[정심교의 내몸읽기]
치주(齒周)는 치아 주변 조직으로, 치아를 지탱하는 잇몸과 잇몸뼈를 의미한다. 잇몸은 치은, 잇몸뼈는 치조골이라고도 하는데 치주염은 바로 잇몸과 잇몸뼈에 생긴 염증성 질환이다.
이런 치주염은 바람에도 치아가 흔들린다 해서 풍치(風齒)라고도 불리는데, 한 번 발생하면 건강한 잇몸으로 되돌리기 어렵다. 치주염은 오랫동안 통증 없이 서서히 진행하는 병이므로 정기적인 치과 방문을 통해 조기에 진단받고 빨리 치료하는 게 중요하다. 관악서울대치과병원 정재은(치주과 전문의) 교수의 도움말로, 구강건강을 위협하는 불청객인 치주염에 대해 알아본다.

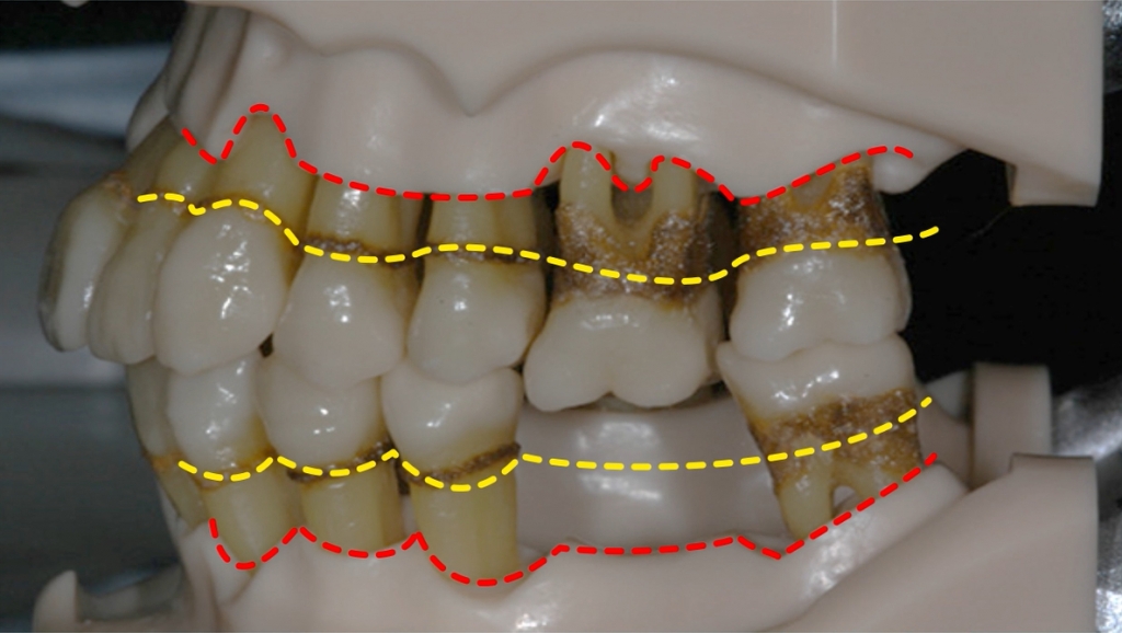
치주염의 발생 원인인 그람음성 세균은 주로 치태(치아 표면에 들러붙어서 생기는 끈끈하고 투명한 막)와 치석(치태, 침속 칼슘 등이 쌓여 단단한 돌덩이가 된 것)에 달라붙어 잇몸에 염증을 일으킨다. 양치를 게을리해 치태·치석이 많이 쌓이면 잇몸의 염증이 심해진다.
통상 치주염 환자들은 뿌리 쪽에 치석이 많이 쌓여있는데, 잇몸의 염증이 장기간 진행되면 치아 뿌리를 지탱하던 잇몸뼈가 녹아 내려간다. 잇몸뼈가 녹으면 치아가 흔들리고 결국 발치해야 하는 상황에 이르게 된다.
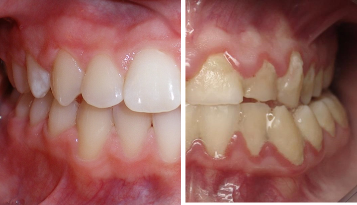
치주염을 의심해 볼 수 있는 증상으로는 ▲붉어진 잇몸 색 ▲칫솔질 시 혹은 자고 일어난 후 잇몸 출혈 ▲잇몸 부종 ▲잇몸에서 고름 발생 ▲내려가는 잇몸 ▲치아 사이 간격 벌어짐 ▲흔들리는 치아 ▲심해진 입 냄새 등이 있다.
정재은 교수는 "잇몸을 깨끗이 관리해야 치주염을 막을 수 있다"며 "치태는 칫솔질로 없앨 수 있기 때문에, 안 닦이는 곳 없이 시간을 들여 꼼꼼하게 치아를 닦아야 한다"고 말했다.
이어 정 교수는 "치아 안쪽에 치태·치석이 쌓여있거나 이곳이 착색된 경우가 많은데, 습관적으로 잘 닦이는 바깥쪽만 닦아 발생하는 현상"이라며 "치아 안쪽을 닦는 데 시간을 충분히 할애해야 한다"고 조언했다.

구강 내에는 칫솔질만으로 닦기 어려운 사각지대가 있다. 바로 잇몸이 내려가서 생긴 치아 사이 공간이다. 치아 사이 공간은 이쑤시개보다는 치아 사이 공간을 닦는 전용 칫솔인 치간칫솔을 사용하는 게 좋다. 치간칫솔은 충치·풍치 예방에 탁월하고 잇몸이 내려간 경우, 임플란트 및 교정 치료 환자의 구강 위생관리에 효과적이다. 잇몸이 많이 내려가지 않아 치아 사이 공간이 없을 땐 치실을 사용하면 치아 사이의 충치나 치주염을 예방할 수 있다.
치석은 치태와 달리 칫솔질로 제거할 수 없다. 치석은 치과를 방문해 전문가가 적절한 기구를 이용해야 제거된다. 치석·착색을 없애기 위한 대표적인 방법이 '스케일링'이다. 스케일링은 치태·치석을 제거해 치주질환을 예방·치료하는 시술이다. 잇몸에 특별한 증상이 없어도 1년에 한 번 치과를 내원해 정기적인 스케일링을 받는 것을 권장한다. 특히, 만 19세 이상 건강보험 가입자는 1년에 한 번 본인부담률 30%로 스케일링을 받을 수 있다.
독자들의 PICK!
정재은 교수는 "구강건강은 100세 시대에 삶의 질을 결정하는 데 큰 영향을 미친다"며 "무엇보다 일상에서 구강 건강에 각별한 관심을 갖고 정기적으로 치과를 찾으면 치주염 없는 튼튼한 구강 건강을 유지할 수 있을 것"이라고 덧붙였다.