의료in 리포트
최신 건강·의학 뉴스를 한눈에! 암, 비만, 만성질환, 정신건강, 신약·치료법 등 다양한 질병과 치료 트렌드, 예방 정보, 연구 동향을 쉽고 빠르게 전달합니다.
최신 건강·의학 뉴스를 한눈에! 암, 비만, 만성질환, 정신건강, 신약·치료법 등 다양한 질병과 치료 트렌드, 예방 정보, 연구 동향을 쉽고 빠르게 전달합니다.
총 704 건
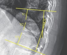
나이가 들어 원인 모를 허리 통증이 생길 때 한 번쯤 의심해야 할 것이 '척추 압박골절'이다. 뼈가 약한 고령층은 무거운 물건을 들거나 살짝 주저앉기만 해도 척추뼈가 부러지는 압박골절이 발생하기 쉽기 때문이다. 뼈가 텅텅 빈 골다공증이 많이 진행됐을 땐 단지 발을 헛디디거나 침대에서 일어날 때, 재채기하다가도 압박골절이 발생할 수 있다. 골절은 삶의 질을 감소시킬 뿐 아니라 골절로 인해 활동이 줄어드는 경우 심장병과 폐렴 등의 합병증으로 이어져 생명을 위협할 수도 있다. 척추 골다공증성 압박골절의 경우, 골절 부위에 특수한 바늘을 통해 골시멘트를 주입, 압박골절을 단단하게 만드는 시술인 '척추체 성형술'을 시행하기도 하고, 주사를 놓아 치료할 수도 있다. 이렇듯 다양한 치료법이 있지만 아직 각 치료의 효과를 비교한 연구는 많지 않았다. 이에 성균관의대 강북삼성병원 신경외과 오재근 교수 연구팀은 2014~2022년 흉부 및 요추 압박골절을 진단받은 86명의 환자 중 척추체 성형술 치
지난해 동물보호법이 개정돼 맹견을 키우려면 사육 허가와 기질 평가를 받아야 한다. 견주 면담과 현장평가 등을 진행해 공격성이 낮다고 판단되는 경우만 맹견 사육을 허가한다는 것이다. 현재 동물보호법상 도사견, 핏불테리어, 아메리칸 스태퍼드셔 테리어, 스태퍼드셔 불테리어, 로트와일러 등이 맹견으로 분류된다. 우리나라에서는 해마다 2000건가량의 개 물림 사고가 발생한다. 해외와 달리 남성보다 여성 환자가 더 많다. 특히, 영유아는 성인과 비교해 팔·다리보다 얼굴과 같이 치명적인 부위를 물리는 경우가 많아 더욱 주의할 필요가 있다. 13일 의료계에 따르면 최근 대한응급의학회지에 한림대 강동성심병원 응급의학과 연구팀이 코로나19(COVID-19) 전후 개 물림 사고를 분석한 연구(코로나 팬데믹 시기 전후의 국내 개 물림 손상의 역학적 특성)가 실렸다. 전국 23개 의료기관이 참여하는 질병관리청 응급실 손상 환자 심층 조사자료를 토대로 국내 개 물림 사고를 세부 분석했다. 이에 따르면 개
서울특별시보라매병원은 예후가 가장 나쁜 갑상선암인 '역형성 갑상선암'의 특성을 분석한 내분비대사내과 송영신 교수 연구팀의 논문이 미국갑상선학회 공식 학술지인 '갑상선지'(Thyroid) 표지 논문에 선정됐다고 12일 밝혔다. 해당 연구의 학술적 중요성을 조명한 전문가의 논평(Commentary)도 함께 게재됐다. 갑상선암은 크게 △유두암 △여포암 △수질암 △미분화암 및 역형성암 등 크게 4가지로 나뉜다. 대부분의 갑상선암은 유두암과 여포암에 해당하며, 천천히 자라고 치료 예후도 비교적 좋은 편이다. 반면 미분화암, 역형성암은 전체 갑상선암 중 0.2~1% 수준으로 환자가 적지만 암세포 성장이 빠르고 전이가 잘 돼 예후가 좋지 않다. 진행 속도가 너무 빨라 수술이 불가능한 경우도 많다. 연구팀은 이처럼 예후가 나쁜 역형성 갑상선암 환자 74명을 포함해 총 1634건의 전사체 데이터를 통합 분석했다. 역형성 갑상선암을 'ATC-IF' 아형과 'ATC-E' 아형으로 나누고, 두 아형의
