[메디슈머 시대-슬기로운 치과생활 <5>양악수술1 (종합)
<!--start_block-->
━
사망 부른 '성형수술'…숨어버린 '양악' 환자들
━
<!--end_block-->[메디슈머 시대-슬기로운 치과생활 <5>양악수술1]①고난도 수술로 전문의 집도 필수...17~18세가 최적시기



‘연중기획 - 메디슈머(Medical+Consumer) 시대’는 코스피상장사메디플란트의 모회사인 메디파트너와 함께 합니다.
#부정교합으로 턱이 뒤틀려 있는 A씨는 외출을 거의 하지 않고 은둔생활을 한다. 외부활동이라곤 부모가 운영하는 작은 식당에서 일을 거드는 정도다. 이때도 마스크로 얼굴을 가린다. 고객들의 시선이 부담스럽고 장사에 방해될까 우려해서다. 양악수술을 받아야 하지만 잘못될까 두렵기도 하고 경제적 여력도 없다. 부모가 A씨의 수술을 위해 매월 일정금액을 저축하지만 2000만원대에 달하는 양악수술을 받으려면 앞으로 10여년을 꼬박 모아도 어려운 상황이다.
#2016년 7월 20대 여성 B씨는 강남 유명 성형외과병원에서 양악수술을 받고 퇴원한 직후 숨졌다. 당시 국립과학수사연구원의 부검결과 B씨의 사망원인은 ‘기도 폐쇄성 질식사 추정’으로 숨을 쉬지 못해 숨진 것으로 드러났다. 수술 후 회복과정에서 출혈이나 부종 등으로 기도가 막힌 것으로 전문가들은 보고 있다.
13일 치과업계에 따르면 2010~2013년 양악수술을 통한 성형 붐이 일면서 과다출혈, 호흡곤란 등으로 사망사고가 잇따랐다. 이후로도 강남 성형외과병원에서 양악수술을 받고 사망한 환자의 진료기록을 조작하는 등의 사건이 드러나며 경찰이 수사에 나서기도 했다. 이 때문에 양악수술이 성형외과 수술분야로 잘못 알려진 데다 목숨을 내놓고 받아야 하는 수술로 오인된다는 지적이다.
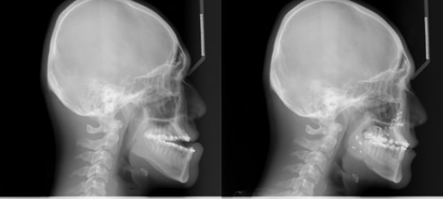
양악수술(orthognathic surgery)은 잘못 위치한 '턱뼈'(gnathologic system)를 '수술'(surgery)을 통해 '고쳐준다'(ortho=correct)는 의미로 턱뼈와 치아의 위치를 정상적인 위치로 교정하는 수술이다. 즉 성형외과병원이 아닌 치과병원에서 구강악안면외과 전문의들이 치료를 목적으로 하는 게 양악수술이다.
독자들의 PICK!
황순정 서울대 치과병원 구강악안면외과 교수는 "양악수술이 끝나면 기도가 부어 호흡곤란이 올 수 있는데 사망사고를 낸 성형외과에서는 이에 대한 확인 및 처치를 안한 것으로 추정된다"며 "무분별하게 행해진 양악수술로 부정적인 인식이 커져 실제 치료가 필요한 환자들마저 기피하는 상황"이라고 말했다. 이어 "양악수술은 위험성이 큰 만큼 미용이 아닌 치료로서 인식 전환이 필요하다"고 강조했다.
입을 다물려고 해도 턱뼈의 구조적 문제로 윗니와 아랫니가 맞물리지 않는 '부정교합', 한쪽 턱뼈가 더 많이 자라나 얼굴이 심하게 일그러지는 '안면비대칭', 앞니가 서로 맞지 않아 음식물을 제대로 못 씹고 발음이 부정확해 일상생활이 어려운 '주걱턱'(하악전돌증) 등이 양악수술 대상이다.

