-
GE헬스케어·분당제일여성병원, 산부인과 초음파 솔루션 MOU 체결
GE헬스케어는 지난 27일 분당제일여성병원과 초음파 및 태아 모니터링 솔루션 연구 개발을 위한 업무협약(MOU)을 체결했다고 29일 밝혔다. 협약식에는 GE헬스케어 김용덕 전무, 분당제일병원 한성식 대표원장 등 주요 임직원이 참석했다. 이번 협약에 따라 GE헬스케어 코리아는 분당제일여성병원을 지역 거점 병원으로 지정하고 초음파 기기 활용의 최적화를 위한 교육을 제공할 예정이다. 디지털 기술 적용을 통해 보다 신속하고 효과적인 진단 및 이슈 해결을 지원한다. 분당제일여성병원은 초음파 및 태아 모니터링 장비 운용과 서비스 솔루션에 대한 임상 기반의 피드백을 제공하는 등 상호 발전을 위해 협력한다. GE 헬스케어는 초음파 장비에 대해 24시간 장비 이상 작동을 모니터링하는 'OnWatch '를 비롯한 다양한 디지털 서비스 솔루션을 도입해 안정적인 환자 케어 서비스를 제공하고 있다. 분당 제일 여성병원은 GE헬스케어와 이번 협력을 통해 초음파 장비 및 태아 심음 검사 솔루션을 통해 정밀하
-
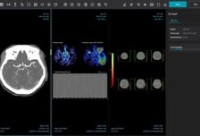
제이엘케이, 북미영상의학회서 '뇌경색 AI 솔루션 ' 임상 결과 발표
제이엘케이가 지난 26일부터 오는 30일까지 미국 시카고에서 열리는 '북미영상의학회 2023'(이하 RSNA)에서 고려대 구로병원 신경과 김치경 교수의 주도로 'JBS-LVO'의 임상 결과를 발표했다고 28일 밝혔다. 올해로 109회째를 맞은 RSNA는 최첨단 의료 기술과 혁신적 연구 결과를 공유하는 세계적인 규모의 영상의학회다. 매년 전 세계 5만명 이상의 전문가들이 모여 최신 의료 기술과 연구 결과 등 학술적인 정보를 공유한다. 제이엘케이는 이번 학회에서 대뇌혈관폐색 조기 검출 솔루션인 'JBS-LVO'의 임상 연구 결과를 구연 발표했다. 'JBS-LVO'는 뇌경색 의심 환자의 CT 혈관 영상에서 시술이 필요한 큰혈관폐색(Large vessel occlusion, LVO) 여부를 인공지능(AI)이 자동으로 분석해주는 솔루션이다. 분석에 필요한 원본 영상 선택부터 혈관 사진 재구성, 대혈관 폐색 여부 분석까지 이르는 모든 과정이 자동화돼 의료 현장마다 상이한 촬영 환경에도 안정적
-
고려대 구로병원 40년사 '국회 보건복지위원장상' 수상
고려대 구로병원의 역사를 담은 사사(社史)인 '고려대학교 구로병원 40년사'가 최근 한국프레스센터에서 개최된 '2023 대한민국 커뮤니케이션 대상'에서 '국회 보건복지위원장상'을 수상했다. '지역사회에 기여하는 병원'이라는 설립 이념을 바탕으로 1983년 9월 개원해 올해 40주년을 맞은 고려대 구로병원은 40년사 '의료의 새길에서 의학의 내일로 더+가까이'에 그간의 역사를 촘촘히 기록했다. 특히 역사 고증을 통해 사료적 가치를 높이면서도 '읽고 싶은 글, 보고 싶은 편집, 감동 이야기를 담은 사사'라는 편찬 기획을 구현해 기록성은 물론, 독창성과 가독성 등에서 우수한 평가를 받았다. 정희진 병원장은 "환자 중심 참 진료를 실현하며 국내 대표 중증질환 특화 상급종합병원으로 성장한 고려대학교 구로병원의 오늘이 있기까지 마음을 모아 주신 모든 분에게 감사드린다"며 "환자와 보호자의 마음에, 끊임없는 연구로 의료의 새길에, 설립 이념을 토대로 사회의 목소리에도 더욱 가까이 다가서겠다"고
