[정심교의 내몸읽기]

#. 50대 A씨는 요즘 양치할 때나 거울을 볼 때마다 시름이 깊다. 바로 눈에 띄게 내려앉은 잇몸 때문. 드러난 치아 뿌리 때문에 양치질할 때 바늘로 찌르는 듯한 통증과 시린 증상이 밀려온다. 게다가 웃거나 말할 때마다 내려앉은 잇몸이 노출되는 탓에, 사람들의 시선이 느껴지는 것 같아 심리적으로 위축된다.
A씨처럼 잇몸 조직이 소실되며 치아 뿌리 방향으로 치아와 치은 부착 부위가 이동하는 현상을 '치은퇴축'이라고 한다. 한 번 내려앉은 잇몸은 심미적 문제 외에도 통증을 동반할 수 있다.
치은퇴축이 발생하는 대표적인 요인은 불량한 구강위생으로 인한 치주질환이다. 치아와 잇몸 사이 틈새인 '치은열구' 내에 세균성 치태가 쌓이면서 잇몸 염증이 생기기 시작하는데, 이때 하방의 치조골(잇몸뼈)을 녹이면서 잇몸도 따라 내려간다.
관악서울대치과병원 김윤정(치주과 전문의) 교수는 "지나치게 단단한 칫솔모를 사용해 과도한 칫솔질을 하는 것, 이갈이 등의 악습관도 잇몸 퇴축을 촉진할 수 있다"며 "이 밖에도 치아 뿌리의 만곡도나 치아가 배열돼있는 포물선 형태의 '악궁' 내 치아의 위치도 영향을 줄 수 있고, 맞닿는 대합치가 없어 치아가 솟아나는 '정출' 현상이 생기는 경우에도 상대적인 잇몸퇴축이 발생한다"고 말했다.
잇몸병(치주질환)으로 인한 잇몸 조직의 소실은 주로 중장년·노년에서 나타나지만, 치아 외상 등으로 치주조직이 얇은 부위에서 발생하는 치은퇴축은 젊은 연령에도 자주 발생한다.
잇몸이 치아 뿌리 방향으로 내려가 치아 뿌리(치근)가 노출되면 차고 뜨거운 음식·공기에 민감해진다. 또 치아 사이의 공간이 넓어지면 음식물이 자주 끼고, 노출된 치근면이나 인접 면에 충치가 생기기 쉽다. 치아 사이가 벌어져 평소보다 음식물이 많이 끼거나 앞니의 뿌리가 이전보다 많이 보이고 치아가 길어진 것 같이 느껴진다면 잇몸을 점검받는 게 좋다.

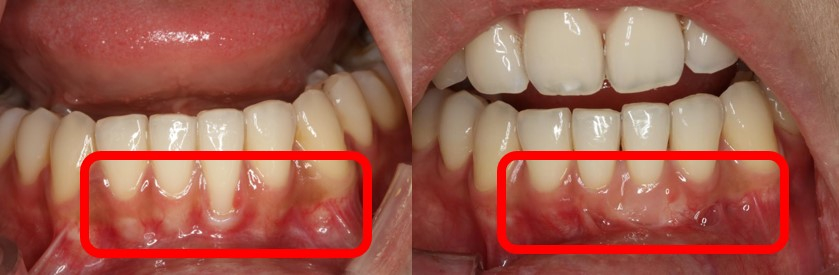
치은퇴축의 치료법으로는 퇴축된 부위 아래, 측면부의 잇몸을 이동시키는 잇몸 성형술과 잇몸 이식술 등이 대표적이다. 잇몸 이식술은 구개(입천장)에서 충분한 양의 결합조직 이식편을 채취해 퇴축 부위를 덮는 방식이다. 이를 통해 노출된 치아 뿌리를 덮고, 잇몸의 높이·부피를 회복할 수 있다. 하지만 이에 앞서, 잇몸질환으로 인해 전반적인 치조골 소실, 치은퇴축 양상이 관찰되면 철저한 치주 치료로 퇴축이 더 진행하는 것을 막는 게 중요하다.
치은퇴축을 막으려면 구강을 늘 청결하게 유지하고 잇몸 염증을 예방해야 한다. 부드러운 모의 칫솔을 선택해 올바르게 칫솔질하고, 정기적인 치과 내원과 스케일링으로 구석구석 남아있는 치태·치석을 제거하는 것도 중요하다. 김 교수는 "교합 상태를 확인하고 이갈이 등의 치아 건강을 해치는 습관이 있으면 의료진에게 진단받아 조처해야 한다"며 "치조골이 소실되지 않은 상태의 퇴축 부위는 늦기 전에 '잇몸 이식술'을 진행할 수 있도록 전문 의료진의 진단·치료받는 게 중요하다"고 강조했다.