인된 2023년(55개) 보다는 적지만, 최근 10년 평균 승인 건수(46.5개) 보다는 많은 수치다. 신규 허가 치료제 중 눈에 띄는 품목은 마드리갈 파마슈티컬스의 '레즈디프라'와 브리스톨마이어스 스퀴브(BMS)의 '자노멜린+트로스피움'이다. 각각 허가 치료제가 없었던 MASH와 조현병을 적응증으로 한 첫 허가 품목이다. 질환별로는 항암제가 총 15개 신약을 배출하며 전체의 30%를 차지했다. 피부질환과 혈액질환은 각각 6개씩 승인을 받으며 두번째로 많은 신약 적응증에 이름을 올렸