박재억 가톨릭대학교 서울성모병원 구강악안면외과 교수는 "치료가 필요한 양악수술 대상자는 대부분 유전인 경우가 많다"며 "어렸을 때는 괜찮다가도 사춘기인 성장시기에 턱이 자라면서 주걱턱이 되기도 하고 한쪽만 자라면서 뒤틀어지기도 한다"고 설명했다.
사춘기에 갑자기 변한 턱뼈로 인해 생기는 문제는 크게 2가지다. 정서적으로는 외모에 대한 콤플렉스가 생겨 사회활동이 위축될 수 있고 심한 경우 우울증을 앓을 수도 있다. 기능적으로는 제대로 음식을 씹지 못해 위장장애가 오거나 턱관절 디스크가 빠져 불편을 겪을 수도 있다. 발음이 제대로 안되는 문제도 발생한다.
하지만 생명에 지장이 생기는 것은 아니기 때문에 A씨처럼 숨어지내는 사람이 많다. 문제는 양악수술이 단순히 뼈를 깎는 게 아니라 뼛속을 지나는 신경에 충격을 줄 수도 있어 나이가 들수록 회복이 더디고 부작용이 나타날 확률도 높다는 것이다. 뼈를 깎아도 살과 근육 등 연조직까지 잘라내는 것은 아니기 때문에 코퍼짐, 긴 인중, 들창코, 턱살 늘어짐 등의 부작용이 생길 수도 있다.
구강악안면외과 전문의들은 치료 목적의 양악수술이 필요하다면 뼈의 성장이 어느 정도 멈추고 회복력은 빠른 17~18세가 가장 적정한 시기라고 밝혔다. 박 교수는 "양악수술의 필요 여부는 치과 교정과에서 1차 판단을 한다"며 "턱뼈가 한쪽 또는 양쪽으로 지나치게 많이 자란 경우 교정으로 치료가 안되기 때문에 수술이 필요하다"고 말했다.
김유경 기자
<!--start_block-->
━
황순정 서울대 교수 "양악수술, 치의학 지식 필수적"
━
<!--end_block-->[메디슈머시대-슬기로운 치과생활<5>양악수술1]②'수술 2200건' 구강악안면외과 베테랑

"심미적 개선을 위한 양악수술 역시 환자의 안전이 최우선으로 고려돼야 합니다."
황순정 서울대치과병원 구강악안면외과 교수(사진)는 최근 머니투데이와 만나 양악수술을 구강외과 전문의에게 받아야 하는 이유에 대해 이같이 말했다.
황 교수는 악골(턱뼈)교정 및 수술분야 전문가로 22년간 총 2200여건의 수술을 집도한 베테랑이다. 서울대 치대를 졸업하고 독일 튜빙겐대에서 치의학과 의학박사를 취득하며 치의학은 물론 의학지식까지 두루 갖췄다는 평가다.
약 2시간 진행된 인터뷰에서 황 교수는 양악수술을 집도하기 위해선 치의학지식이 필수라고 수차례 강조했다. 수술 전 환자의 턱뼈와 관절, 디스크 상태를 점검해 최적의 솔루션을 설계하고 수술 중 변화에 민첩하게 대응하기 위해선 해당 지식의 종합적 이해가 선행돼야 한다는 설명이다.
그는 “턱뼈를 세 부분으로 쪼개서 재결합하는 방식 외에도 양악 자체를 회전시켜 심미적 효과를 낼 수 있다”며 “뼈를 쪼개는 경우는 물론 양악을 회전시킬 때도 관절을 압박할 우려 등이 있어 치의학지식과 경험이 반드시 필요하다”고 강조했다.
황 교수는 단순히 미용 목적을 위해 양악수술을 무리하게 진행하면 각종 부작용을 초래할 수 있다고 지적했다. 턱뼈에 위치한 감각신경을 손상시키거나 과다출혈, 부종으로 인한 호흡곤란으로 심각한 경우 사망에 이른다는 것이다.