뚜렷한 원인 없이 코 뒤로 분비물이 넘어가는 '만성 후비루'(특발성 후비루, Chronic Idiopathic Postnasal Drip) 환자가 '해방'될 수 있는 길이 열렸다. 환자 다수에서 항히스타민제와 비충혈제 병용치료가 증상 완화에 효과적이라는 연구 결과가 최근 제시되면서다. 인제대 일산백병원 이비인후과 최익수 교수 연구팀은 3개월 이상 만성적인 후비루 증상을 호소하는 환자 133명을 분석한 결과, 71.6%의 환자에서 1세대 항히스타민제와 비충혈제 병용요법 시행 후 증상이 호전되는 것으로 나타났다고 8일 밝혔다. 이번 연구 결과는 SCI급 국제학술지 '인 비보'(In Vivo) 최근호에 게재됐다. 특발성 후비루는 알레르기 비염, 부비동염, 위식도 역류 등 일반적인 원인이 모두 배제된 상태에서 코 또는 부비동의 분비물이 목뒤로 넘어가는 느낌이 만성적으로 지속되는 질환이다. 연구에 참여한 환자들의 평균 연령은 55.4세, 증상 지속 기간은 평균 36개월로 대부분이 일상생활에
임신 중에 운동과 외부 활동을 과도하게 줄이는 것이 오히려 산모와 태아 모두에게 악영향을 미칠 수 있는 것으로 나타났다. 임신 중 비만이 임신성 당뇨보다도 임산부와 출생아 건강에 부정적인 영향을 미칠 수 있다는 사실이 확인되면서다. 한국보건의료연구원 환자중심 의료기술 최적화 연구사업단(이하 PACEN)은 '국내 고위험 산모의 임상적 특성 및 주산기 예후 분석을 통한 고위험 산모 관리모델 개발' 연구'를 토대로 이 같은 내용을 담은 임상적 가치평가 결과를 7일 발표했다. PACEN에 따르면 우리나라는 평균 출산 연령이 2007년 30. 6세에서 2023년 33. 6세로 늦춰지면서 다태아 및 조산아 출산 등 고위험 임신도 덩달아 증가하고 있다. 그러나 사회적 관심이 임신 성공 자체에 집중돼 고위험 임신의 위험인자나 예후에 대해서는 상대적으로 관심이 부족한 실정이다. 이번 연구에서 대표적인 고위험 임신의 위험인자로 지목된 것은 첫째, 고령 임신이다. 2005년부터 2019년까지 국민건강보험공단 자료를 토대로 국내 초임부 368만 5817명을 분석한 결과, 임산부의 연령이 증가할수록 조산 위험이 높아지는 것으로 나타났다.
고지혈증 치료 약으로 많이 쓰이는 '스타틴'이 만성 간질환 환자의 간세포암(간암) 예방에도 효과가 있는 것으로 밝혀졌다. 간염, 지방간 등 간질환을 오랜 기간 앓아온 환자들에게 스타틴이 간암 위험을 줄이는 새로운 치료제가 될 수 있을 전망이다. 서울아산병원 소화기내과 최종기 교수와 미국 하버드의대 메사추세츠 종합병원 레이먼드 정 교수 연구팀은 만성 간질환 환자가 스타틴을 장기간 복용한 경우 그렇지 않은 환자에 비해 간암 발생과 간 섬유화 진행이 현저히 감소했다고 30일 발표했다. 연구팀은 메스 제너럴 브리검(Mass General Brigham), 메사추세츠 종합병원이 속한 미국 최고의 병원 네트워크)의 환자 데이터를 활용해 만성 간질환 환자 16,501명을 대상으로 스타틴 복용에 따른 간세포암 발생률, 간부전 발생률, 간 섬유화 진행 여부를 분석했다. 연구 대상자는 2000년부터 2023년 사이에 만성 간질환 진단을 받았으며 간암이나 간부전 병력이 없는 40세 이상 성인으로 구성됐다. 이들은 스타틴을 복용한 3610명과 복용하지 않은 1만2891명으로 나뉘었다.
