뼈 빠지게 일은 못 했지만
뼈 부러지게 달려는 봤다.
~해보니 류의 글을 하나 추가하게 됐다.
"피로골절 당해 보니..."
체헐리즘 남형도기자도 이건 못 쓸 거다.
피로골절: 오랜기간 특정 부위 지속적인 충격이 가해져 뼈에 금이 가는 증상.주로 발가락 발목 정강이 뼈에 나타난다. 축구 배구 마라톤 처럼 발을 많이 쓰는 운동을 하는 사람들이 많이 당하는 부상이다.
처음에는 뼈에 가느다란 실금이 가는 상태여서 엑스레이로 발견이 잘 안되고 MRI를 찍어야 나오는 경우가 많다.
초기에는 수술하지 않고, 안정을 취하거나 깁스를 해서 뼈가 붙을 수도 있다. 내 경우는 통증이 나타난 지 한달 반 정도 엑스레이 상으로도 보일 만큼 선명히 금이 가 있었다. 통상적인 러닝을 하다가 뼈가 부러지는 일은 드물고, 이전에 그 부위에 충격이 가해지거나, 심하게 접질러서 약해져 있었을 가능성이 있다고 한다. 트레일러닝 하다가 바위에 발목 부딪히고 접지르는 일이야 늘 있었으니 그럴 지도 모른다.

20년 넘게 달렸으니 나사 한 번 조여줄 때가 되기도 했다. 6~9월 100일간 매일 평균 10km, 총 1047km를 뛴 게 화룡점정(?)이 됐다. 100일 달리기 99일째 되던 지난 추석연휴 마지막 날, 20km 뛰는데 '신호'가 왔다.
처음엔 걷지 못할 정도로 아팠는데 나아지는 듯 해서 그 뒤로도 주말에 5~8km 씩 뛰어봤다. 뛰면 확실히 통증이 느껴졌다.
하지만 다리가 부러진들,
군에서 첫 휴가 나온 아들녀석이 애비와 같이 달리고 싶다는데 10km 못 뛰겠나.
벼르고 별러 등록한 방선희 마라톤 아카데미 주말수업 한 번 못 가겠나.
눈 딱 감고 했다. '설마 부러지기야 했을까'라고 생각하며.
달리는 자들에게 부상은 피할 수없는 숙명이다. 관건은 조기치료와 휴식이다.
초기에 치료를 안한 건 아니다. 회사앞 한·양방 병원에 갔는데 여느 때처럼 별다른 진단없이 침·뜸·파스·주사·소염제 융단치료를 받았다.
어지간한 근육통이나 건염은 1~3주 휴식하고 물리치료 하면 회복 된다.
그런데 한 달이 넘어도 통증이 사라지지 않았다.
'다리가 부러진들'이 실제상황일 것 같은 불길한 느낌에 명성만 들었던 '달리는 의사회' 회장 이동윤 원장을 찾아갔다.
발목 부위를 만지고 몇 마디 묻더니 대번에 "피로골절일 수 있으니 정형외과에서 엑스레이를 찍어보라"고 답을 내놓았다. "우리가 너무 늦게 만났다"고 하셨다. 뭣하다가 이제 왔냐는 말씀이다.
교훈:달리다 생긴 부상은 달리는 의사한테 빨리 가야 한다
독자들의 PICK!
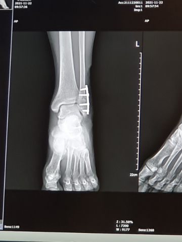
칼잡이들 사이에 명의로 소문난 40년지기 김준한원장이 운영하는 더 본 병원(자발적 무료 PPL임)으로 곧바로 달려가 족부전문의에게 수술을 받고 철심, 정확히는 티타늄심을 박았다. 이제 '600만불 사나이' 됐으니 펄펄 날아다닐 것...이라고 희망한다.
입원 1주일만에 23일 퇴원했다. 6주 정도는 깁스에 목발신세를 져야 한다. 그 뒤로도 몇 달간은 달리지 못 할 거라 하니 갈 길이 멀긴 하다.
대충 조그만 나사 하나 박는 줄 알았더니 이게 생각보다 큰 공사다. 근력 복원력이 괜찮을 걸로 믿고 작은 걸 썼다는데도 티타늄 심 6cm로 내 눈엔 '대못'이다. 겪어 본 요로결석통증, 치질 수술후 통증에는 못미치지만 수술후 하루 이틀은 진통제 필수다. 1~2년 뒤에 티타늄심 빼려면 이 과정을 한 번 더 거쳐야 한다. 몸에 담고 살아도 된다지만 격렬한 운동을 하면 나사가 빠지거나 티타늄심 끝부분과 뼈의 마찰로 골절이 생길 수도 있단다.
'그럴 줄 알았다, 엔간이 하지는, 이제 그만 하라는 신호다'...라고들 하실 거다.
하지만 밥 먹다 체했다고 숟가락 아예 놓을 수 있나.
오래 살겠다고, 살 빼겠다고, 기록 세우겠다고, 목표를 갖고 하는 행위는 오래 가지 못한다.
달리기이건 다른 운동이건 카르페 디엠, 그 자체가 즐거움이어야 한다. 부상과 극복과정도 즐기는 거다.
운동은 육신수련이기에 앞서 정신수양이다. 어차피 머잖아 썩을 육신, 아낀다고 안 쓰지 말고 아껴가며 최대한 오래오래 잘 쓰자는 생각이다.
이 쯤 해서 나만 아는 우리 집 가훈을 다시 한 번 복창한다.
'아끼다 똥된다'
이 대목에서 이 시는 또 왜 생각날까.
"연탄재 함부로 발로 차지 마라
너는
누구에게 한 번이라도 뜨거운 사람이었느냐"
-표절 버전-
"피로골절 비웃지 마라.
너는
뭐라도 한 번 똑 부러지게 해 본 사람이었느냐"