-
한 병원에서 네 번째 출산…'축하 선물' 받은 40대 산모 화제
한 병원에서 모두 네 명의 아이를 안전하게 출산한 산모가 병원에 감사의 인사를 전했다. 성삼의료재단 미즈메디병원은 이 병원에서 첫째 아들과 둘째, 셋째 아들을 분만했던 하용옥(42)씨가 지난 22일 오후 미즈메디병원에서 3.4㎏의 넷째 아들을 건강히 출산했다고 전했다. 태명은 형들이 직접 지어준 귀한 동생이라는 의미의 '귀동'이다. 병원 측은 산모와 아기를 위한 영양제와 기저귀 케이크를 선물했다. 하씨는 "또다시 미즈메디병원을 선택한 건 병원과 의료진에 대한 믿음 때문"이라며 "분만실이 확장 이전돼 예전보다 훨씬 쾌적하고 편안하게 아기의 탄생을 기다릴 수 있었다"면서 출산 과정에서 함께한 간호사 등 의료진에게 감사의 인사를 전했다. 주치의인 김민형 산과 과장은 "요즘 같은 저출산 시대에 첫째, 둘째, 셋째에 이어 넷째의 탄생까지 미즈메디병원에서 함께 할 수 있어 기쁘다"며 "앞으로도 산모와 아기 모두 편안하고 건강한 출산을 할 수 있도록 최선을 다하겠다"고 화답했다. 미즈메디병원은
-
흡연 하는 당뇨 환자 '소리없는 암살자' 찾아와…암 발병 2.7배
국내 연구진이 고혈당 환자의 흡연 상태와 췌장암의 연관성을 세계 최초로 규명했다. 고려대 안산병원 가정의학과 박주현 교수 연구팀은 췌장암 위험이 높은 당뇨병 전단계 및 당뇨병 환자가 흡연할 경우 췌장암 위험이 매우 높게 증가하는 반면, 금연할 경우 췌장암 위험이 비흡연자에 가깝게 감소한다는 사실을 확인했다고 28일 밝혔다. 췌장암은 5년 생존율이 평균 15.2%로 전체 암 생존율(71.5%)의 5분의 1 수준에 그칠 만큼 치명적인 암이다. 복부 내시경이나 초음파로는 확인이 어렵고, 특히 췌장의 몸통과 꼬리 부분은 위장의 공기로 인해 관찰이 불가능한 경우가 적지 않기 때문이다. 만성질환 관리 등 예방 활동이 강조되는 배경이다. 일반인보다 혈당이 높은 당뇨병이나 당뇨병 전단계일 때 췌장암 위험이 높다는 사실은 이미 알려졌지만, 이런 사람들이 흡연과 금연을 했을 때 췌장암 위험이 어떻게 달라지는지에 대해 규명된 적은 없었다. 박 교수 연구팀은 국민건강보험공단 국가건강검진 정보를 활용해
-
희귀질환 '천포창'의 만성 물집, 국소 스테로이드 주사도 효과적
난치성 희귀질환인 '천포창'으로 특정 부위 나타나는 만성 물집에 국소 스테로이드 주사 치료가 효과적이라는 연구 결과가 제시됐다. 기존의 전신 스테로이드 치료의 부작용을 최소화하는 새로운 치료법을 제시했다는 점에서 주목받는다. 연세대 강남세브란스병원 피부과 김종훈 교수 연구팀은 천포창에서의 만성 물집 발생 매커니즘 및 국소 치료법의 효용성을 밝혀낸 연구를 '임상 조사 저널'(Journal of clinical investigation)에 발표했다고 28일 밝혔다. 천포창은 피부와 점막에 수포를 형성하는 만성 자가면역질환이다. 정상적으로 외부 항원을 공격해야 할 항체들이 점막과 피부를 외부 물질로 잘못 인식해 공격하면서 천포창의 수포를 유발한다. 전신에 나타나는 다수의 수포가 특징인데 치료하지 않으면 사망률이 80%에 이른다. 치료에는 스테로이드·리툭시맙과 같은 약물이 쓰인다. 하지만 천포창 환자에게 전신 약물 치료를 해도 일부 병변이 잔존하면서 만성적인 물집이 발생하는 경우가 있다.