그는 “2000년대 중반부터 양악수술이 미용개선 수단으로 주목받으면서 성형업계 ‘블루오션’으로 자리잡았다”며 “‘비즈니스 마인드’를 가진 일부 성형외과 의사 등이 미용 목적의 양악수술을 무분별하게 진행한 점도 각종 사건사고의 원인”이라고 안타까워했다.
그는 또 치과 의사는 6년제 치대나 4년제 치의학전문대학원 수련과정에서 수차례 양악수술 등을 경험한다고 강조했다. 반면 의대에서는 같은 기간 성형외과와 피부과, 안과 등 다수 전공을 배우면서 양악수술에 대해선 개론 형식의 학습에 그친다는 설명이다.
황 교수는 “국내 양악수술 건수나 관련 논문 수는 유럽 국가에 비해 많은 편”이라며 “각자 외모를 개성으로 받아들이지 못하는 분위기는 우리 사회의 숙제”라고 말했다. 그러면서 “양악수술은 때때로 각종 부작용은 물론 목숨까지 위협하는 만큼 충분한 지식과 경험을 갖춘 전문가가 집도해야 한다”고 재차 강조했다.

이원광 기자
<!--start_block-->
━
"양악도 보험 가능…비용부담에 치료방치 말아야"
━
<!--end_block-->[메디슈머시대-슬기로운 치과생활 <5>양악수술1] ③저작·발음개선, 악골발육장애등 경우 적용
양악수술도 의료보험 적용을 받을 수 있을까. 반은 맞고 반은 틀리다. ‘치료가 시급한’ 경우면 된다.
건강보험심사평가원은 이를 위해 악안면교정수술(양악수술) 보험급여 인정기준을 마련해 규정했다. 보건복지부의 보험급여 인정기준 고시에 따르면 양악수술은 저작(음식 등을 씹는 행위)·발음 기능개선 목적을 위해 시행된 경우 보험을 적용받을 수 있다. 외모개선 목적인 경우 ‘악골(턱뼈)발육장애’와 ‘심각한 부정교합’ 2가지 중 포함돼야 한다.
악골발육장애는 다시 △선천성 악안면(턱·얼굴) 기형으로 인한 구순구개열, 반안면왜소증 등 악골발육장애 △종양·외상의 후유증으로 인한 악골발육장애 △뇌성마비 등 병적 상태로 초래되는 악골발육장애로 나뉜다. 선천·후천적 이유로 악골이 기형이라고 판단될 만큼 변형된 형태를 띠는 경우다.
위턱·치아가 아래턱·치아와 정상적으로 맞물리지 않는 부정교합도 보험을 적용받을 수 있다. 기준은 10㎜다. △교정치료 전 상·하악 전후 교합차가 10㎜ 이상 △양측으로 1개 치아씩 또는 편측으로 2개 치아 이하만 교합되는 경우 △상·하악 중절치 치간선(dental midline)이 10㎜ 이상 어긋난 경우만 보험 대상이다.
보험 적용을 통한 환자부담률은 경우의 수가 많아 가늠하기 어렵다. 양악수술의 세부방법과 수술 전후 치열교정 등 과정이 복잡한 데다 환자 상태도 다양하기 때문이다.
심평원 관계자는 “수술방법과 종류에 따라 양악수술의 세부 수가코드만 29개에 달할 만큼 다양해 일률적으로 계산하기 어렵다”고 설명했다. 다만 업계에서는 본인 부담률을 절반에서 최소 10% 낮출 수 있다고 본다.
의료업계 관계자들은 이처럼 보험 적용이 가능한 만큼 안면기형이나 심각한 부정교합 환자들이 비용을 이유로 치료와 수술을 주저해서는 안된다고 강조한다. 양악수술은 호흡기 등 주요 부분의 수술인 만큼 고난도라 통상 비용이 1000만원 넘는다.
업계 관계자는 “연예인 사례 등으로 양악수술이 ‘고비용 미용수술’로만 알려져 오히려 치료가 급한 환자들이 이를 주저하는 역효과가 발생했다”며 “보험 적용 여부 등을 전문의와 상의하고 결정해야 한다”고 말했다.
고석용 기자