재채기 나올 때 입·코 막으면 '압력 20배' 상승
기관지에 2㎜ 구멍 생겼지만 5주 후 자연회복
"기관 천공(구멍), 천식 등 잠재적 생명 위협"

알레르기성 비염을 앓던 30대 영국 남성이 재채기를 참다가 기관지가 찢어지고 목 통증을 겪은 사례가 보고됐다. 재채기로 인한 기관지 손상 사례는 전 세계 처음이다. 재채기 중 입과 코를 모두 막으면 재채기를 할 때보다 내부 압력이 20배 이상 높아져 주의가 요구된다.
13일 과학계에 따르면 라사즈 미시로프스(Rasads Misirovs) 스코틀랜드 던디대 의대 박사 연구팀은 지난 1일 영국의학협회에서 발행하는 국제학술지 'BMJ Case Reports'에 이런 내용을 포함한 논문을 발표했다.
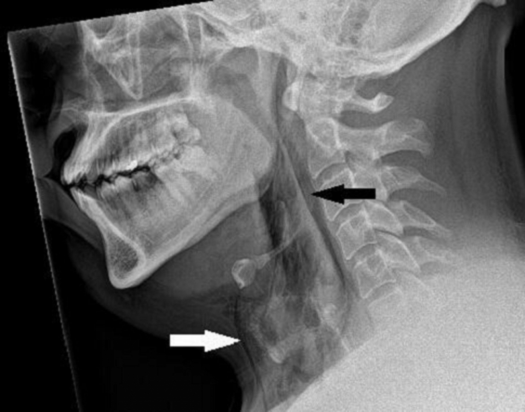
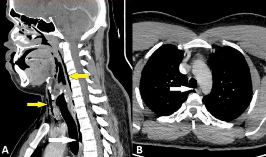
알레르기성 비염을 앓던 30대 스코틀랜드 남성은 자동차를 운전하던 중 재채기가 나왔다. 하지만 재채기가 나오는 시점에 코를 막고 입을 다물었다가 심한 목 통증을 겪었다고 한다. 결국 남성은 응급실로 향했고 정밀 진단을 실시했다.

그 결과 기관지가 찢어져 가로·세로 각 2㎜ 크기 구멍이 생겼다. 일부 폐기종 증상도 나타났다. 폐기종은 기관지나 폐에 염증이 생기고 이로 인해 숨을 쉴 때 폐포가 제 기능을 못하는 질환이다. 만성적 기침이 동반되며 심할 경우 호흡 곤란 증상이 나타난다. 목 통증으로 인해 목의 움직임 범위도 줄어들었다.
연구팀은 "재채기 후 기관지 천공(Perforation·구멍)이 발생한 사례는 이전에 보고된 적이 없다"며 "재채기 중 상부 기도의 압력은 1~2㎪(킬로파스칼) 수준이지만 입과 코를 닫으면 압력이 최대 20배까지 증가할 수 있다"고 밝혔다.
연구팀은 환자가 응급실 내원 당시 수술은 필요없다고 봤지만 징후가 완화하는지 이틀간 병원에서 모니터링했다. 환자는 이후 의사로부터 2주간 격렬한 신체 활동을 하지 말라고 권고받았으며 진통제와 꽃가루 알레르기 비염 약을 처방받고 퇴원했다. 환자는 5주 후 찢어진 부분이 완전히 치유됐다.
재채기는 기도로 들어온 이물질을 내보내는 방어체계로 작용한다. 재채기를 하면 몸 속에 침투한 세균과 바이러스 등이 제거된다. 재채기를 참으면 이물질이 기관지를 계속 자극해 더 심한 재채기가 나올 수 있고 기관지가 파열로 다양한 문제가 발생할 수 있다.
특히 재채기가 나올 때 코와 입을 막으면 기압이 빠져나갈 곳이 없어 압력이 신체의 다른 부위로 전달된다. 이로 인해 기관지는 물론 눈, 귀, 혈관 등을 손상시킬 수 있다. 만성 알레르기 비염에 동반된 재채기는 비염의 치료가 적절하게 이뤄지지 않을 경우 천식으로 진행될 수 있다.
독자들의 PICK!
연구팀은 이번 사례가 드물지만 위험한 사례라고 밝혔다. 특히 기관 천공은 잠재적으로 생명을 위협하고, 찢어진 부분과 환자의 활력 징후에 따라 수술이 필요할 수 있다는 게 연구팀의 설명이다.
