[정심교의 내몸읽기]
치아교정 치료 이후 관리 소홀 등의 이유로 재교정 치료를 받는 비율은 5% 정도로 알려졌다. 재교정 치료를 받을 경우 시간과 비용이 추가로 소요되는 만큼 교정된 치열을 적절히 유지하고 관리하기 위해서는 각별한 주의가 필요하다. 서울대치과병원 치과교정과 안정섭 교수의 도움말로, 치아교정 치료 이후의 유지‧관리법에 대해 알아본다.

교정 치료로 치아를 이동시키면 잇몸뼈가 부위에 따라 흡수·형성되고 치아를 잇몸뼈와 연결해 주는 조직 일부도 와해한다. 교정 치료 직후엔 잇몸이 치아를 단단히 지지할 수 없어 작은 힘에도 치아 배열이 흐트러질 수 있다. 비뚤어진 치아를 가지런히 배열하면 치아와 연결된 잇몸의 섬유들이 원래 길이보다 늘어나면서 치아를 원래 위치로 되돌리려 한다. 따라서 교정 효과를 지속하려면 치아를 지지할 잇몸 조직이 재구성되고, 섬유들이 적응할 때까지 치아 위치를 유지해야 한다.
안정섭 교수는 "특히 성장기 환자의 경우 턱의 성장에 따라 치아 배열이 미세하게 바뀌며 적응해 나가는 과정이 수반된다"며 "이때도 치열이 흐트러지거나 교합 관계가 변할 수 있어 각별히 주의해야 한다"고 언급했다.

교정 치료를 통해 얻은 가지런한 치아 배열과 좋은 교합 관계를 유지하기 위해 치료 후 '유지장치'를 사용한다. 일반적으로 널리 사용되는 장치는 앞니의 안쪽에 부착하는 '고정식 유지장치'와 환자가 탈착할 수 있는 '가철식 유지장치'다. 유지장치는 환자가 가졌던 부정교합 및 환자의 치료 후 상태에 맞게 디자인한 후 제작한다.
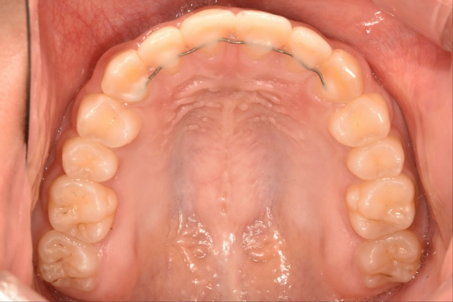
고정식 유지장치는 교정 치료를 종료하기 전 또는 직후에 얇은 철사를 앞니 안쪽에 붙이는데, 겉으로는 잘 보이지 않는다. 교정 치료를 끝낸 직후, 앞니 치아 배열은 흐트러지기 쉬워 고정식 유지장치로 치열을 유지한다.
가철식 유지장치는 고정식과 달리 환자가 원할 때 언제든 붙이고 뗄 수 있는 장치다. 교정 치료가 끝난 후 보통 3개월은 식사·양치할 때를 제외하고 자는 시간까지 포함해 거의 온종일 사용해야 한다. 이후 환자 상태에 따라 잠잘 때 착용하는 등 사용 시간을 줄일 수도 있다.
독자들의 PICK!
일반적인 가철식 유지장치는 치과용 플라스틱 재료와 철사로 이뤄져 있어 장치 착용 여부를 다른 사람이 쉽게 알 수 있다. 이런 점이 부담스럽다면 투명 가철식 유지장치를 선택할 수도 있다. 다만, 투명 유지장치는 장기간 사용 시 착색·변색으로 인해 보기에 좋지 않게 되고 깨지거나 구멍이 나는 등 내구성이 떨어져 수개월에 한 번은 다시 만들어야 할 수 있다는 단점이 있다.

고정식 유지장치를 언제까지 붙여야 할지, 가철식 유지장치는 언제까지 사용할지에 대한 정답은 없다. 하지만 치아 위치가 원래대로 되돌아가 배열이 흐트러지거나 교합 관계가 변하는 등 우리가 흔히 '재발'이라고 부르는 부정교합으로의 회귀 현상은 일정 기간에 적극적 유지관리를 통해 최소화하는 게 좋다. 성장기 환자는 잔여 성장기 동안 적극적 유지관리가, 성인기 환자도 최소 1년 이상의 유지관리가 필요하다.
고정식 유지장치는 치아에 붙어있어 환자가 임의로 제거할 수 없다. 처음에는 다소 이물감을 느낄 수 있지만 대개 일찍 적응해 거의 불편감을 느끼지 못하게 된다. 착용에 신경 쓸 필요가 없어 편리하지만, 구강위생 관리가 소홀할 경우 장치 주변에 음식물이 남아 치석이 생기는 경우가 있다. 특히 침이 나오는 부분과 가까운 아래 앞니 유지장치 주위에 치석이 생기는 경우가 많아, 양치질 시 꼼꼼히 닦아야 한다.
고정식 유지장치 철사는 탄성이 있고, 잘 변형되지 않아 일상에서 망가지는 경우는 거의 없지만, 지나치게 단단한 음식물을 섭취할 경우 강한 외력에 철사가 탈락하거나 변형될 수 있다. 고정식 유지장치가 부착된 부위는 치실을 일반적인 방법으로 사용하기 어렵고, 잘못 사용해 철사에 무리한 힘을 주게 되면 장치가 변형될 우려가 있다.

가철식 유지장치를 착용한 채로 식사하면 장치가 망가질 우려가 있어 장치를 빼두는 게 좋다. 그러나 외식할 때 남들의 시선이 부담스러워 빼놓은 장치를 휴지로 감싸둔 채 식사하다가 깜빡하고 두고 가, 장치를 잃어버리는 경우가 종종 있다. 따라서 장치에 불필요한 외력이 가해지는 것을 막고, 분실도 방지하기 위해 장치를 사용하지 않는 동안에는 전용 통에 넣어 보관하는 게 좋다.
가철식 유지장치의 세척에 대해 안정섭 교수는 "장치를 적절히 세척하지 않을 경우 가철식 유지장치에도 치석이 붙을 수 있어, 칫솔을 이용해 장치를 주기적으로 닦아주는 것을 권장한다"라며, "치약을 사용해 장치를 닦으면 장치 표면이 마모되기 때문에 양치질하고 칫솔에서 치약을 헹궈 낸 뒤 가철식 유지장치를 닦아줄 것을 추천한다"라고 설명했다.

장치를 소독하기 위해 뜨거운 물에 삶아도 될까. 안 교수는 "삶으면 장치의 플라스틱 부분이 변형해 장치를 사용할 수 없게 된다"며 "시중에 교정용 유지장치 소독을 위한 세정제가 판매되는데, 장치 디자인에 따라 특정 세정제를 사용하면 장치의 철사 용접 부분이 망가지는 경우도 있어 사용 전 치과의사에게 문의하는 게 안전하다"고 답변했다.