
특발성 폐섬유증(Idiopathic Pulmonary Fibrosis, IPF)은 알 수 없는 이유로 폐 조직이 점점 딱딱하게 '섬유화'되는 병이다. 시간이 지날수록 호흡이 점점 어려워지고 끝내 생명까지 위협할 수 있다. 진단 후 평균 생존 기간이 3~5년에 불과할 정도로 치명적이다.
특발성 폐섬유증의 국내 유병률은 10만명당 40명 내외로 알려졌지만, 65세 이상 인구로 한정하면 500~1500명당 1명 가량으로 결코 드문 질환은 아니다. 김경훈 가톨릭대 인천성모병원 호흡기내과 교수는 "특발성 폐섬유증은 희귀질환이지만, 이제는 희귀질환으로 부르지 못할 정도로 많아지고 있고 누구나 겪을 수 있다고 생각해야 한다"며 "아직 근본적인 치료법이 없는 만큼 조기 진단과 치료가 최선의 대책"이라 강조했다.
특발성 폐섬유증이라는 이름에서 알 수 있듯 아직 이 병은 정확한 원인이 밝혀지지 않았다. 다만 유전적 요인과 함께 먼지, 흡연, 오염물질 등 환경적 요인, 면역학적 요인, 방사선 노출 등이 복합적으로 작용할 가능성이 제기되고 있다.
특발성 폐섬유증은 섬유화 자체를 되돌릴 수 있는 방법이 없어 현재까지 근본적으로 완치할 수 있는 치료법이 없는 상태다. 다만 폐 섬유화 진행을 늦추는 항섬유화제(피르페니돈, 닌테다닙)가 개발돼 병의 진행을 억제하고 환자의 생존 기간을 연장하는 데 도움을 주고 있다. 특히 닌테다닙의 제네릭 의약품이 곧 발매 예정으로 국내 환자들의 약물 접근성이 확대될 전망이다. 하지만 이들 약물도 모든 환자에게 효과적인 것은 아니다. 김경훈 교수는 "최근 세계적으로 특발성 폐섬유증에 대한 신약 개발이 활발히 진행되고 있어 앞으로 더 나은 치료 성과가 기대된다"고 말했다.

특발성 폐섬유증의 주요 증상은 운동 시 호흡곤란이다. 질환이 진행될수록 마른기침이 심해지고 호흡곤란이 악화하는데 저산소증이 올 수도 있다. 손가락 끝이 둥글게 되는 곤봉지 현상이 나타나기도 하는데, 이는 저산소증이 오래될 경우 생기는 현상이다. 고령층에서 주로 발병하며 50대 이후 흡연 경험이 있는 사람에게서 더 흔하다. 김경훈 교수는 "특발성 폐섬유증의 초기 증상은 마른기침과 호흡곤란 등으로 일반적인 호흡기 질환과 비슷해 간과하기 쉽다"며 "이 때문에 실제 병원을 찾았을 때는 이미 폐 섬유화가 상당 부분 진행된 경우가 많다"고 말했다.
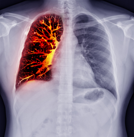
조기 진단을 위해서는 지속되는 기침, 운동 시 호흡곤란 같은 증상이 있을 경우 먼저 흉부 X선 검사를 받아보는 것이 좋다. 다만 흉부 X선만으로 특발성 폐섬유증을 정확하게 판별하기 어렵기 때문에 보다 정밀한 고해상도 흉부 CT(컴퓨터단층촬영)를 시행하는 것이 중요하다. 추가로 필요시 기관지 내시경을 통한 기관지폐포 세척 검사, 흉강경 수술을 통한 폐조직 검사를 시행하기도 한다. 또 폐 기능 검사를 시행해 질병의 중증도를 평가하고, 진행 속도를 확인한다. 이외에도 청진을 통해 폐에서 들려오는 특유의 '양측성 기저부 수포음'을 확인하는 것도 중요한 진단법 중 하나다.

특발성 폐섬유증은 단순 호흡기 질환을 넘어 환자의 전반적인 삶의 질을 크게 떨어뜨린다. 산소 공급이 필요해지는 단계에 이르면 일상적인 활동조차 어려워지고 극심한 피로감과 우울감, 불안감을 호소하기도 한다. 가족들도 역시 경제적, 정신적 부담이 커진다. 김경훈 교수는 "원인을 알 수 없는 마른기침이 지속하거나 호흡곤란 증상이 있다면 반드시 병원을 찾아 검사받는 것이 중요하다"며 "최근 새로운 약제 개발이 활발한 만큼 질환을 제대로 이해하고 적극적으로 치료에 임한다면 예후가 좋아질 수 있으니 증상을 무심코 넘기지 말아야 한다"고 강조했다.