-
건강 챙기려 먹는 약이 '독' 됐다 …66세 노인 절반 이상 '부작용' 우려
우리나라 노인 인구에서 다약제(5개 이상 약물)·부적절 약물 복용자가 매년 늘고 있으며 이로 인한 사망·장애 위험도 덩달아 증가했다는 연구 결과가 나왔다. 고령화 시계가 빨라지는 만큼 향후 약물 과다와 부적절한 사용에 대해 의료계, 시민, 정부의 경각심을 일깨워줄 기초 자료로 활용 가치가 크다는 평가다. 분당서울대병원 입원전담진료센터 김선욱 교수, 서울아산병원 노년내과 정희원 교수, 한국보건의료연구원 윤지은 성과연구팀장 등 공동 연구팀은 2012~2021년까지 10년간 생애전환기 건강검진을 받은 66세 노인 330만 명을 대상으로 진행한 연구 결과를 27일 공개했다. 이번 연구에 따르면 2021년을 기준으로 연구 대상자인 노인 10명 중 3명(35.4%, 약 16만 명)이 90일 이상 다약제 복용을 지속해 2012년(32%, 약 8만 명)과 비교해 크게 상승한 것으로 나타났다. 10개 이상 약물을 복용하는 비율도 무려 8.8%에 달했다. 또 66세 인구의 절반 이상인 53.7%는
-
용인세브란스병원 "루닛 흉부 AI, 폐 질환 진단에 도움" 국제학술지 발표
2020년 개원 이후 모든 성인 흉부 일반 촬영에 루닛의 인공지능(AI) 영상 분석 소프트웨어인 '루닛 인사이트 CXR'을 적용 중인 용인세브란스병원이 27일 "AI는 결절성 질환 진단에 도움이 된다"는 결론을 냈다. 흉부 일반 촬영은 단일 영상 검사로는 병원에서 가장 많이 시행되며 대부분의 환자 진료에 있어서 기본이 된다. 다만, 화면이 2차원으로 표현돼 결절로 보이는 소견이라도 단순히 과거 감염 흔적부터 폐암에 이르기까지 다양한 원인이 거론될 수 있어 정확한 진단에 어려움이 따랐다. 이에 용인세브란스병원 영상의학과 황신혜·이민욱 교수 연구팀은 2021년 3월부터 2022년 5월 사이 이 병원에 처음으로 내원해 흉부 일반 촬영을 시행 후 AI 분석이 이루어진 환자 1만4563명의 데이터를 분석해 AI가 결절의 가능성을 15% 이상으로 판단한 사례의 최종 진단이 어떻게 이루어지고 임상적으로 어떤 의미가 있는지 살폈다. 우연히 발견된 결절성 병변을 분석하기 위해 폐 질환으로 진료받기
-
기침하다 '삐끗' 움직이기도 힘든 고통…폐렴까지 부르는 '이 병'
나이가 들어 원인 모를 허리 통증 생겼다면 단순한 노화 현상이 아닐 수 있다. 뼈가 성근 고령층은 무거운 물건을 들거나 살짝 주저앉기만 해도 척추뼈가 무너져내리는 척추 압박골절을 겪을 수 있다. 심한 경우에는 수술적 치료도 고려해야 한다. 척추 압박골절은 외부의 강한 힘으로 척추 모양이 납작하게 변형되는 골절 형태를 말한다. 우리 몸의 척추뼈는 원통 모양으로 내부 뼈 기둥으로 쌓여있는데, 이러한 뼈 기둥이 외부 충격에 부서지면서 변형이 일어난다. 일반적으로 압박 골절은 골밀도가 낮은 노년층에서 많이 발생한다. 골다공증으로 뼈가 약해진 상태에서는 넘어지거나 주저앉는 등 가벼운 충격이 '방아쇠'로 작용한다. 심한 골다공증일 땐 경우 단지 발을 헛디디거나 침대에서 일어날 때, 재채기하다가도 압박골절이 발생할 수 있다. 세란병원 신경외과 최수용 과장은 "최근에는 교통사고, 무리한 운동으로 젊은 척추 압박골절 환자도 늘고 있다"고 전했다. 척추 압박골절이 발생하면 골절이 일어난 부위에 급격
