[정심교의 내몸읽기]
5월은 어린이날, 부처님오신날 등 각종 공휴일로 이른바 '황금연휴'가 이어진다. 또, 화창한 날씨와 가정의 달을 맞아 국내외 가족여행을 떠나는 경우도 많다. 그런데 연휴 기간에 여행지에서 치아가 부러지거나 수복물이 빠지는 등의 응급상황이 발생하면 어떻게 대처해야 할까? 나아가 국내가 아닌 해외에서 이런 일이 발생한다면 고려할 수 있는 응급처치 방법에는 어떤 것들이 있을까.
서울대치과병원 원스톱협진센터 김욱성 교수(치과보존과 전문의), 구강악안면외과 한정준 교수(치과응급진료실장)와 함께 연휴 기간에 발생한 치아 응급상황에 따른 대처 방법을 알아본다.

과거에 치료받았던 수복물이나 보철물 등의 치과재료가 빠지거나 부러진 경우에는 해당 재료를 버리지 말고 지참해 치과에 내원하는 게 좋다. 탈락한 치과재료는 경우에 따라 활용이 가능하거나 그렇지 않기 때문이다.
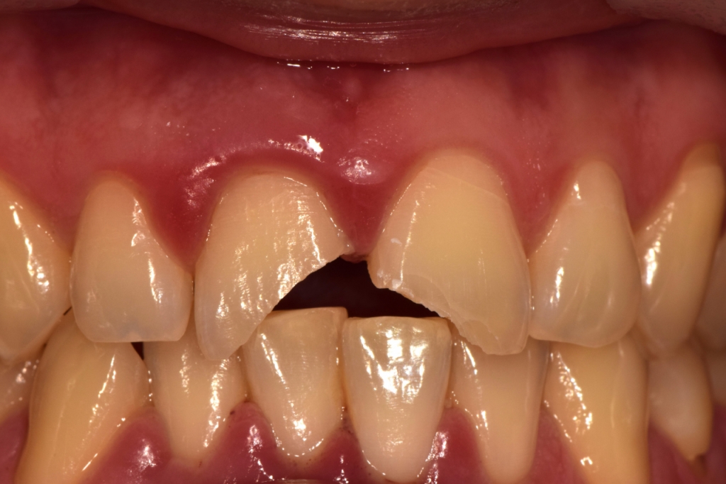
치아 위치가 변하지 않고 단순히 치아 머리 부분이 부러졌을 때는, 부러진 치아 조각을 식염수에 담근 상태로 치과에 내원하면 된다. 부러진 치아 조각이 활용할 수 있는 경우, 치료가 훨씬 수월해질 수 있기 때문이다. 반면에, 치아 위치가 변한 때는 가급적 빨리 치과에 내원해 치아 재위치는 물론 후속 치료를 받을 필요가 있다.
유치가 아닌 영구치가 뿌리째 빠진 경우는 어떨까. 김욱성 교수는 "치아 외상 중 가장 응급에 해당하는 상황"이라며 "빠진 치아를 찾고, 치아 뿌리 쪽이 아닌 치아 머리 부분을 잡고 치아가 빠진 위치에 넣어줘야 한다"고 권했다.
이어 김 교수는 "치아가 더러울 경우 우유나 식염수, 타액(침)으로 부드럽게 헹구고 원래 치아 자리에 넣는 게 좋다"며 "이후 가능한 한 빨리 치과에 방문해 후속 조치를 받아야 한다"고 강조했다.
사고 현장에서 이런 처치가 불가하거나 치아를 다시 위치시키는 과정에서 추가 손상이 우려되는 경우, 치아 뿌리가 온전하지 않은 경우엔 빠진 치아를 우유·식염수·타액이 담긴 보관용액에 넣어 '즉시' 혹은 '가능하면 60분 이내' 치과에 내원해 진단과 응급처치를 받아야 한다.
김욱성 교수는 "만약 해외에서 이런 응급상황이 발생했을 때 귀국 후 치료받아도 되는 경우도 있지만, 치아 위치가 바뀌었거나 치아가 뿌리째 빠졌을 때는 현지에서라도 치과에 방문 후 진단과 응급처치를 받는 게 좋다"고 권했다.

입술·혀가 찢어지는 경우도 있는데, 가장 흔한 원인은 넘어지거나 음식물을 씹을 때 실수로 깨무는 것이다. 이때, 소독된 거즈 등이 있다면 출혈 부분을 확인하고 압박해 지혈하되, 거즈 대신 깨끗한 천 등을 이용할 수 있다. 압박 지혈을 할 때, 지혈됐는지 여부를 너무 자주 확인하기보다는 10분 정도 압박 후 확인하는 게 좋다.
독자들의 PICK!
한정준 교수는 "대부분 입술이나 혀의 찢어짐이 표면에 국한된 경우 봉합 없이도 대체로 잘 치유된다"며 "하지만 ▲상처 깊이가 깊거나 ▲상처가 벌어지거나 ▲오염원이 상처에 존재할 경우 잘 낫지 않고 감염 등의 위험에 처할 수 있고 드물게는 입술 변형이 야기될 수 있다"라고 설명했다.
발치 혹은 임플란트 수술 후 피가 계속 날 때도 압박 지혈이 필요하다. 소독된 거즈 등을 이용해 피가 나는 부위를 압박하는데, 해당 부위를 지속해서 건드리거나 문지르는 경우 다시 피가 날 수 있어 주의해야 한다. 한 교수는 "출혈이 지속하거나 혀 밑, 턱 밑 등의 부기가 심해지면 연하곤란(삼킴 장애), 호흡곤란 등 위급 상황이 발생할 수 있다"며 "이때는 치과 응급진료실을 찾아 정확한 평가와 처치를 받아야 한다"고 강조했다.
김욱성 교수는 "치아 외상은 다양한 상황에서 예기치 못하게 발생할 수 있지만, 술에 취한 상태에서 자전거나 전동킥보드 등을 운전해 사고가 나면서 발생한 경우들도 있으므로 음주운전은 절대 금물"이라고 강조했다.
치통이 너무 심할 때는 ▲진통제 복용 ▲찬물이나 얼음 머금고 있기 ▲너무 뜨겁거나 자극적인 음식 피하기 등의 조치를 취할 수 있다. 그러나 해당 조치들의 효과는 일시적이기 때문에, 치과 내원 후 치통의 원인을 파악하고 적절한 치료를 받아야 한다. 김 교수는 "치통의 원인은 다양하지만, 충치를 방치해서 생긴 치수염으로 인한 통증이 대표적"이라며 "이는 철저한 구강 위생관리, 적절한 치과 치료, 주기적 치과 검진을 통해 예방할 수 있다"고 덧붙였다.