
스마트폰 알람 소리에 눈을 뜨며 하루를 시작하는 현대인에게 스마트폰 없는 일상은 상상할 수 없다. 지난해 한국갤럽이 만 18세 성인을 대상으로 스마트폰 사용 여부를 조사한 결과, 2020년까지 90%대 초반이던 사용률은 2024년 98%까지 상승했다. 60대 이하의 사용률은 거의 100%에 이르고, 70대 이상 고령층에서도 90% 이상이 스마트폰을 사용하고 있다. 이에 따라 거북목, 일자목 증후군, 목 디스크 등 목 건강에도 '비상'이 걸렸다.
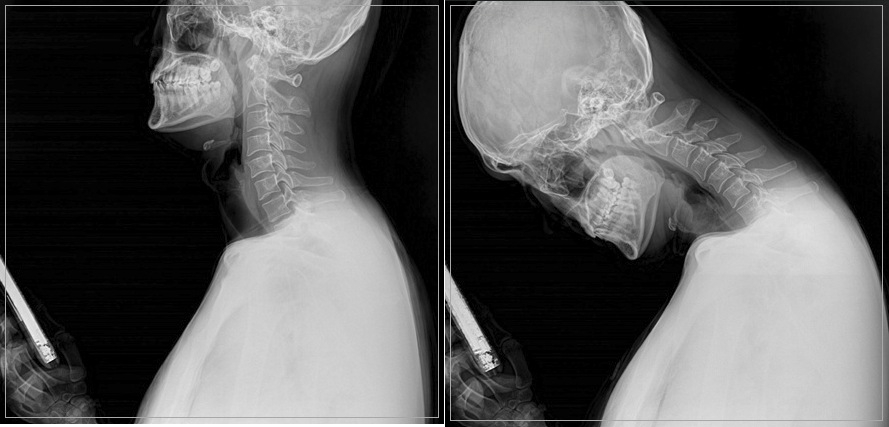
길을 걸을 때도, 지하철이나 버스에서도 스마트폰에 푹 빠져 있는 사람들을 흔히 볼 수 있다. SNS(소셜미디어), 게임, 쇼핑뿐 아니라 업무적인 소통까지 스마트폰은 일상을 점령하고 있다. 하지만 장시간 고개를 숙인 채 구부정한 자세를 유지하는 것은 필연적으로 목과 척추 건강에 악영향을 끼친다. 고개를 숙이면 머리가 떨어지지 않도록 붙잡는 목 근육의 수축력이 함께 작용하면서 과도한 부담이 가해진다. 일반적으로 머리 무게의 5배의 하중이 실리는데, 성인 기준 머리 무게가 5㎏이라면 목에 가해지는 무게는 무려 25㎏이 되는 셈이다.

바른세상병원 척추센터 이근호(정형외과 전문의) 원장은 "장시간 구부정한 자세로 스마트폰이나 태블릿 등을 보는 자세가 습관이 되면 목에 통증을 유발할 수 있다. 바르지 못한 자세가 지속되면 C자로 있어야 할 목 뼈(경추)가 일자목이나 거북목으로 변형되어 통증을 일으키게 되고, 정상적인 'C자 커브'를 잃은 상태가 지속되면 디스크가 튀어나와 신경을 압박하는 목 디스크로 발전할 수 있다"며 "초기에는 뻐근함이나 피로감으로 느끼지만 시간이 지날수록 어깨와 팔이 아프고, 심한 경우 손이나 팔 저림 증상으로 이어질 수 있다"고 설명했다.
목 디스크를 예방하기 위해서는 무엇보다 바른 자세가 중요하다. 귀와 어깨선이 일치하도록 자세를 바로잡아 목뼈에 무리를 주지 않도록 해야 하고 스트레칭을 통해 근육과 관절, 인대의 긴장을 풀어주는 것이 좋다. 스마트폰을 이용할 때는 액정을 눈높이까지 올리고, 눈 사이의 거리를 30㎝ 이상 유지하면 목이나 어깨 통증뿐 아니라 눈의 피로도 감소시킬 수 있다. 수면 자세를 바로잡는 것도 중요하다. 특히 목 통증 환자의 경우 수면 시 가장 중요한 것은 경추를 받쳐주는 베개의 높이와 곡선인데, 뒷목 부분이 조금 높고 머리 중앙이 낮아 경추의 'C자 커브'를 유지할 수 있는 베개를 선택하는 것이 바람직하다.
![경기 고양시 킨텍스에서 개막한 2024 고양가구박람회를 찾은 관람객들이 침대를 살펴보고 있다./사진=[고양=뉴시스] 황준선 기자](https://thumb.mt.co.kr/cdn-cgi/image/f=avif/21/2025/03/2025032614235082587_3.jpg)
특히, 등과 어깨의 근육은 목을 지탱하는 데 중요한 역할을 하므로 평소 등과 어깨 근육을 강화하는 것이 목 건강에 효과적이다. 목에 뻐근함과 불편함이 있거나 두통이 자주 생기는 등 이상 징후가 느껴진다면 생활 속 자세 교정을 해주는 것이 좋다. 이근호 원장은 "목 디스크 증상이 경미한 경우라면 자세 교정, 약물치료, 주사 치료 등 비수술적 치료로 호전될 수 있다"며 "하지만 6주 이상 비수술적 치료에도 증상이 개선되지 않거나 치료를 미루다 상태가 악화한 경우라면 수술적 치료를 고려해야 한다. 목 움직임에 불편함이 느껴지거나 통증이 지속된다면 하루빨리 병원을 찾는 것이 좋다"고 조언했다.