우리 몸에는 뇌에서부터 등 아래까지 신경 다발이 지나가는 척수가 있다. 척수가 지나가는 경추(목뼈)가 좁아지거나 눌리면 신경이 압박받아 손과 발, 몸 전체에 이상이 나타나는데 이는 흔히 '목 중풍'이라 부르는 '경추 척수증'의 주된 증상이다. 경추 척수증은 보통 손발과 팔다리 양쪽에 증상이 나타나고 서서히 진행되는 양상을 보인다. 젓가락질과 단추 채우기, 글쓰기 같은 손놀림이 둔해지며 양쪽 팔다리 힘이 약해진다. 손이나 발이 저리고 감각이 둔해지고, 휘청거리거나 발이 자주 걸리는 증상이 나타난다. 경추 척수증은 나이가 들면서 디스크나 뼈가 자라나 척수를 눌러 생길 수 있다. 또 사고 등 목이 충격을 받거나 후종인대가 딱딱하게 굳는 병(후종인대 골화증)으로 신경이 눌리기도 한다. 특히, 경추 척수증과 뇌 질환은 모두 신경계 기능 장애를 유발한다는 점에서 뇌졸중, 파킨슨병, 알츠하이머를 포함한 뇌 질환과 혼동하기 쉽다. 모두 △보행 장애 △감각 둔화 △사지 힘 빠짐 △요실금 또는 배뇨 지연 등의 증상이 나타나는 공통점이 있다.
평소 구부정한 자세로 컴퓨터 앞에서 업무를 보고, 스마트폰 삼매경에 빠진 현대인은 '목 통증'을 달고 사는 경우가 많다. 거북목 증후군이나 근막동통 증후군, 목 디스크처럼 과거에는 다소 생소했던 근골격계 질환도 어느새 현대인의 '고질병'으로 자리매김하는 모습이다. 이유는 있다. 전자기기에 몰입하다 보면 자신도 모르게 어깨를 움츠리고 목을 앞으로 쭉 빼는 자세를 취하게 된다. 무게 중심이 앞으로 쏠리면서 목뼈를 지탱하는 목 뒷부분의 근육과 인대가 과도한 힘을 받아 팽팽하게 당겨져 비정상적으로 늘어난다. 이동찬 힘찬병원 척추클리닉 원장(신경외과 전문의)은 "정상적인 C자형 경추(목뼈) 만곡이 '일자형'이나 '역 C자'형으로 바뀌면서 목덜미에서 어깨까지 통증과 뻐근함이 느껴진다"며 "근육이 과도하게 긴장해 두통이 발생하기도 한다"고 설명했다. 거북목 자세는 머리가 제 위치에 있을 때보다 목에 4~5배 이상의 하중을 가하는 것으로 알려져 있다. 이런 자세를 장기간 유지하면 목과 어깨의 통증을 부르고 방치할 경우 만성 통증을 부르거나 목 디스크로 이어진다.
오래 사용할 때 뼈가 약해질 수 있는 기존 골다공증 치료제의 부작용은 줄이면서도 효과적으로 뼈를 강화할 수 있는 새로운 형태의 부갑상선 호르몬(PTH) 유사체가 국내 연구진에 의해 발견됐다. PTH는 체내 칼슘과 인의 항상성을 유지하는 데 핵심적인 역할을 한다. 혈중 칼슘 농도가 낮아지면 PTH 분비가 촉진된다. PTH는 먼저 뼈에 작용, 저장된 칼슘과 인산염을 혈액으로 방출시키는 '골흡수'를 유도한다. 동시에 신장에서 칼슘의 '재흡수'를 증가시키고 인의 배설을 촉진한다. 신장에서는 비활성 비타민D를 활성 형태로 전환해 소장에서 칼슘과 인의 흡수를 돕는 간접적인 역할도 수행한다. PTH의 간헐적 투여는 뼈 형성에 관여하는 조골세포(Osteoblast)의 분화와 활성을 증진하고 세포 사멸을 억제함으로써 골 형성을 촉진한다. 골다공증 치료제로 널리 활용되는 배경이다. 다만, 지속해서 투여하면 골흡수를 가속해 뼈 손실을 일으키고, 간헐적 방식으로 투여했더라도 기간이 2년 이상 기간이 길
