
강한 햇빛은 피부암의 원인으로 작용한다. 통계적으로 피부암은 고령층에서 많이 발생하는데, 오랜 시간 축적된 자외선이 암 발생을 촉진하기 때문이다. 피부암은 초기 단순한 피부 변화나 점으로 보여 자칫 조기 치료 시기를 놓칠 수 있어 주의해야 한다.
피부암은 피부에 발생한 악성 종양을 총칭하며 표피, 진피 등 피부를 구성하는 모든 조직과 세포에서 발생할 수 있다. 크게 피부에서 발생이 시작한 '원발성 피부암', 다른 장기에서 발생한 후 피부로 전이된 '전이성 피부암'으로 분류한다. 통상 피부암은 전체의 95%를 차지하는 원발성 피부암을 의미한다.
원발성 피부암은 크게 피부의 멜라닌 세포에서 기원한 악성흑색종과 각질형성세포 등에서 기원한 비흑색종 피부암(흑색종 이외의 피부암)으로 분류할 수 있다. 한국인의 경우 기저세포암과 편평세포암이 흔하고 악성흑색종은 상대적으로 드물다. 피부암 전구증은 원발성 피부암으로 진행되기 전 단계 질환으로 광선각화증이 대표적이다. 전구증을 단순한 피부질환으로 오인해 치료를 늦출 경우 암으로 발전할 가능성이 있어 각별한 주의가 필요하다.
서울대병원 피부과 조성진 교수는 "자외선은 피부암의 대표적인 위험 인자"라며 "이외에도 방사선 노출, 면역 억제, 만성 궤양, 비소 섭취 등이 피부암의 위험을 증가시킬 수 있다"고 말했다.

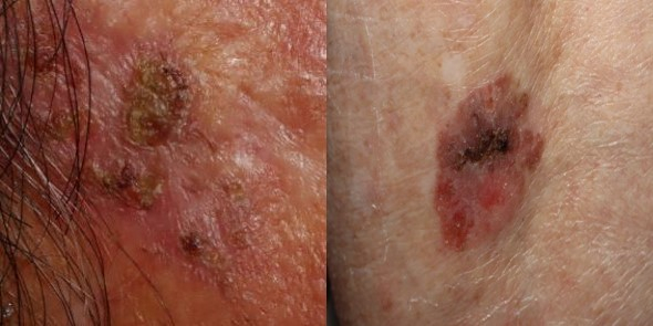
피부암은 종류가 다양하다. 먼저 기저세포암은 대부분 얼굴에 발생하며, 검은색 혹은 흑갈색의 볼록한 병변 형태로 나타나거나 중심부가 함몰되어 보이는 경우가 많다. 편평세포암은 초기에 붉은 반점처럼 보이지만 점점 병변이 두꺼워지면서 각질과 진물이 동반되고, 심해지면 궤양이나 흉터가 생길 수 있다. 악성흑색종은 아시아인의 경우 주로 손바닥, 발바닥 혹은 손발톱 주위에 발생한다. 처음에는 검은 점처럼 보이지만 계속 병변이 커지면서 불규칙한 형태로 진행한다. 합병증을 동반한 경우를 제외하면 대부분의 피부암은 그 자체로 통증이나 심한 가려움증을 동반하지 않는다.
피부암전구증에 속하는 광선각화증은 얼굴 등 햇빛에 자주 노출되는 피부에 발생한다. 병변이 편평한 붉은 반 형태로 나타나거나 뿔처럼 솟아오르기도 한다. 보웬병은 붉은 판 형태로 발현되며, 눈으로 보기에 습진과 유사해 주의 깊게 살펴봐야 한다.
독자들의 PICK!

피부암이 의심되는 경우, 확진을 위해 피부조직검사를 시행한다. 기저세포암은 타 장기로의 전이가 비교적 드물지만, 편평세포암이나 악성흑색종은 병기 결정을 위해 CT나 PET 검사를 활용하여 전신 전이 여부를 확인하는 경우가 많다.
피부암은 저절로 호전되지 않으므로, 반드시 적절한 치료를 받아야 한다. 대부분 일차적으로 수술을 고려하는데 암세포를 완전히 제거하기 위해 육안적으로는 정상처럼 보이는 피부 조직도 포함해 제거한다. 피부 결손이 클 경우는 국소피판술 및 피부이식술 등으로 피부를 재건한다. 타 장기로의 전이가 발견되거나 가능성이 높은 경우에는 수술 이후 전신 항암치료, 방사선치료 등을 진행할 수 있다.

대부분의 피부암은 조기에 발견하면 완치할 수 있는 만큼 초기 악성흑색종을 발견하기 위한 자가진단법도 숙지할 필요가 있다.
가장 널리 쓰는 'ABCD' 방법은 각각 비대칭성(Asymmetry), 불규칙한 경계(Border Irregularity), 색조의 다양함(Color Variegation)과 직경(Diameter)이 6mm 이상을 의미한다. 악성흑색종은 양성모반(점)과 달리 모양이 상하좌우 대칭적이지 않고, 가장자리가 균일하지 않으며, 색조가 검은색, 갈색, 회색 등으로 다양하게 나타날 수 있다. 동시에 점의 크기가 커지거나 직경이 6㎜ 이상인 특징이 있어, 본인의 피부를 유심히 관찰할 필요가 있다.
조성진 교수는 "피부암을 예방하려면 야외 활동 시 2시간 간격으로 자외선차단제를 도포하고 양산을 쓰는 등 자외선 차단을 습관화하는 것이 중요하다"며 "피부에 있는 점이 비대칭적이거나 불규칙한 모양으로 점점 커지는 양상이라면 지체하지 말고, 피부과 전문의를 찾아 적절한 검사와 진료를 받는 것이 중요하다"고 조언했다.