-
늙지 않으려면…국내 연구진이 발견한 '이 세포'의 놀라운 비밀
국내 연구진이 기존에 밝혀지지 않았던 '중간노화세포'의 존재를 인체 노화 과정에서 처음 확인했다. 이를 통한 노화 억제 전략도 세계 최초로 제시했다. 아주대의료원 생화학교실 박태준 교수(이영경 연구교수·박순상 연구강사)와 병리학교실 김장희 교수(김영화 연구교수) 연구팀은 노인 장기 조직에서 '중간노화세포'란 새로운 개념의 세포가 존재한다는 것을 세계 최초로 발견했다고 27일 밝혔다. 중간노화세포는 세포노화의 여러 진행 단계 중 젊은세포와 완전노화세포의 중간 단계에 있는 세포를 의미한다. 아주대의료원 연구팀의 분석 결과 이런 중간노화세포는 완전노화세포보다 노인 조직의 만성적인 염증과 장기 내 표피세포 기능 저하에 더 큰 영향을 미치는 것으로 나타났다. 중간노화세포의 축적이 노인의 장기 기능 장애와 직결된다는 것. 추가로 연구팀은 중간노화세포에 적절한 자극을 주면 다시 젊은세포와 비슷한 기능으로 회복할 수 있음을 세포와 동물실험을 통해 규명하기도 했다. 중간노화세포의 경우, 외부 성장
-
백일해 심상찮은 유행…2000년대 이후 11월 환자 '역대 최다'
백일해 유행이 심상치 않다. 경상남도를 중심으로 전국에서 환자가 속출하면서 2000년대 들어 11월 중 올해 가장 많은 환자가 발생했다. 청소년·성인에서 어린아이에게 전파되는 경우가 빈번한 만큼 개인위생을 준수하는 한편 백신 접종에도 적극적으로 나설 필요가 있다는 지적이다. 26일 질병관리청에 따르면 올해 신고된 백일해 환자는 모두 160명으로 이 중 절반을 훌쩍 넘는 92명이 이번 달(11월) 발생했다. 백일해는 제2급 법정 감염병으로 환자 발생 시 24시간 내 신고·격리가 원칙이다. 머니투데이의 보도([단독]"감기랑 비슷" 경남서 '백일해' 환자 속출…모두 1세~11세 어린이) 직후 질병청 집계 결과 지난 4일 기준 83명(의사 환자 포함)의 환자가 신고됐는데, 불과 한 달도 되지 않아 환자가 2배가량 급증한 것이다. 2001년 이후 11월 환자 수로는 최대 규모다. 백일해는 세균에 의한 감염병으로 환자가 기침·재채기할 때 튀어나온 비말을 통해 전파된다. "백일간 기침한다"는
-
韓 연구진 '심장혈관 융합 영상 원천 기술' 세계 첫 임상 적용 성공
국내 연구진이 단독으로 심장혈관 융합 영상의 원천기술 개발부터 첫 임상 적용에 성공했다. 고려대 구로병원 심혈관센터 김진원 교수, 카이스트 기계공학과 유홍기 교수 공동 연구팀은 고속 융합 카테터 영상 시스템을 개발하고, 심장혈관 내 고위험 동맥경화반의 고해상도 정밀 분자 영상을 인체 내에서 구현하는 데 성공했다고 23일 밝혔다. 연구팀은 앞서 2011년 국제 학술지 '네이처 매디슨'에 융합 카테터 기술 구현 가능성을 처음 보고했다. 이어 이번에는 총 79명의 환자를 대상으로 실제 성공적인 영상 획득에 성공했다. 구체적으로 연구팀은 심장에 혈액을 공급하는 '관상동맥'이 폐쇄되는 급성 관동맥 증후군 환자 20명과 안정형 협심증 환자 20명을 대상으로 영상을 획득한 후 6개월간 추적 관찰했다. 이를 통해 심장혈관 내 심장마비를 유발하는 고위험 동맥경화반의 분자적 특성을 밝히는 융합 영상의 효과를 검증하는 데 성공했다. 김진원 교수는 "안정형 환자군과 대비 고위험 환자군에서 병변을 악화시