치매는 기억력을 비롯한 인지기능의 저하가 주요 증상이다. 알츠하이머병은 뇌에 병리 물질이 쌓이면서 퇴행성 변화가 발생하는 것이 특징으로, 초기에 경미한 기억력 저하에서 시작해 나중에는 본인의 자서전적인 기억력이 사라지고 판단력 저하가 동반된다. 독립적인 일상생활이 어려워지기 전 적극적으로 예방과 치료에 나서야 하는 이유다. 그런데 치매로 평가할 정도의 인지기능 저하가 없더라도, 노년기 생애 처음으로 정신행동 증상이 발생할 경우는 향후 치매로 진행할 가능성이 상당히 높다. 2008년 아르헨티나의 정신과 의사 타라가노(Taragano)는 이를 '경도행동장애'(Mild behavioral impairment)라고 명명했다. 치매는 아니지만 유의미한 인지 저하가 있을 때를 '경도인지장애'(Mild cognitive impairment)라고 부른 것에서 연유했다. 과거에는 노년기 기분 장애, 불안 장애는 기존에 치매처럼 두드러진 퇴행성 경과를 보이지 않는다고 알려졌다. 증상에 맞는 항우울제, 항정신병 등의 약물을 사용하고 상담 치료를 시행하면 젊은 성인과 마찬가지로 충분히 회복되는 것으로 여겨졌다.
지난 10년간 위암, 신세포암(신장암) 등에서 쓰여 온 면역항암제 '옵디보'(성분명 니볼루맙)가 국내 암 사망원인 2위인 '간암'으로 치료 영역을 확장하고 있다. 특히, 이달 초 미국식품의약국(FDA)이 절제 불가능 또는 진행성 간암에 1차 치료로 옵디보와 '여보이'(성분명 이필리무맙) 병용요법을 승인하면서 국내 허가 역시 올해 안에 이뤄질 가능성이 높다는 관측이 나온다. 24일 국가암등록통계에 따르면 간암은 2022년 기준 국내 연간 발생 건수 1만4913명으로 전체 암종 중 7번째로 발생률이 높다. 연간 1만여명 이상이 사망하는 등 질병 부담이 높은 암으로 손꼽힌다. 간은 '침묵의 장기'라는 별명처럼 암이 생겨도 초기 증상이 거의 없어, 진단 시점에 수술이 어렵거나 진행성 단계로 발견되는 경우가 많기 때문이다. 40~50대 생산활동인구의 사망률이 높아 사회경제적인 손실도 큰 것으로 평가되고 있다. 옵디보·여보이 병용요법은 지난해 6월 미국임상종양학회(ASCO 2024)와 올해 1월 미국소화기암심포지엄(ASCO GI 2025)을 통해 발표된 글로벌 임상 연구(CheckMate-9DW)를 통해 절제 불가능한 간세포암 환자의 1차 치료제로서 효과와 안전성을 확인했다.
에이치플러스양지병원 비뇨의학과가 최근 전립선 크기가 234g에 달하는 85세 거대 전립선비대증 환자에게 로봇수술(로봇 전립선비대증 절제술)에 성공했다고 24일 밝혔다. 정상의 12배에 달하는 크기로 국내에서도 희귀 사례인 고난도 전립선 수술에 성공하며 환자에게 희망을 안겼다. 병원에 따르면 이번 수술은 방광 절개 후 비대해진 전립선 조직을 정밀하게 제거하고, 요도 및 주변 구조물을 최대한 보존하는 방식으로 진행됐다. 일반적으로 전립선 정상 크기는 약 20g으로, 40~50g을 초과하면 홀렙(HoLEP)'과 '경요도전립선절제술(TURP) 등 내시경적 수술을 우선 고려한다. 그러나 80~100g 이상 거대 전립선은 기존 내시경 수술에 비해 로봇 수술이 정확하고 효과적으로 전립선 조직을 제거할 수 있는 것으로 보고된다. 출혈 감소와 회복기간 단축, 부작용 및 합병증 최소화 등에서 탁월한 효과를 보인다. 특히 이번에 로봇을 이용해 전립선비대증 절제술을 받은 환자는 85세의 고령으로 안전성 확보가 중요했다.