한국과학기자협회 코로나19 연구 속보…美·英 ‘후유증 추적 중장기 연구’ 착수

만성피로, 두통, 흉통(가슴 통증) 등 코로나19(COVID-19)를 앓다 완치 판정을 받고 퇴원한 일부 환자들 사이에서 오랜 기간 다양한 후유증을 겪는 사례가 잇따라 보고된 가운데, 미국 영상의학과 전문의들이 코로나19에 의한 폐 손상은 초기 감염 후에도 몇 주 간 지속 된다는 사실을 CT(컴퓨터단층촬영) 관찰을 통해 알아냈다.
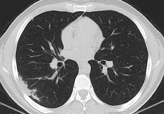
17일 한국과학기자협회의 ‘코로나19 연구 속보’에 따르면 미국 서던캘리포니아대 알리 골람레자네자드 교수 연구팀이 코로나19에 걸린 환자 33명을 대상으로 CT를 이용해 한 달간 폐를 관찰했다. 코로나19는 호흡기 전염병이므로 폐는 장기적 손상을 확인할 가장 확실한 장기다. 연구 결과 폐 세포의 3분의 1 이상이 사멸해 흉터로 남았다. 연구팀은 “코로나를 앓거나 회복한 뒤에도 폐에 장기적 손상이 가해진다”면서 “상태가 호전된 후에도 호흡에 어려움을 겪는 경우가 많은 이유”라고 설명했다.
골람레자네자드 교수는 “대다수 감염된 사람들이 병원에 입원하지 않기 때문에 이런 폐 손상을 확인할 가능성은 10% 미만일 것”이라고 말했다. 이는 지금까지 전 세계적으로 2900만명이 넘는 감염자가 나온 것으로 알려진 상황에서 최소 수십만 명이 비슷한 상황을 겪고 있을 것이란 의미다.

의사들은 코로나19 환자가 폭증하면서 후유증과 싸우는 사람들도 앞으로 계속 늘 것으로 보고 있다. 같은 코로나 계통의 전염병인 ‘사스’(SARS·중증급성호흡기증후군) 때도 비슷한 후유증으로 수년간 고통받는 완치 환자 사례가 보고된 바 있다. 이에 따라 의료계 한편에선 치료제·백신 개발 뿐 아니라 후유증 치료에 대한 연구도 당장 시작해야 한다는 목소리가 높다.
실제로 지난달 미국 질병통제예방센터(CDC)가 코로나19 완치자 274명을 대상으로 설문조사를 진행한 결과 이중 35%가 후유증을 겪고 있는 것으로 파악됐다. 나이별로는 18~34세 26%, 35~49세 32%, 50세 이상 47%로 나타났다. 나이가 많을수록 후유증을 겪는 비율이 높았고, 성별로는 남성에게서 더 두드러졌다.
영국 브리스톨대학 사우스미드병원에서 이뤄진 코로나19 후유증 연구에서도 같은 결과가 나왔다. 코로나19 완치 환자 110명 중 절반을 훌쩍 넘긴 81명이 크고 작은 후유증을 경험했다.
코로나19로 인한 후유증 증상도 다양하게 나타났다. 일부 환자들은 폐, 심장, 면역체계, 뇌, 기타 신체 부위에서 장기적 손상을 경험했다. 영국 대중 일간지 더선(The Sun)이 발표한 ‘코로나19로 인한 16가지 대표적 후유증’에 따르면 탈모를 비롯해 회복 후에도 38도 이상 고열이 나타나 재검을 받는 경우가 많았다. 계단을 오르거나 걸을 때 흉통을 호소했고, 설사·탈진·오한 등을 경험한 사례도 있었다. 이밖에 발가락이 붉게 부어오르거나 불면증과 환각, 방향 감각 상실, 인지기능 저하 등을 경험하거나 근육통과 몸살, 빈맥·부정맥 증상이 나타나기도 했다.
이처럼 후유증 관련 보고로 심각성이 더해지자 전 세계 의료·과학자들이 코로나19 완치 환자의 후유증 추적 연구에 속속 착수하고 있다. 영국 레스터대는 최근 입원 후 1년간 환자 1만 명의 상태를 추적 조사하는 프로젝트를 시작한다고 밝혔다. 미국도 지난 7월부터 수백 명의 코로나 환자를 2년 간 추적하는 연구를 진행하고 있다.