
의료 인공지능(AI) 기업 뷰노가 최근 우즈베키스탄 국군중앙병원을 포함해 주요 군 병원 5곳에 인공지능 기반 X선 판독 보조 솔루션 2종을 공급했다고 23일 밝혔다.
우즈베키스탄 군 병원에 도입된 솔루션은 뷰노의 AI 기반 상지 엑스레이 판독 보조 솔루션 '뷰노메드 익스트리미티 엑스레이'와 이동형 엑스레이 장비에 AI 기반 흉부 엑스레이 판독 보조 솔루션 '뷰노메드 체스트 엑스레이'를 탑재한 패키지 제품이다. 두 제품 모두 뷰노가 과학기술정보통신부 및 정보통신산업진흥원(이하 NIPA)이 추진하는 '군 의료영상 데이터 기반 인공지능 판독 시스템 고도화 및 실증 사업(이하 군 의료 사업)'의 일환으로 개발한 제품이다. 격오지를 중심으로 현장 의료서비스가 가능하도록 설계돼 의료 인프라가 낙후한 지역에서도 진단 편차를 줄이고 의료진의 진단 효율성을 높일 수 있다.
뷰노 관계자는 "NIPA와 협력해 지난 5월 우즈베키스탄 국군 중앙병원에 제품을 설치하고, 6개월 동안의 사용성 평가를 성공적으로 수행했다"며 "우수한 평가 결과를 바탕으로 두 제품을 국군 중앙병원을 포함해 국군 지역병원, 국군 의무학교 등 현지 군 병원 5곳에 공급하게 됐다"고 말했다.
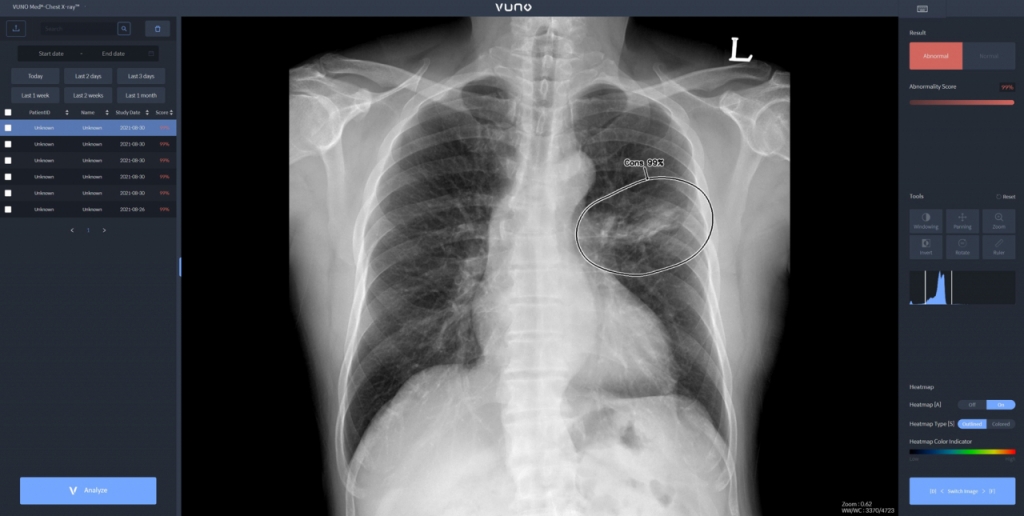
이번에 공급한 뷰노의 '뷰노메드 익스트리미티 엑스레이'는 딥러닝을 기반으로 X선 영상을 분석해 군 장병들의 부상이 잦은 손목, 손, 아래팔, 팔꿈치, 어깨, 위팔뼈 등 6개 부위의 이상 유무와 위치 정보를 제공하는 인공지능 소프트웨어다. 이동형 엑스레이 장비에 '뷰노메드 체스트 엑스레이'를 탑재한 패키지 제품은 별도의 차폐 시설 없이도 다양한 상황에서 환자의 흉부 X선 촬영 후 수 초 이내에 판독 결과를 제공할 수 있다.
이예하 뷰노 대표는 "정부 지원을 통해 두 제품을 선보일 수 있었다"며 "우즈베키스탄 현지 관계자와 협력 확대 및 추가 사업 기회에 대해 긍정적으로 논의하고 있으며, 향후 이곳을 거점으로 중앙아시아 지역에 뷰노의 인공지능 기술이 활용될 수 있도록 노력하겠다"고 말했다.