
의료 인공지능(AI) 1호 상장기업 제이엘케이(6,900원 ▼140 -1.99%)에 연초 낭보가 전해졌다. 제이엘케이는 지난해 미국 식품의약국(FDA) 인허가를 신청했던 두개내출혈 검출 AI 솔루션 'JLK-ICH'가 보완사항 없이 승인(FDA 510(k))을 완료했다고 6일 밝혔다.
제이엘케이는 지난해 전립선암 솔루션 1개를 비롯해 뇌졸중 분야에서 3개 솔루션(JLK-LVO, JLK-CTP, JLK-PWI)의 승인을 획득했다. 업계에서는 이번 5번째 FDA 획득을 통해 뇌졸중 등 AI 분야에서 최고 수준의 인허가 역량을 입증받았다는 평가가 나온다.
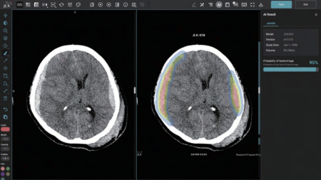
JLK-ICH는 환자의 뇌 CT 영상을 분석해 뇌출혈 영역을 검출하는 AI 솔루션이다. 통상 뇌졸중 의심 환자가 응급실에 도착하면 가장 먼저 뇌 CT를 촬영해 뇌출혈 여부를 확인하는데 이 과정에서 JLK-ICH가 활발히 적용될 것으로 점쳐진다. 특히 기존에 획득한 JLK-LVO, JLK-CTP, JLK-PWI와 함께 연동돼 전 주기에 걸친 뇌졸중 진단과 치료 결정 활용 시너지는 물론 미국 병원에서의 시장 차별성과 경쟁력이 매우 향상될 것으로 업체는 기대하고 있다.
혈관이 막히는 뇌경색 대비 중증도가 높은 뇌출혈은 출혈 크기 증가 우려와 재출혈 위험으로 치료까지 걸리는 시간을 단축하는 것이 환자 예후 개선에 필수적이다. 제이엘케이 관계자는 "JLK-ICH는 임상 연구를 통해 발생 특징이 다른 5가지 뇌출혈 유형에 대해 편차 없는 높은 검출 성능을 입증했다"며 "골든타임 확보에 큰 역할을 할 것으로 기대된다"고 말했다.
미국의 연간 CT 촬상 수는 연간 8600만건이 넘는다. CT 영상을 기반으로 하는 AI 솔루션 또한 미국 내 높은 시장성을 갖추고 있다. 제이엘케이는 공격적인 미국 FDA와 일본 PMDA 인허가 활동들이 빠른 결실을 보고 있는 만큼 남은 솔루션들에 대한 인허가도 조속히 진행할 예정이라고 밝혔다. 미국 FDA에는 올해 총 6개의 인허가를, 일본 PMDA에는 8개 솔루션의 인허가 신청을 마친다는 계획이다. 각 국가의 보험수가 진입에도 전념해 올해를 해외 매출 발생의 '원년'으로 삼겠다는 목표도 세웠다.
김동민 대표는 "JLK-ICH를 통해 올해 첫 해외 인허가 획득 소식을 전할 수 있어 기쁘다"라며 "보완사항 없이 단번에 승인을 마친 이번 FDA 획득으로 제이엘케이가 자체적으로 구축한 인허가 역량의 우수성을 입증한 만큼 남은 인허가와 현지 보험수가 획득에 주력해 성공적인 해외 진출 성과를 가져오는 최선을 다하겠다"고 말했다.